Двусторонний гонартроз III степени. Степени развития гонартроза
- Двусторонний гонартроз III степени. Степени развития гонартроза
- Гонартроз 3 степени инвалидность. Специфика 3 степени
- Гонартроз лечение в домашних условиях. Классификация
- Гонартроз 4 степени. Артроз коленного сустава 4 степени: операция и восстановление
- Двусторонний гонартроз 2 степени лечение. Симптомы и признаки
- Двусторонний гонартроз 1 степени. Причины развития
- Двусторонний гонартроз 2 степени. Виды гонартроза 2 степени
Двусторонний гонартроз III степени. Степени развития гонартроза
Разделение условно так как заболевание постоянно прогрессирует. В зависимости от симптоматики и данных инструментальных методов обследования, различают четыре стадии остеоартрита.
Гонартроз 1 степени
Начальная стадия связана с ухудшением качества и уменьшением количества биологически активных веществ в синовиальной жидкости (обеспечивает питание хрящей, обладает амортизирующими свойствами, способствует скольжению суставных поверхностей). Нарушение питания ведет к износу и деградации хрящевой ткани, возникновению боли и воспаления, движения не нарушены, в полном объеме. Диагноз артроз первой степени ставят на основании болезненности, возникающей после нагрузок, хруста при движении. Дискомфорт беспокоят при физической нагрузке, длительной ходьбе или после нее. Характерно отсутствие внешних и рентгенологических изменений сустава.
Гонартроз 2 степени
Характеризуется следующими симптомами: истончение хрящевого покрова до 1,5 -2,0 мм (норма 2,5-3,0 мм), незначительное сужение межкостной щели (не более 10-20% от нормы), на рентгенограмме появляются небольшие единичные костные наросты (остеофиты) до 5мм, начинают деформироваться суставные поверхности. Воспалительный процесс носит волнообразный характер, с периодами ремиссии и обострения. Для артрозов коленных суставов второй степени характерно: усиление болей наблюдается при нагрузках (например при спуске по лестнице), при смене погоды. После непродолжительной ходьбы чувствуется усталость. Появляется утренняя скованность, хруст или щелчки. Внешне отмечается умеренная отечность, слабость мышечной силы в ногах.

Гонартроз 3 степени
Патологические изменения вызваны дальнейшим прогрессированием болезни, становится заметна внешняя деформация сустава и окружающих тканей, ось конечности искривлена (варусная или О-образная деформация). Клинически - хрящ сильно поврежден, истончен до 1-1,5 мм, местами видна обнаженная субхондральная кость. Костные наросты и деформация костей легко прощупываются под кожей, амплитуда движений существенно снижена. На рентгене для 3 степени характерно еще большее сужение щели. Развивается тугоподвижность в суставе с характерным хрустом, утренняя скованность, хромающая походка. Беспокоят постоянные ноющие, а иногда резкие и интенсивные боли в колене, даже в состоянии покоя. Из-за сильных болевых ощущений, пациенты часто страдают бессонницей, не могут принять удобную позу, реагируют на погодные изменения.
4 стадия гонартроза
Характерные клинические признаки: значительное разрушение хрящевых поверхностей с участками обнаженной кости, хрящевой покров представлен редкими "островками". Выраженное сужение межкостной щели на всем протяжении, О-образная (варусная) деформация нижних конечностей. Подвижность практически полностью утрачена. Лечение безоперационными методами малоэффективно, а помощь носит паллиативный характер. При выраженном снижении качества жизни рекомендуют эндопротезирование.
Гонартроз 3 степени инвалидность. Специфика 3 степени
Данная патология относится к одной из наиболее часто встречаемых среди всех суставных заболеваний. Она склонна прогрессировать, тем самым существенно угнетать двигательные функции коленного сустава. А ведь именно этот отдел ноги отвечает за удержание веса и возможность воплощать человеком самой разнообразной сложности задачи, а именно ходить, прыгать, приседать, бегать и пр. Запустив сустав, человек, грубо говоря, обрекает себя на инвалидность. Несвоевременная диагностика, отсутствие необходимого лечения на ранних этапах ни к чему хорошему не приводят. Чем больше запущена клиническая картина, тем остается все меньше шансов избежать операции.
