Как и чем лечить артроз пальцев ног. Чем опасно заболевание
- Как и чем лечить артроз пальцев ног. Чем опасно заболевание
- Артроз большого пальца ноги форум. Операции при халлюкс ригидус (Hallux rigidus)
- Артрит пальцев ног. Лечение
- Артроз пальцев ног симптомы. Лечение артроза стопы
- Как лечить артроз пальцев ног в домашних условиях. Методы лечения артроза пальцев ног
- Артроз пальцев ног причины. Какие же факторы влияют на появление артроза и в частности артроза мелких суставов стопы?
- Мазь от артроза пальцев ног. Разновидности мазей и гелей, которые можно использовать при артрозе
- Артроз пальцев ног форум. The 1-st MTP joint severity deformity treatment
Как и чем лечить артроз пальцев ног. Чем опасно заболевание
Артроз нижних конечностей опасен тем, что протекает незаметно, а когда у больного появляются ярко выраженные симптомы, выясняется, что это уже далеко зашедшая стадия. Но и в этом случае помочь больному можно.
Стадии развития артроза стоп
Выделяют три стадии артроза стопы ног
- Начальная – умеренная болезненность в ступнях при движении, иногда – легкое похрустывание. При инструментальном обследовании изменений не выявляется; небольшие нарушения можно увидеть только на МРТ.
- Развернутая – боли усиливаются, походка шаткая, трудно ходить без опоры. То появляются, то исчезают признаки синовита. На рентгеновском снимке видны разрастания остеофитов.
- Деформирующая – боли в покое, ступня изменяет свою форму, частые подвывихи и растяжения связок, нарушение подвижности ноги. На рентгене: суставной щели нет, суставные поверхности срослись, пальцы практически не сгибаются. Выраженное разрастание остеофитов и изменение формы.
Осложнения артроза стоп
Если заболевание не лечить или заниматься самолечением, то неизбежны осложнения:
- невозможность полноценного движения – походка шаткая, ноги подворачиваются;
- постоянные ноющие болевые ощущения в ногах, усиливающиеся при ходьбе и в состоянии стоя;
- изменение формы суставчика – невозможность носить стандартную обувь;
- трудности в выполнении привычных действий – домашней работы и ухода за собой; в итоге - инвалидность.
Артроз большого пальца ноги форум. Операции при халлюкс ригидус (Hallux rigidus)
Что представляет собой халлюкс ригидус © Viewmedica
Артроз плюснефалангового сустава большого пальца ноги (Hallux rigidus) приводит к болям в суставе, утрате его подвижности и к сложностям при ходьбе. В итоге эта болезнь может привести к полной неподвижности плюснефалангового сустава большого пальца ноги. Нередко отмечается при этом неправильная нагрузка на внешнюю сторону стопы, что усиливает жалобы пациентов.
Причины возникновения халлюкс ригидус
Во многих случаях причина болезни Hallux rigidus неизвестна. Возможными причинами могут быть генетические факторы, микротравмы, неправильные нагрузки или перегрузки стопы.
Какие симптомы характерны для Hallux rigidus?
© ortoped-kinik.com - Боль в фаланге большего пальца ноги
- Одеревенелость большого пальца при ходьбе, особенно при перекатывающих движениях
- Напухание и покраснение плюснефалангового сустава большого пальца
- Увеличение жалоб в холодную погоду
- Последующие жалобы в коленном и тазобедренном суставах как результат неправильной нагрузки.
Какие существуют методы лечения халлюкс ригидус?
В последнее время отлично себя зарекомендовало эндопротезирование плюснефалангового сустава как с точки зрения функциональности так и долговечности. © ortoped-kinik.com В зависимости от степени и стадии болезни, лечение начинается с консервативных мер, таких как растягивание, противовоспалительные препараты - в том числе инъекции в сустав, физиотерапия и ортопедические стельки. При воспалительных раздражениях большого пальца часто помогают ортокиновые процедуры.
