Как вправить самому колено. Как вправить колено
Как вправить самому колено. Как вправить колено
Вывих коленного сустава сразу лишает человека возможности нормально сгибать ногу, Главное - не пытаться это делать, поскольку лишние движения порвут еще больше связок, и лечение станет более продолжительным. Вывих обычно сопровождается обильными кровоизлияниями выше и ниже коленной чашечки.

Инструкция
1
Несмотря на серьезные повреждения, вправить вывих колена достаточно просто. Полностью вытяните голень с противодействием на выступающие концы и зафиксируйте сустав повязкой или гипсом на 4-6 недель. Затем разминайте сустав и разрабатывайте его массажем.
2
Гораздо чаще встречается подвывих коленного сустава, который характеризуется легким смещением голени по концам бедра. Этот вывих вправляется так же, как и полный вывих колена, с наложением фиксирующей и обездвиживающей повязки на 3-4 недели. Однако легкому лечению поддаются только свежие вывихи, застарелый и многократно повторяемые травмы спортсменов уже требуют малоинвазивных вмешательств посредством эндоскопии.
3
Вывих коленной чашечки также является травмой, часто вызывающей привычный вывих. Его редко приходится видеть врачам, так как часто больной, ощупывая и растирая коленную чашечку, сам вправляет ее на место, а при возникновении привычного вывиха так же быстро справляется с проблемой. Главное - не забывать, что это тоже травма и стараться временно снизить нагрузку на поврежденное колено . В качестве восстановительной терапии эффективно использовать массаж в сочетании с физиотерапией.
4
Раньше считалось, что часто встречается вывих мениска, однако последняя практика показывает, что обычно все-таки подобное повреждение оказывается переломом, поэтому рекомендуется сразу отправляться к врачу, не надеясь на самолечение. Хотя гораздо важнее уметь предотвращать травмы, которые возникают все чаще из-за увлечения экстремальными видами спорта, поэтому нужно всегда использовать защиту и дополнять ее бинтованием суставов при помощи эластичного бинта.
Обратите внимание
Вывих коленного сустава - это очень серьезная травма. Вправлять его самостоятельно нельзя, во-первых, потому, что не специалист не сможет определить конкретный вид вывиха, а во-вторых, потому, что при попытке неумелого вправления сустава вы можете повредить его еще больше.
Как хрустнуть коленом. Почему хрустят колени и что с этим делать?
или позвоночника, который еще не сопровождаетсяили прочими неприятными ощущениями, но намекает на то, что организм дает сбои, и процесс дегенерации тканей уже начался и стремительно развивается.
Хруст в коленях – не исключение. Это тот признак, на который необходимо обратить внимание и начать лечение в зависимости от поставленного диагноза. Почему хрустят колени, каковы причины этого явления, что делать, какое лечение необходимо предпринять, к какому врачу необходимо обратиться за консультацией – обо всем этом вы прочтете в этой статье.
Причины возникновения хруста в коленях
Важно знать! Врачи в шоке: "Эффективное и доступное средство от боли в суставах существует…"…
Хруст в колене может возникать при различных ситуациях: при ходьбе, присаживании на корточки, беге, поворотах. Одно специалисты по лечению таких проблем утверждают точно – просто так, не имея причины, хруст в коленном суставе возникать не может, если речь не идет об эпизодичном случае. Почему может раздаваться сильный хруст в коленях, и чем этот симптом опасен для здоровья?
Если хрустят колени, это признак начинающегося заболевания коленного сустава или наличия травмы, среди которых могут быть:
- артроз и
- возрастные изменения костной структуры;
- в коленном суставе;
- нехватка кальция в костях;
- дегенеративные изменения мягких тканей;

Этот список – конкретные, на которые указывает начальный, предупреждающий симптом. Есть еще и отдельные причины, повлекшие возникновения данного неприятного признака. Среди них:
- Ожирение или избыточная масса тела.
- Гиподинамия — малоподвижный образ жизни.
- Использование чрезмерно узкой, обтягивающей одежды.
- Ношение неудобной обуви (на высоком каблуке, с неудобной колодкой).
- Большие нагрузки, тяжелый физический труд, занятия спортом, ношение тяжестей.
- Неправильное питание, злоупотребление «вредными» продуктами (соленья, копчения, острое, алкоголь).
Чем опасен хруст для сустава
Разобравшись в вопросе,, каковы причины, необходимо разобраться и в вопросе, в чем опасность симптома.

Так ли опасно похрустывание и стоит ли так беспокоиться при его появлении, если боли нет, движение коленного сустава не нарушено, а общее самочувствие человека удовлетворительно?
Хруст в суставе колена – первый и едва ли не единственный признак начала развития разрушительных процессов в тканях сустава, который предшествует, деформации,.
Если вовремя не, то могут произойти необратимые процессы:
- Частичное или даже полное разрушение хрящевой ткани коленного сустава (если причиной хруста был коленный артроз).
- Деформация сустава (если причина –или заболевания, сопровождающиеся воспалением сочленения).
- Обездвиженность колена.
- Потеря сустава и, как следствие, инвалидность.
- Серьезное травмирование колена (при, разрывах).