Если рассматривать болезнь согласно общепринятой европейской классификации развития дегенеративно-дистрофических изменений, то 3 стадия – это предпоследняя степень среднетяжелого недуга. В большом количестве случаев консервативное лечение оказывается малорезультативным или неэффективным вообще, а это веские причины для проведения операции по замене коленного сустава искусственным имплантатом.
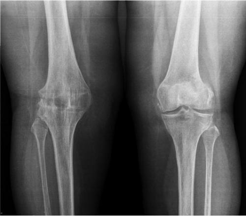
Так выглядит диагноз на рентгене.
Что касается всевозможных безоперационных и мининвазивных тактик, знайте, что они если и произведут эффект на весьма сложной стадии, то не более чем временный симптоматический. Остановить развитие гонартроза, обратите внимание, что даже не излечить от него целиком, можно нетравматичными способами, однако исключительно на двух первых стадиях. Поэтому, отдав предпочтение консервативному лечению, не рассчитывайте на чудо-исцеление: колено не выровняется, хрящ не возродится, а, следовательно, и все двигательные проблемы будут при вас.
Все это мы говорим для того, чтобы наивные люди, далекие от тонкостей ортопедии и травматологии, не испытывали иллюзий в отношении целительных возможностей широко рекламируемых препаратов и физметодик. На данном периоде коленного артроза они непродуктивны.
Стадии гонартроза, от отсутствия до последней степени.
Внимание! На 3 стадии гонартроза для осуществления профилактики уже не осталось живых участков, несущих функциональную важность. Максимум, какую выгоду для себя вы можете найти в безоперационных тактиках, так это немного снизить болевой синдром и в некоторой мере подготовить мышцы к предстоящей хирургии.
Гонартроз лечение в домашних условиях. Классификация
1.5 Классификация заболевания или состояния (группы заболеваний илисостояний)
1. По этиологии:
1) Первичный гонартроз (идиопатический) – возникает без каких-либо явных внешних причин.
2) Вторичный гонартроз – в анамнезе имеются указания на один или несколько факторов, приводящих к развитию заболевания. Наиболее часто это факторы травматического генеза, например, внутрисуставные переломы мыщелков бедренной и большеберцовой костей, а также надколенника, переломы диафизов бедренной или большеберцовой костей, сросшиеся с остаточной деформацией, повреждения хряща, менисков, связок коленного сустава, а также любые хирургические вмешательства на суставе, приводящие к посттравматическому гонартрозу . Реже встречаются воспалительные факторы – например, острые и хронические артриты любой этиологии, гемартрозы и другие патологические состояния, нарушающие нормальный гомеостаз синовиальной среды сустава (другой вторичный гонартроз). Поражаться может как один, так и оба коленных сустава.
2. По степени выраженности патологических изменений:
Рекомендуемой к использованию в клинической работе являются классификации по Н.С. Косинской (1961) и Kellgren & Lawrence (1963) . Существует также рентгенологическая классификации Ahlbäck (1968), которая в настоящее время используется значительно реже .