Оперативное лечение разделяется на вмешательства, связанные с сохранением сустава, такие как удаление костных отложений (Cheilektomie) или изменение строения сустава и конверсионные операции, как резекционная артропластика по Бранду или артродез (обездвживание плюснефалангового сустава большого пальца ноги(.
Благодаря хорошим долгосрочным результатам у молодых, активных пациентов по-прежнему предпочитают проводить артродез плюснефалангового сустава большого пальца.
Артродез плюснефалангового сустава.
Целью артродеза плюснефалангового сустава является объединение обеих костей фаланги пальца и плюсневой кости в определенном положении, чтобы достичь костного слияния. Для этого поврежденный хрящ сустава полностью удаляется, прилегающая костная ткань освежается и фиксируется с помощью болтов, при необходимости пластины. Они несет на себе нагрузку пока не срастутся все кости. После этого основная нагрузка ложится на кости.
Как походит Операция с Lapidus-Arthrodese
При очень больших смещениях и нестабильности плюснефалангового сустава, часто в сочетании с артрозом, мы рекомендуем использовать так называемый Лапидус артродез (хирургическое обездвиживание сустава между плюсневой костью и стопой). При этом сустав полностью обездвиживается.Этот метод часто выполняются с использованием оффсетных пластин. Последние результаты говорят за стабилизацию пластинами сбоку.
Разрез производится в центре сустава со стороны подошвы. Сустав сначала очищают, затем экономно удаляют концы кости плюсневой головки и основания большой фаланги ног. После того выбирается правильное положение и оба фрагмента фиксируются с помощью двух винтов или с помощью пластины с фиксированным углом, так называемой Lapidus-Platte (артродез TMT 1 сустава). После операции нога в течение нескольких дней должна находиться на возвышениии.
Послеоперационный период
После артродеза плюснефалангового сустава пальца на протяжение 6-8 недель запрещены нагрузки на палец. Для этого пациент носит специальный ортез, снимающий нагрузку на сустав.
Нагрузка на пятку разрешена уже через несколько дней после операции. Скорейшему восстановлению способствуют охлаждения, положение ноги на высоте, прием антифлогистика и лимфодренаж.
Артрит пальцев ног. Лечение
Лечение артроза пальцев ног должно быть комплексным, систематичным и непрерывным. Оно состоит из медикаментозной, физиологической и мануальной терапии, ЛФК, и массажа. Больному рекомендуется периодически посещать санаторно-курортные учреждения, придерживаться диеты, а также ограничивать нагрузку на ноги. Хороший результат дает ношение специальной обуви, ортопедических стелек, фиксаторов пальцев и ортезов.
Медикаментозное лечение
Лечение артроза мизинца на ноге, как и других пальцев, может проводиться медикаментами. Лекарства позволяют восстановить хрящевую ткань, купировать воспаление и обезболить пораженную область. Рекомендуется применять:
- Хондропротекторы – способствуют регенерации хряща. Терафлекс, Хондро. Используются таблетки, мази составы для компрессов и инъекций.
- Анальгетики – не лечат, но устраняют болевой синдром в пораженных пальцах и стопах. Спазмалгон, Анальгин.
- НПВС – снимают воспалительный процесс и боль. Диклофенак, Ибупрофен.
- Гормональные фармацевтические составы – вводят внутрисуставно для снятия сильного болевого синдрома. Запрещено часто применять, потому что такие лекарства разрушают хрящевую ткань.
- Сосудорасширяющие препараты – помогают нормализовать кровообращение в конечностях, что улучшает питание околосуставных тканей, плюснефалангового сустава. Теоникол.
Медикаменты при лечении артроза пальцев
Физиотерапия, массаж и ЛФК
Физиотерапевтические процедуры качественно улучшают самочувствие пациента, дают возможность снизить количество используемых НПВС.
Обратите внимание!
Не рекомендуется посещать физиопроцедуры в период обострения артроза фаланговых суставов.
Проводить сеансы нужно регулярно. В среднем понадобится 10-12 процедур. Самыми результативными при лечении артроза пальца на ноге являются:
- Магнитотерапия;
- Ультразвук;
- Электрофорез с использованием обезболивающих и противовоспалительных составов;
- Ударно-волновая терапия.
