Держатель места
Здравствуйте, уважаемые читатели. Сегодня мы поговорим о таком важном ортодонтическом устройстве, как держатель места. Этот аппарат играет ключевую роль в сохранении правильного расположения зубов, особенно в период, когда молочные зубы начинают выпадать, а постоянные еще формируются.

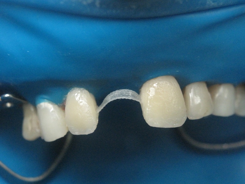
Держатель места для зуба — это не просто элемент стоматологической помощи, это инвестиция в здоровую улыбку на долгие годы. Правильно подобранный держатель предотвращает сдвиги соседних зубов в образовавшуюся после выпадения молочного зуба щель. Такое происходит за счет того, что держатель фиксирует необходимое пространство для корректного прорезывания постоянного зуба.

Рассмотрим вопрос держателя места для молочных зубов. Это устройство особенно актуально для детей, так как оно помогает поддерживать здоровую окклюзию, предотвращает возможные ортодонтические проблемы в будущем. Не стоит откладывать обращение к специалисту, если у ребенка началось выпадение молочных зубов; своевременная консультация с врачом и установка держателя места поможет избежать многих проблем.
Теперь поговорим о стоимости. Держатель места зуба цена может варьироваться в зависимости от материала, сложности изготовления и индивидуальных особенностей пациента. Стоимость данного устройства в премиум-сегменте подразумевает использование высококачественных материалов, а также персонализированный подход к каждому клиенту.
При выборе держателя места для молочных зубов цена также играет немаловажную роль. Обратите внимание, что экономия на здоровье ребенка может привести к значительно большим расходам в будущем на исправление ортодонтических проблем. Поэтому рекомендуется выбирать качественные держатели места, предлагаемые проверенными клиниками.

Заключение
Держатель места — это важное стоматологическое устройство, которое играет ключевую роль в сохранении здоровья зубов, особенно у детей. Правильное использование держателя места для зуба помогает предотвратить множество стоматологических проблем и обеспечивает правильное прорезывание постоянных зубов. Несмотря на то, что цена держателя места для молочных зубов может варьироваться, инвестиции в это устройство оправданы долгосрочными преимуществами для здоровья зубов.
Если вы столкнулись с проблемой преждевременной потери молочных зубов, обратитесь к квалифицированному стоматологу для консультации и подбора оптимального держателя места. Забота о здоровье зубов сегодня — это залог красивой и уверенной улыбки в будущем.