Классификация Н.С.Косинской (клинико-рентгенологическая)
I стадия – при рентгенографии определяется незначительное сужение суставной щели по сравнению со здоровым суставом и лёгкий субхондральный остеосклероз. Клинически заболевание проявляется болью, возникающей после или при ходьбе, особенно, при спуске и подъёме по лестнице, которая проходит в состоянии покоя, иногда боль может появляться после долгого пребывания на ногах, движения в суставе, как правило, не ограничены;
II стадия – сужение рентгенологической суставной щели в 2–3 раза превышает норму, субхондральный склероз становится более выражен, по краям суставной щели и/или в зоне межмыщелкового возвышения появляются костные разрастания (остеофиты). Клинически – умеренный болевой синдром, развивается ограничение движений в суставе, гипотрофия мышц, хромота, определяется лёгкая фронтальная деформация оси конечности;
III стадия – клиническая картина характеризуется стойкими сгибательно– разгибательными контрактурами, резко выраженными болями и хромотой, умеренной и выраженной вальгусной или варусной деформацией конечности, нестабильностью сустава и атрофией мышц бедра и голени. При рентгенографии выявляется значительная деформация и склерозирование суставных поверхностей эпифизов с зонами субхондрального некроза и локального остеопороза, суставная щель почти полностью отсутствует, определяются обширные костные разрастания и свободные суставные тела.
Классификация Kellgren & Lawrence (рентгенологическая)
0 – отсутствие изменений
I – сомнительная: незначительные остеофиты;
II – минимальная: чётко выраженные единичные остеофиты и минимальное сужение суставной щели;
III – умеренная: умеренное сужение суставной щели и множественные остеофиты;
IV – тяжёлая: выраженное сужение суставной щели с субхондральным склерозом, грубые остеофиты.
К недостаткам классификации Kellgren & Lawrence можно отнести то, что они не учитывают наличие и выраженность клинических симптомов остеоартроза, а только его рентгенологические проявления. Поэтому клинико-рентгенологическая классификация Н.С.Косинской является предпочтительной, позволяя выбрать наиболее эффективный способ лечения пациента исходя из комплексной характеристики стадии заболевания. Существенным недостатком рентгенографии является то, что она не позволяет визуализировать начальные патологические изменения в тканях сустава, в связи с чем, большинство больных начинают лечение уже только на стадии "органной недостаточности", когда репарационные возможности уже полностью утеряны .
Наиболее точно изучить состояние хряща, субхондральной кости, менисков, связок, синовиальной оболочки можно используя магнитно-резонансную томографию суставов (один сустав) (МРТ), которая позволяет выявить самые ранние структурные нарушения, до появления рентгенологических признаков заболевания . К сожалению, до настоящего времени отсутствует общепринятая МРТ классификации гонартроза. Только отдельные из нескольких опубликованных классификаций пока лишь ограниченно используются в научных исследованиях. Это объясняет отсутствие необходимой доказательной базы и не позволяет включить такие классификации в данные клинические рекомендации.
Гонартроз 4 степени. Артроз коленного сустава 4 степени: операция и восстановление
Артроза коленного сустава 4 степени не существует в медицинской классификации. Таким термином обозначают4 рентгенологической стадии. На полученных при проведении диагностического исследования снимках хорошо визуализируется полное сращение суставной щели колена. Для заболевания характерно поражение гиалинового хряща, которым покрыты поверхности костей, образующих сочленение. Ведущий — обездвиживание конечности ().

Анкилоз правого колена(на изображении слева).
Причеловек утрачивает способность к передвижению. Для диагностирования артроза проводится рентгенография, при необходимости —, КТ,. Консервативные методы лечения не используются в терапии заболевания столь высокой степени тяжести. Пациентам показана. Практикуются и другие виды хирургических вмешательств.
Механизм развития патологии
Коленное сочленение образуют бедренная и большеберцовая кости, поверхности которых покрыты хрящом. Он прочный, гладкий, плотно-эластичный. У человека с нормальным состоянием здоровья при движении структурные элементы колена без усилий смещаются относительно друг друга. Плавность скольжения обеспечивает, обладающая свойствами амортизатора. Под воздействием одного из негативных факторов нарушается кровообращение в суставе. В тканях возникает дефицит молекулярного кислорода, питательных и биологически активных веществ. Ухудшение кровоснабжения приводит к патологическим изменениям в гиалиновом хряще:
- его поверхность становится сухой, шершавой;
- при скольжении начинают отделяться мелкие, а затем и крупные частицы.