Такие методы рекомендуется задействовать после наступления ремиссии. Процедуры направлены на закрепление полученных результатов от лечения артроза суставов пальцев ног другими способами. Также можно проводить массаж ног для укрепления мышц, повышения кровотока, активизации обмена веществ. Специалисты советуют не забывать про ЛФК. Лечебные физические упражнения для нижних конечностей вернут подвижность суставов, а также укрепят ослабленные мышцы ног.
Артроз пальцев ног симптомы. Лечение артроза стопы
Резкая боль в стопе, деформация пальцев, появление болезненных мозолей, изменение походки, быстрая утомляемость и даже инвалидность – все это может стать реальностью, если вовремя не выявить и не начать лечить артроз стопы, или остеоартроз. Это хроническое заболевание, симптомы которого на начальных стадиях пациенты просто игнорируют, не придавая им особого значения. А суставы в это время незаметно, но постепенно, разрушаются.
Подобные изменения сопровождаются нарушениями обмена веществ в хрящевых тканях и микроциркуляции крови, а также возникновением воспалительного процесса. Причем артроз может возникнуть не только у людей в возрасте, но и у молодых мужчин и женщин, которые активно занимаются спортом.
Любая локализация артроза имеет серьезные осложнения, поэтому не стоит затягивать с лечением.
Причины артроза стопы
Существует множество факторов, которые могут спровоцировать возникновение этого заболевания. К тому же, не всегда оно протекает самостоятельно, а является следствием других нарушений. Однако врачи выделяют основные причины артроза стопы, описанные ниже:
- Врожденные или приобретенные патологии стопы, например плоскостопие, деформированные суставы или пальцы, дегенеративные изменения и т.д.
- Большие нагрузки на область подвижных суставов при длительной ходьбе или переносе больших грузов, вызывающие сначала отек, а затем и сам артроз.
- Разнообразные травмы и ушибы у спортсменов, а также избыточная масса тела у людей, страдающих ожирением.
- Переохлаждение, нарушение обменных процессов, наличие эндокринных заболеваний, неудобная обувь, неправильный образ жизни, высокий рост и т.д.
Симптомы артроза стопы
Как правило, разные пациенты могут иметь разную симптоматику. Она зависит как от стадии развития болезни, так и от ритма жизни человека. Более того, симптомы артроза стопы схожи с симптомами артрита. Однако важно помнить, что от правильно поставленного диагноза зависит и успех лечения:

- Тупая боль в суставах при длительной ходьбе, тугоподвижность, а также грубый хруст, который провоцируют неровности поверхности суставов.
- Деформация стопы, покраснения кожи в пораженной области, отечность и припухлость, вследствие чего возникает нарушение походки.
- Высокая утомляемость, снижение работоспособности и возникновение мозолей в области пораженных суставов.
- Появление костных разрастаний, которые в будущем могут прорваться наружу, а также нарушение функции суставов, которые возможны на поздних стадиях болезни.
Методы лечения артроза стопы
Правильное лечение артроза стопы может подобрать только опытный врач. При этом его успешность напрямую зависит от своевременного обращения и. Основные принципы помощи пациенту заключаются в облегчении болезненных ощущений в области поражения и восстановлении двигательных функций:
- Иглоукалывание благодаря этому способу лечения можно заметно снизить степень воспаленности околосуставных тканей, устранить отечность пальцев и улучшить кровоснабжение в данном отделе организма.
- Мануальная терапия включает в себя мягкое вытяжение стопы, которое в несколько этапов осуществляет опытный врач.
- Физиотерапия – лечение артроза методами физической реабилитации является одним из важнейших условий быстрого выздоровления.
- Массаж назначается в комплексе с мануальной терапией, ЛФК и использованием специальных полынных сигар и позволяет восстановить подвижность суставов.
- PRP-терапия - новейший метод стимуляции регенеративных процессов. Применяется для восстановления функций суставов после заболеваний и травм, в том числе, для восстановления функции опорно-двигательного аппарата при артрозах.