Из перечисленного видно, что последствия игнорирования хруста коленного сустава достаточно серьезны, поэтому первое, что нужно делать – обращаться за помощью к врачу.
Специалисты, занимающиеся лечением хруста в коленном суставе
Многие пациенты, если их что-то беспокоит, откладывают визит к врачу не по причине халатного отношения к своему здоровью или из-за нехватки времени, а потому что просто не знают, к кому обратиться с.

Лечение хруста и боли в коленных суставах проводят следующие специалисты:
- Терапевт — скорее всего, именно к нему первому придется обратиться, чтобы выяснить причину щелканья в колене, для чего понадобится сдать необходимые анализы и получить направление к узкоспециализированному доктору, который возьмется за .
- Невролог, к которому придется обратиться за устранением неврологических проблем, например, при защемлении нервных корешков в колене.
- Ортопед, если треск в колене стал результатом косолапости,или дисплазии.
- Остеопат, если нужно лечение руками (например, для снятия тонуса коленных мышц).
- Травматолог, который будет лечить полученные травмы (, переломах, растяжениях).
- Мануальный терапевт, функция которого будет заключаться в восстановлении после лечения. Завершать лечение колена поможет.
- Хирург, если консервативными способами лечение невозможно. В данном случае избавиться от хруста в коленном суставе придется путем хирургического вмешательства (сшивание,, ).
Боль в колене. Боль в коленном суставе: причины, лечение, почему болят колени, что с этим делать, как и чем их лечить
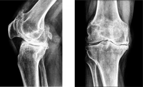
На изображении справа заметно сращение суставной щели.
Коленный сустав является одним из самых крупных и сложных. Ежедневно он подвергается огромной нагрузке, поэтому неудивительно, что периодически он перестает функционировать нормально.Если, причем боль практически постоянная, то необходимо обязательно. Такое патологическое состояние может быть сигналом о развитии одного из, деформирующего сустав. Естественно, необходимо научиться различать ситуации, когда визит к врачу очень нужен. Но отсутствиеили самостоятельная терапия может привести к осложнениям.
Строение коленного сустава
Важно знать! Врачи в шоке: "Эффективное и доступное средство от боли в суставах существует…"…
Чтобы лучше понять, почему болят колени, нужно разобраться с их анатомией. Итак, сочленение состоит из бедренной, большой берцовой кости и коленной чашечки. Две самые большие кости имеют по два выступа: внутренний и наружный мыщелки.

Все поверхности, которые соприкасаются друг с другом, покрыты гиалиновым хрящом. Благодаря ему обеспечивается подвижность коленного сустава, его амортизационные свойства. Вокруг этого соединения костей находится своеобразная капсула, изнутри выстланная синовиальным слоем. Она наполнена, благодаря которой производится питание сочленения, обеспечивается его подвижность.
Коленный сустав состоит не только из костей. Все его элементы объединяются крестообразными и коллатеральными связками, бедренными мышцами, сухожилиями. Коленная чашечка крепится к другим элементам посредством собственной связки. Для того чтобы колено двигалось, необходимо 6 синовиальных сумок. Питание и иннервация представленного сустава осуществляется посредством нервов и кровеносных сосудов, которые размещены в мягких тканях, окружающих сустав.
Боль в коленном суставе: причины появления
Если колено стало болеть, появился отек, подвижность ограничена, а дискомфорт является достаточно сильным, необходимо срочно обратиться к врачу. Если деструктивный процесс уже начался, то полностью вылечить колено будет невозможно. Однако остановить или замедлить его прогрессирование удастся.
Итак, можно выделить такие причины боли в коленном суставе:
- гонартроз . Он встречается практически в 50% всех случаев поражения сочленения. Патология развивается очень долго. Среди симптомов этой болезни можно выделить такие: колено не болит в состоянии покоя, однако человеку становится трудно, долго ходить,. Во время движения больной слышит, у него снижается подвижность. Со временем, вследствие изнашивания хряща, расстояние между костными поверхностями уменьшается. При этом появляются, нервы и сосуды сдавливаются, а само колено деформируется;

Гонартроз коленного сустава на рентгене.







Комментарии(1)
Ой, самостоятельно это делать наверное и правда не стоит...потому что можно ещё и травму себе какую-то дополнительную заработать. Я всё это проводила у остеопата, потом ещё принимала ревмафлекс на основе мартинии душистой. которая прекрасно снимает боль и воспаление. Кстати при этом не вредит желудку.
Написать комментарий