Синовиальная жидкость загустевает, утрачивает амортизационные свойства. Чтоб компенсировать нагрузку на колено, в полости сочленения происходит разрастание костных тканей, формируются.
При(4 рентгенологической) степени гиалиновый хрящ полностью разрушен. Ситуацию ухудшает сильная деформация костей. Они искривляются, вдавливаясь друг в друга, что делает невозможным любое движение в колене.
Причины и провоцирующие факторы
Артроз коленного сустава 4 степени бывает первичным и вторичным. Такая классификация позволяет наметить план терапии и избежать деструктивно-дегенеративного поражения других сочленений опорно-двигательного аппарата.
Причины первичного гонартроза до сих пор не установлены. У ученых есть только предположения, почему болезнь поражает именно этого пациента. Толчком к развитию патологического процесса становится естественное старение организма. Снижается выработка коллагена — строительного материала связок и сухожилий. Они теряют упругость, эластичность, растягиваются, что приводит к снижению их функциональной активности. Существуют версии, что преждевременное разрушение сустава провоцируют заболевания, протекающие на фоне нарушения обмена веществ, или расстройства кровообращения. Причины вторичного артроза хорошо известны:
- хронические—,,,,. Причем патология не обязательно локализована именно в колене. Разрушение любого сустава приводит к перераспределению нагрузок в опорно-двигательной системе, поэтому вторичныйможет развиться в любом сочленении;
- избыточные нагрузки. В США самая востребованная операция в клиниках —. Врачи связывают это с большим увлечением американцев бегом. В молодом возрасте можно не опасаться за состояние коленей, занимаясь спортом. Но после 40 лет следует разумно подходить к физическим нагрузкам, сократить количество и продолжительность тренировок;
- травмы — переломы,и сухожилий,, сильные. Именно травмирование становится причиной диагностирования артроза 3 степени у молодых людей. Даже после правильно проведенного лечения в суставных структурах могут формироваться рубцы, нарушающие функционирование колена. Постепенно это приводит к развитию деструктивно-дегенеративных изменений в тканях.
Двусторонний гонартроз 2 степени лечение. Симптомы и признаки
Гонартроз суставов развивается постепенно. Первые стадии болезни практически не тревожат пациентов, разве что незначительные боли при спуске или подъеме по лестнице. Более чувствительные пациенты указывают чувство скованности в суставах или подколенной области.
Отличительные симптомом гонартроза 1 степени является стартовый порог боли – это болевые ощущения, сопровождающие первые шаги после сидячего положения. Далее в процессе ходьбы боль сходит на нет или значительно притупляется. Ее новое появление будет ознаменовано какими-либо физическими нагрузками значительной тяжести.
Внешние симптомы гонартроза появляются редко. В основном к ним относится отечность. Сопровождение патологии скоплением жидкости приводит к синовиту. В данном случае сустав раздувается до шарообразного вида и движения становятся скованными, а больной ощущает тяжесть.
Каждая степень гонартроза имеет свои отличительные признаки. Гонартроз 2 степени отличает интенсивная боль при ходьбе и умеренных физических нагрузках. Прогрессирование гонартроза приводит к постепенному обездвиживанию сустава. При этом сгибание и разгибание коленного сустава приводит к хрусту и резким болевым ощущениям.
Гонартроз 3 степени сопровождается постоянным болевым синдромом. При этом движение сустава практически парализуется и больной не может распрямить ногу. Сустав увеличивается в размере и деформируется. Появляются внешние признаки патологии – неустойчивость походки, переваливающийся характер движений или отсутствие возможности ходить без дополнительной опоры.
У вас появились симптомы гонартроза?
Двусторонний гонартроз 1 степени. Причины развития

Гонартроз был точно признан следствием воздействия механических и биологических факторов, приводящих к нарушению баланса между процессами деградации и восстановления внеклеточного матрикса суставного хряща, только в 1995 году. В результате это приводит к разволокнению и разрушению хряща с образованием трещин, повышению плотности костей с формированием на их поверхностях костных выступов (остеофитов) и субхондральных кист, расположенных внутри костных структур, что в конечном итоге становится причиной искривления одной или обеих ног.