- Многие другие эффективные методики, с которыми можно ознакомится ниже или по.
В 85%-ах случаев операции по замене сустава можно избежать
Лечение артроза стопы в клинике «Парамита»
Недоверие к медикам, недооценка тяжести заболевания, страх перед неизвестностью – вот те причины, из-за которых пациенты отказываются обращаться к врачам. При этом многие не догадываются о том, что лечение артроза стопы не требует отлагательств, а любое промедление может привести к необратимым последствиям.
Обращение за помощью к специалистам центра восточной медицины «Парамита» на любой стадии заболевания позволит не только окончательно победить недуг, но и быстро вернуться к нормальному образу жизни. Мы не сможем уберечь вас от артроза, но разработаем такую программу восстановления, которая поможет именно Вам!
Как лечить артроз пальцев ног в домашних условиях. Методы лечения артроза пальцев ног
Варианты подбора терапии для артроза пальцев стопы зависят от нескольких факторов – стадия развития патологии, индивидуальная переносимость симптомов болезни, наличие осложнений и скорость развития дегенеративного процесса. В незапущенных случаях требуется применение нестероидных противовоспалительных препаратов в состоянии обострения. На начальных этапах болезни практикуют физиотерапию без приема медикаментов. Вылечить полностью патологию невозможно, можно только замедлить ее развитие с помощью комплексного подхода в терапии.
Лечение артроза суставов пальцев ног консервативными методами лечения эффективно только на начальных стадиях. В запущенных случаях требуется операция по удалению наростов – остеофитов.
Чем лечить артроз пальцев ног, эффективные медикаменты:
- НПВС. В период обострения проводиться процедура обезболивания и устранения воспаления. Длительное течение острого периода способствует прогрессированию заболевания, поэтому с помощью лекарств важно быстро купировать воспалительный процесс. Эти медицинские средства действуют комплексно, проявляя жаропонижающий, обезболивающий и противовоспалительный эффект. Длительность лечения не должна превышать 2 недели. Если боль не проходит, рекомендуется сменить тактику лечения. Примеры эффективных НПВС - Диклофенак, Мовалис, Индометацин, Нимесил.
- Кортикостероиды. При артрозе эти лекарства не используют для системного приема, только в составе блокад. Их назначает специалист в той ситуации, когда другие медикаменты не устраняют сильное воспаление. Блокаду вводят прямо в полость пораженного сустава под контролем УЗИ аппарата. В комбинации с ГКС одновременно используют анестетики для устранения боли при введении инъекции. Длительность эффекта зависит от используемого препарата. Рекомендуемые средства – Дипроспан, Дексаметазон, Гидрокортизон.
- Миорелаксанты. Эти препараты способны убрать сильный мышечный спазм в стопе, возникающий в ответ на воспаление в суставе. Эти лекарства не обладают обезболивающим действием по отношению к суставам, но потенцируют эффект НПВС, что может потребовать коррекцию дозы в сторону снижения. Быстрое действие от этих препаратов не наблюдается, поэтому необходимо применение курса миорелаксантов. Средняя длительность – 2-4 недели. Примеры лекарств – Баклосан, Мидокалм, Сирдалуд.
- Хондропротекторы. Эти препараты хороши как для лечения, так и для профилактики поражения суставов. Обычно хондропротекторы очень хорошо переносятся, не вызывая побочных эффектов. Они не способны заново восстановить структуру хрящевой пластины, но замедляют дегенерацию суставов. Примеры лекарств – Дона, Хондрогард, Синарта.
- Препараты кальция и витамин Д3. Вещества влияют на строение костной структуры, так как выступают строительным материалом для костей. Принимать такие препараты нужно каждый день курсами в несколько месяцев 2-3 раза в году, чтобы избежать остеопороза, если имеется склонность к нему (ранее перенесенные переломы, дефицитный рацион). Примеры средств – Аквадетрим, Детримакс, Кальцемин.
Артроз пальцев ног причины. Какие же факторы влияют на появление артроза и в частности артроза мелких суставов стопы?
