Как лечить ожирение печени. Лечение
- Как лечить ожирение печени. Лечение
- Как очистить печень от жировых отложений народными средствами. Как по симптомам убедиться в показаниях к фитотерапии?
- Можно ли вылечить жировой гепатоз печени. Методы лечения заболевания
- Ожирение печени диет. Какую диету нужно соблюдать при ожирении печени?
- Ожирение печени от алкоголя. Описание болезни
Как лечить ожирение печени. Лечение
Лечение ожирения печени – то, чем занимается врач. В «Системе Соколинского» мы не используем это выражение в соответствии с законом.
И с точки зрения здравого смысла, жировой гепатоз (стеатоз) – это такое состояние, где в первую очередь мы влияем на причины и обменные процессы. Поэтому натуральные средства – не лекарства. Необходимо несколько пересмотреть свой образ жизни и режим питания, дополнить его полезными веществами и убрать – неполезные.
Универсальные таблетки от ожирения печени пока науке не известны. Поэтому в любом случае лечение проводят комплексно и сразу в нескольких направлениях.
А что касается натуральных способов как избавиться от ожирения печени, то это:
- Соблюдение диеты – отказ от жирной пищи, особенно нагретых животных жиров, уменьшение красного мяса в рационе в пользу рыбы, птицы. .
- Поддержка гепатоцитов – прием натуральных гепатопротекторных средств не менее 2-х месяцев подряд.
- Улучшение жирового обмена – прием эссенциальных фосфолипидов (лецитин) в течение 2-3 месяцев подряд.
- Улучшение общего самочувствия пациента – укрепление и очищение организма от токсических веществ.
- Поддержание физической активности – увеличить объем движений нужно чтобы дать сигнал организму больше тратить энергии из жиров в мышечную работу, а не запасать их избыточно.
Как очистить печень от жировых отложений народными средствами. Как по симптомам убедиться в показаниях к фитотерапии?
Среди людей существует группа повышенного риска по вероятности развития жирового гепатоза. Среди наиболее вероятных факторов:
- достижение возраста 45 лет;
- вегетарианство;
- показатель индекса массы тела выше 28 кг/м2;
- наличие сахарного диабета;
- беременность;
- гипертоническая болезнь;
- профессии, связанные с воздействием на печень ядовитых солей свинца, четыреххлористого углеводорода, других промышленных ядов;
- определенная этничность (патология чаще выявляется у лиц азиатской национальности, реже у афроамериканцев);
- наследственная отягощенность (наличие у кровных родственников аналогичной проблемы со здоровьем печени).
Пациенты из этих групп могут не чувствовать никаких отклонений в работе печени на начальном этапе поражения. Однако углубленный анализ биохимических процессов позволяет выявить признаки нарушений. Следует внимательно относиться к прохождению регулярного профилактического обследования.
Плоские жировики на веках (ксантелазмы) — показатель нарушенного жирового обмена
Особенно опасно для печени сочетание этих причин с вирусной инфекцией, травмами и оперативным вмешательством. Ученые установили, что симптоматика проявляется, когда 1/3 часть печеночной ткани уже переполнена жиром. У человека возникают:
- тупые распирающие боли в подреберье справа;
- тошнота;
- потеря аппетита;
- пожелтение и зуд кожи;
- поражение век мелкими жировиками;
- аллергическая сыпь типа крапивницы;
- усталость.
Снижение иммунитета сказывается на частых инфекциях. Этой беде можно помочь. Не рекомендуется сразу приступать к траволечению, сначала необходимо сдать анализы, пройти УЗИ. Возможно таким способом выявятся другие заболевания, способствующие вторичной жировой дистрофии печени. Людям, склонным к употреблению алкоголя, не желающим менять свои пищевые привычки к острой, жирной и жареной пище, полезно хотя бы временно заниматься очищением своей печени.
Для этих целей народные методы подходят не меньше лекарств. Самостоятельно выбрать нужный способ сложно. Лечащий врач не всегда знаком с фитотерапией. Лучше обратиться к специалисту нутрициологу. Он подскажет как лечить жировой гепатоз печени народными средствами и какие медикаменты совместимы с растительными препаратами.
Рекомендации по лечению можно разделить на диетические и фитотерапию.
Можно ли вылечить жировой гепатоз печени. Методы лечения заболевания
Жировой гепатоз печени (или диффузный стеатоз) – это заболевание хронического характера, при котором здоровые клетки этого органа трансформируются в жировую ткань. Воспалительные процессы не характерны для этого недуга (в отличие от гепатита). Признаками гепатоза являются отдышка, тошнота, желтуха.
Важно вовремя диагностировать болезнь. Процессы разрушения и изменения клеток обратимы при своевременно проведенном лечении. Главным условием выздоровления и устранения симптомов гепатоза печени становится исключение причины. Медикаментозная терапия будет бессмысленной, если продолжать употреблять алкоголь или жирную пищу. Среди методов лечения гепатоза выделяют:

- Терапия . Лечение жирового гепатоза печени лекарствами, как и диагностика, проводится специалистом, особенно у беременных. Медикаментозная помощь направлена на восстановление обменных процессов, защиту клеток печени, детоксикацию органа.
- Народные рецепты . Не следует заниматься самолечением при острой степени гепатоза печени. Любые методы и средства должны быть обсуждены с лечащим врачом.
- Специализированная диета . Исключение из рациона вредных продуктов, употребление пищи, богатой белком, способствуют скорейшему выздоровлению и нормализации обменных процессов в печени.
Ожирение печени диет. Какую диету нужно соблюдать при ожирении печени?
Диета при ожирении печени — единственно эффективный способ лечения патологии вне зависимости от причин ее появления, позволяющий нормализовать состояние и функционирование органа, не прибегая к хирургическому вмешательству. Правильное питание при ожирении печени подразумевает употребление разрешенных продуктов и блюд, относящихся к диетическому столу №5. Питаться так человеку с диагнозом жировой гепатоз придется постоянно, чтобы не допустить рецидива тяжелого заболевания и не довести до необходимости хирургического вмешательства.

Необходимость диеты при лечении жирового гепатоза
При жировой дистрофии печени орган подвергается постепенной деформации и разрушению. Жировой гепатоз или ожирение печени — это патологический процесс, характеризующийся перерождением всех клеток в жировые, на фоне которого возникает нарушение обмена веществ и дисфункция органов пищеварительной системы. Остановить разрушение органа можно только одним способом — снять с него чрезмерную нагрузку и остановить разрушающее действие токсических веществ путем правильного питания.
Диета при жировом гепатозе способствует частичному восстановлению печени и нормализует функционирование желчевыводящих протоков, предупреждая тем самым развитие тяжелых осложнений.
Специально разработанный диетический стол №5 не оказывает негативного воздействия на органы желудочно-кишечного тракта, не провоцирует химических или термических ожогов их слизистых оболочек. Несмотря на достаточное количество ограничений в питании, диета №5 восполняет необходимое количество энергии, имеет нужную концентрацию калорий, не препятствует ведению человеком активной жизни.

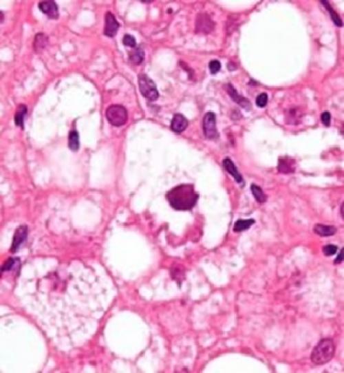
Ожирение печени от алкоголя. Описание болезни
Наверняка многим удобнее определить наличие лишнего жирка на теле, нежели во внутренних органах. Это не удивительно – не каждый человек может заметить то, что печень начала буквально «заплывать» жиром, при этом, ухудшив собственную работу.

Клетки поражённого органа
Конечно, алкогольное ожирение не относится к смертельным заболеваниям, однако лечить его все-таки стоит сразу после обнаружения первых признаков, поскольку в противном случае болезнь может вызвать сильное усугубление здоровья.
Ожирение печени алкоголика или, по-научному, гепатоз, представляет собой патологию, в результате которой происходит трансформация нормальной и здоровой ткани печени в жировую, при этом, сильно поменяв структуру и состояние органа. Данное заболевание можно отнести к рефлексивной реакции организма на отрицательное действие ряда факторов, главным из которых считается токсическое свойство, вызванное распитием спиртосодержащей продукции. Поэтому частый прием спиртного ведет к быстрому обрастанию печени жиром, лечение которой будет трудным и долгим. Важно: помимо печени, при распитии алкоголя происходит поражение жиром и других органов, к примеру, поджелудочной железы.





Написать комментарий