Нередко образующиеся по краям заострения ошибочно принимают за отложения солей.
В целом гонартроз может быть первичным или вторичным. О наличии первичного артроза коленного сустава говорят, когда его развитию не предшествует получение травм. Он наиболее характерен для пожилых людей и, как правило, поражает оба колена. Первичный гонартроз является следствием естественных возрастных изменений, особенно если человек страдает от ожирения, ведет малоподвижный образ жизни или чрезмерно активный.
Вторичный гонартроз является следствием действия травмирующих факторов или других заболеваний и обычно поражает только один из коленных суставов. Причинами развития вторичного гонартроза могут выступать:
- нарушения обмена веществ;
- последствия и осложнения ушибов, переломов, растяжений связок, разрыва менисков, вывихов;
- нарушения режима физических нагрузок с существенными перегрузками коленных суставов при частом подъеме тяжестей, занятиях определенными видами спорта, продолжительном сидении с подогнутыми под себя ногами или напротив ведение малоподвижного образа жизни;
- повышенная подвижность коленного сустава;
- эндокринные заболевания, в том числе сахарный диабет, гипотиреоз;
- ревматоидный артрит, болезнь Кенига, подагра, псевдоподагра, системная красная волчанка;
- воспалительные процессы в области коленных суставов и системные инфекции;
- наличие врожденных аномалий развития, в частности укорочение одной из ног, О-образные и Х-образные деформации голеней, дисплазии суставов;
- приобретенные в течение жизни деформации с признаками нарушения соотношения, формы или структуры суставных концов;
- сосудистые патологии конечностей и частые переохлаждения.
Чаще гонартроз встречается у женщин старше 40 лет, что связано с перестройкой гормонального фона при начале менопаузы, и несколько реже у мужчин, получивших травмы, страдающих ожирением или, наоборот, занимающихся активными видами спорта.

Также выделяют идиопатический гонартроз, диагностирующийся крайне редко, но имеющий те же проявления и последствия, что и другие виды этого дегенеративно-дистрофического заболевания. Название идиопатический свидетельствует о том, что точно определить причины развития патологии не удается.
В целом с возрастом у всех людей происходят дегенеративно-дистрофические изменения в костных, хрящевых структурах и мышцах. Постепенно они изнашиваются, становятся слабее, утрачивают прежнюю гибкость и эластичность, что является естественным для организма. В норме эти изменения протекают плавно и достаточно медленно, поэтому снижение физической активности происходит планомерно и не доставляет человеку особых моральных и физических страданий. Но под действием вышеописанных факторов процессы метаболизма и клеточного питания начинают резко уступать по скорости протекания износу тканей, что и приводит к быстрому и агрессивному повреждению коленного сустава. Поэтому гонартроз может возникать не только после 40 лет, но и у молодых людей, причем в последнее время наблюдается учащение случаев его диагностирования у все более и более молодых категорий населения.
У 76% пожилых людей присутствуют рентгенографические признаки гонартроза коленных суставов.
Двусторонний гонартроз 2 степени. Виды гонартроза 2 степени
При снижении активности сустава пациент становится раздражительным. Возникновения выраженных болезненных ощущений приводит к ухудшению качества жизни. В группу риска входят люди, профессионально занимающиеся спортом или балетом. Также болезнь развивается у людей, работа которых связана с постоянным поднятием тяжестей и продолжительным пребыванием в стоячем положении. Сотрудники офисов также страдают гонартрозом, что связано с длительным нахождением в сидячей позе.