Считается, что на формирование артроза влияют следующие факторы.
1. Наследственность (заболевание есть у родственников).
2. Генетические нарушения (например, повреждение гена, ответственного за структуру хрящевой ткани) или анатомические особенности (например, широкая и плоская или узкая стопа, искривленные пальцы).
3. Профессиональная деятельность – балерины, танцоры, профессиональные военные, продавцы, стоматологи, парикмахеры.
4. Спорт – прыгуны, борцы, гимнасты, бегуны.
5. Заболевания обмена веществ – подагра, недостаток кальция, фосфора
6. Механический фактор – частые травмы пальцев, ушибы, подвывихи и вывихи, трещины, растяжения сухожилий связок. Микротравмы также могут спровоцировать раннее развитие артроза.
7. Сахарный диабет.
8. Ожирение – серьезно увеличивает нагрузку на суставы, особенно на суставы ног.
9. Несбалансированное питание, недостаток микроэлементов в рационе.
10. Переохлаждение ног.
11. Неудобная обувь - высокая шпилька, несоответствующий размер, некачественный материал и т.д. Некомфортная обувь при длительном ношении подвергает межфаланговые суставы стопы чрезмерной нагрузке.
12. Пол (чаще женский). После климактерического периода низкий уровень половых гормонов вызывает разрушение костной ткани и истончение сустава, что является причиной артроза.
13. Возраст – по данным статистики восемь человек из десяти старше 60 лет имеют артроз. По мере старения снижается скорость обновления тканей, каркас сустава теряет свою эластичность, кровоснабжение сустава уменьшается.
Мазь от артроза пальцев ног. Разновидности мазей и гелей, которые можно использовать при артрозе
- Согревающие и сосудорасширяющие.
Эти препараты стимулируют кровообращение, способствуют снятию боли и спазма, насыщают клетки кислородом. В таких условиях в суставе активизируются и остальные процессы, например, если человек уже принимает хондропротекторы , восстановление хрящевой ткани происходит более интенсивно.
Возможные согревающие компоненты таких средств – пчелиный или змеиный яд, красный перец. Наносить такие мази нужно перед сном на кожу без признаков повреждения кожного покрова. В период воспаления сустава они противопоказаны. Самые популярные медпрепараты этой группы – «Вольтарен» (на основе змеиного яда), «Аризартрон» (пчелиный яд), «Эспол» (красный перец) и «Гевкамен» (с растительными компонентами).

Применять согревающие мази долго нельзя: можно нанести вред суставу
- Обезболивающие и противовоспалительные.
На начальной стадии лечения артроза колена , тазобедренного сустава или верхних конечностей имеет смысл изредка применять мази на основе диклофенака, ибупрофена или другого противовоспалительного компонента. Среди самых известных препаратов такого типа – «Фастум гель», «Диклофенак», «Найз» (с нимесулидом).
«Фастум гель» – обезболивающая мазь, которую пациенты при артрозе применяют чаще всего. Как правильно использовать мазь и в каких случаях она противопоказана – в
- Мази хондропротективного действия.
Эти препараты усиливают действие хондропротекторов в таблетках или инъекциях – способствуют более интенсивной регенерации клеток хряща. Самые известные мази такого действия – «Дона», «Артра», «Терафлекс», «Эльбона», «Хондроксид».
Артроз пальцев ног форум. The 1-st MTP joint severity deformity treatment
A.M. Privalov, MD, PhD, orthopedist, Head of the Internationa! Foot & Ankle center ROEFAS President, EFAS member International «MEDCИ-Saint Petersburg» clinic & hospital, SPb
The results of the 1-st MTP joint with Hallux rigidus were studied/ Conservative treatment was conducted in early stages (synovia! liquid implants were used). In severity deformity cases – arthrodesis of the 1-st MTP joint were made. Sharp early diagnosis, especial treatment and rehabilitation conducted to good results.
Key words: Hallux rigidus, synovial liquid implants, arthrodesis
Динамично развивающимся направлением современной ортопедии в нашей стране и в мире является хирургия стопы. Новые хирургические методики позволяют буквально за сутки исправить любую деформацию ног .
Распространенной ортопедической деформацией стопы является деформирующий артроз I плюснефалангового сустава, приводящий на поздних стадиях к возникновению так называемого ригидного первого пальца стопы (Hallux rigidus). Заболевание характеризуется дегенеративным повреждением и разрушением суставных поверхностей первого плюснефалангового сустава, которое приводит к нарастающей тугоподвижности (ригидности) и постоянным болям: вначале при ходьбе, затем и в покое. Снижается опорность конечностей, возникают трудности с выбором и ношением обуви. Основными причинами возникновения ригидного первого пальца считаются: плоскостопие, травмы области сустава, интенсивные физические нагрузки, анатомические особенности первой плюсневой кости . Разработаны различные консервативные и оперативные методы лечения этой патологии . Несмотря на это, ригидный первый палец является малоизвестной патологией для многих врачей.
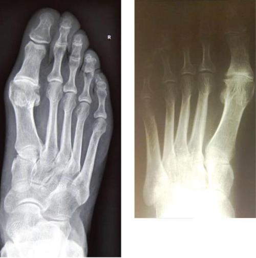
Одной из особенностей заболевания является возникновение значительных повреждений в суставе без видимых внешних деформаций, изменения положения первой плюсневой кости и основной фаланги первого пальца (у пациента с выраженной ригидной деформацией, может быть не больше первой степени поперечного плоскостопия и отсутствовать вальгусная деформация пальца). Все это значительно затрудняет диагностику. Точно выявить заболевание на всех стадиях позволяет только рентгенография стопы в стандартных проекциях (рис. 1). С целью оптимизации диагностики и результатов лечения мы считаем целесообразным поделиться нашим опытом.
Рис. 1. Рентгенограммы различных вариантов ригидной деформации I пальца
Среди пациентов Международного Центра Хирургии стопы, обратившихся за консультативной помощью с патологией переднего отдела стопы в период с марта 2012 по март 2017 гг., в 7,4% случаев диагностирован деформирующий артроз I плюснефалангового сустава III стади с формированием ригидного первого пальца стопы. Лечение таких больных имело свои особенности. При отказе пациента или невозможности выполнения оперативного лечения, а также в тех случаях, когда болевой синдром неинтенсивный и еще сохраняется небольшая амплитуда движений в первом плюснефаланговом суставе, мы считаем целесообразным применение консервативных методов лечения. Предписываются рациональные физические нагрузки и обувь, индивидуальные стельки (изготовленные с учетом характера заболевания) и специализированная лечебная физкультура. Регулярно проводятся курсы лечения имплантатами синовиальной жидкости. Препаратом выбора является «Ферматрон», созданный на основе гиалуроната натрия. Для консервативного лечения используется 1% раствор, выпускающийся в шприцах, содержащих 2 мл лекарственного вещества. Ферматрон вводят непосредственно в полость первого плюснефалангового сустава. После обработки антисептиками по внутренней поверхности первого пальца стопы пунктируют сустав, иглу вводят перпендикулярно поверхности. Ориентирами служат характерная кожная складка на уровне суставной щели и сухожилие разгибателя первого пальца, отступив книзу от которого, осуществляется доступ в полость сустава. Ферматрон восстанавливает вязко-эластичные и защитные свойства суставной жидкости, снижает воспалительные реакции, стимулирует синтез собственной гиалуроновой кислоты. В результате устраняется болевой синдром и увеличивается амплитуда движений в суставе. Ферматрон вводят 1 раз в неделю, курс лечения состоит из 4 инъекций и проводится 1 раз в год. В связи с небольшим объемом полости сустава, целесообразно вводить не более 1 мл препарата, при отсутствии опыта рекомендуется выполнять инъекции под контролем УЗИ. По нашим наблюдениям, данные курсы лечения позволяют отсрочить оперативное лечение сустава до 5 лет. Обязательны ежегодные осмотры пациента с выполнением рентгенографии стопы для своевременного выявления возможного прогрессирования заболевания.





Написать комментарий