Артроз коленного сустава 2 стадии может быть первичным и вторичным. Зачастую у больных определяют вторичную форму патологии. В этом случае болезнь развивается на фоне:
- перенесенной травмы колена;
- запущенной формы артрита и некоторых иных патологических процессов, протекающих в организме
- как следствие прогрессирования заболеваний эндокринной системы (сахарного диабета, проблем со щитовидной железой и т.д.).
Первичная форма артроза колена характеризуется беспричинным появлением дегенеративно-дистрофического процесса в хрящевой ткани коленного сустава. Подобное состояние наблюдается в редких случаях.
Суставы поражены симметрично, отмечается полное отсутствие суставной щели. В свой черед, как первичная, так и вторичная форма гонартроза 2 степени способна охватить не только одно колено, но и сразу оба (и правое, и левое). Если поражена хрящевая ткань только одного коленного сустава, ортопеды такое заболевание называют односторонним. Если же поражены одновременно колени обоих нижних конечностей – это двусторонний гонартроз.
Двусторонний артроз колена 2 степени пациенты переносят значительно сложнее, так как серьёзная деформация суставной ткани наблюдается одновременно в обеих ногах. Такая разновидность патологии по этиологическим признакам чаще всего причисляется идиопатическому (первичному) виду. Это же касается односторонней формы гонартроза, она почти всегда является вторичной.
Вне зависимости от разновидности артроза коленного сустава 2 стадии на начальном этапе лечения используются консервативные методики. Если же желаемый результат после проведенной терапии отсутствует, прибегают к помощи оперативного вмешательства.
Безоперационное лечение оказывает позитивный эффект лишь в том случае, если диагностирован артроз колена 1-2 стадии. В некоторых случаях и на данном этапе может потребоваться применение хирургического вмешательства.
Следует заметить, что применение консервативных методик не может излечить гонартроз в полной мере (любой артроз является неизлечимым заболеванием). Безоперационная терапия является:
- грамотной профилактикой последующего разрушения хрящевой ткани при правильно подобранных медикаментозных и физикальных препаратов;
- симптоматическим воздействием от болевых проявлений благодаря применению болеутоляющих лекарств;
- средством поддержания мышечной и связочной ткани путем выполнения специальных гимнастических упражнений. Это в некоторой степени помогает активизировать двигательную функцию.
Использование консервативных технологий целесообразно на ранней стадии развития заболевания. Если диагностирована средняя фаза артроза коленного сустава, подобные методики становятся менее эффективными, хотя они в некоторых случаях помогают улучшить состояние пациента.
Если же выявлена последняя фаза гонартроза, безоперационные способы лечения становятся бесполезными. Применение в терапевтических целях средств нетрадиционной медицины при гонартрозе 2-3 стадии тяжелого течения неэффективно. Без обращения за специализированной помощью болезнь будет прогрессировать. В этом случае появляются разрушительные процессы внутри коленного хряща.
Если своевременно не обратиться к врачу за консультацией и не пройти соответствующее лечение, это может даже стать причиной инвалидности.
Человеку может быть присвоена инвалидная группа в таких случаях:
- диагностирован артроз коленного сустава 2 степени;
- заболевание сопровождается устойчивыми и ярко выраженными функциональными расстройствами;
- болезнь выделяется быстро прогрессирующим дегенеративным и дистрофическим процессом в хрящевой ткани сустава.
При достижении патологией последней фазы больного в любом случае признают нетрудоспособным. Никакие щадящие терапевтические методики в подобной ситуации не используются. Лечение в этом случае заключается в устранении нежизнеспособной суставной ткани, после чего устанавливается искусственное сочленение.
С помощью эндопротезирования на запущенной стадии гонартроза возможно восстановление утраченного локомоторно-опорного функционала на продолжительное время (на срок от 15 до 30 лет).





Комментарии(1)
Конечно ЛФК, физио играют большую роль. Но если не питать суставы изнутритолку особого не будет. Поэтому для меня основа основ курсовые приёмы хонды МСМ. Рекомендую. Тем более что это самый лучший вариант по соотношению цены и качества.
Написать комментарий