Колени горячие и болят. Горячее колено
- Колени горячие и болят. Горячее колено
- Колени горячие и болят, что это. Причины
- Колени горячие и чешутся. По каким причинам может чесаться колено?
- Колени горячие и болят, что это значит. Боль в коленном суставе: причины, лечение, почему болят колени, что с этим делать, как и чем их лечить
- Видео боль в коленных суставах
Колени горячие и болят. Горячее колено
Если горят колени: возможные причины и что делать
Не всегда жжение и покраснение в области колена свидетельствует о наличии заболевания, иногда это неприятное ощущение является следствием чрезмерной нагрузки на ноги и проходит самостоятельно. Однако если человек испытывает дискомфорт в коленях на протяжении нескольких дней, то необходимо обратиться к врачу.
Причины
Установить причину данной патологии непросто, сделать это может только квалифицированный специалист на основе результатов анализов. Самыми распространенными причинами жжения и покраснения коленей являются:
- Травмы . Чаще всего горит колено от полученных травм: растяжение, трещины, повреждение связок, ушиб, вывих, перелом. Это происходит из-за действия медиаторов (особых веществ), которые провоцируют воспалительный процесс. При получении различных травм диагностировать состояние тканей довольно сложно, однако человеку необходимо оказать первую помощь. Требуется обездвижить конечности, использовать ортопедические приспособления (наколенники, эластичные бинты) и ледяные компрессы.
- Воспалительный процесс . Появление воспалительного процесса в колене также может являться причиной жжения, причем воспаляться могут любые части и ткани. Это происходит при таких заболеваниях, как артроз, артрит, бурсит, синовит, тендинит, киста Беккера. Для диагностики этих патологий необходимо сдать общий анализ крови, пройти рентгенографию, сдать пункцию суставной ткани.
- Заболевание сосудов . Варикозная болезнь, тромбофлебит, атеросклероз тоже могут способствовать тому, что колени начнут гореть. В таком случае жжение будет лишь дополнительным симптомом к основным проявлениям заболевания. Также гореть колени могут в подростковом возрасте из-за конфликта развития костных и сосудистых тканей.
- Дисфункция позвоночного столба . Если у человека не только горят колени, но и ощущается дискомфорт в области спины, это говорит о развитии заболеваний позвоночника. В таком случае необходимо сделать рентген и МРТ для определения нарушений и их тяжести.
- Обморожение . Появиться жжение в области коленей может и от долгого нахождения на морозе. В таком случае необходимо укутать ноги в шерстяную ткань и выпить теплого чая. При обморожении ни в коем случае нельзя растирать пораженные участки, чтобы не повредить кожу.
- Кожные заболевания . Бактерии и грибок также могут повлиять на появление жжения в коленях. При таких заболеваниях появляются специфические корочки на ногах.
- Дистрофические изменения . Причинами таких разрушений являются воспалительные травмы. При патологии сначала появляется хруст, боль и лишь в запущенных стадиях — жжение.
- Аллергия . Аллергическая реакция может возникнуть на медикаменты, продукты питания и другие факторы. Отличить ее от развития других заболеваний просто, поскольку помимо покраснения появляется сильный зуд.
- Полинейропатия . Это проявление различных интоксикаций таких, как алкогольная интоксикация, сахарный диабет. В таком случае кроме жжения появляется ломота в конечностях, понижается чувствительность.
- Недостаток витаминов в организме . Дисбаланс витаминов и минералов в организме также вызывает жжение в области колена, поскольку слабеют суставы и связки, нарушается питание суставов. К таким причинам можно отнести стресс, употребление алкоголя, курение, авитаминоз, сидячий образ жизни. Помимо жжения появляется скованность суставов, покраснение кожи.
Колени горячие и болят, что это. Причины
Установить причину данной патологии непросто, сделать это может только квалифицированный специалист на основе результатов анализов. Самыми распространенными причинами жжения и покраснения коленей являются:
- Травмы . Чаще всего горит колено от полученных травм: растяжение, трещины, повреждение связок, ушиб, вывих, перелом. Это происходит из-за действия медиаторов (особых веществ), которые провоцируют воспалительный процесс. При получении различных травм диагностировать состояние тканей довольно сложно, однако человеку необходимо оказать первую помощь. Требуется обездвижить конечности, использовать ортопедические приспособления (наколенники, эластичные бинты) и ледяные компрессы.
- Воспалительный процесс . Появление воспалительного процесса в колене также может являться причиной жжения, причем воспаляться могут любые части и ткани. Это происходит при таких заболеваниях, как артроз, артрит, бурсит, синовит, тендинит, киста Беккера. Для диагностики этих патологий необходимо сдать общий анализ крови, пройти рентгенографию, сдать пункцию суставной ткани.
- Заболевание сосудов . Варикозная болезнь, тромбофлебит, атеросклероз тоже могут способствовать тому, что колени начнут гореть. В таком случае жжение будет лишь дополнительным симптомом к основным проявлениям заболевания. Также гореть колени могут в подростковом возрасте из-за конфликта развития костных и сосудистых тканей.
- Дисфункция позвоночного столба . Если у человека не только горят колени, но и ощущается дискомфорт в области спины, это говорит о развитии заболеваний позвоночника. В таком случае необходимо сделать рентген и МРТ для определения нарушений и их тяжести.
- Обморожение . Появиться жжение в области коленей может и от долгого нахождения на морозе. В таком случае необходимо укутать ноги в шерстяную ткань и выпить теплого чая. При обморожении ни в коем случае нельзя растирать пораженные участки, чтобы не повредить кожу.
- Кожные заболевания . Бактерии и грибок также могут повлиять на появление жжения в коленях. При таких заболеваниях появляются специфические корочки на ногах.
- Дистрофические изменения . Причинами таких разрушений являются воспалительные травмы. При патологии сначала появляется хруст, боль и лишь в запущенных стадиях — жжение.
- Аллергия . Аллергическая реакция может возникнуть на медикаменты, продукты питания и другие факторы. Отличить ее от развития других заболеваний просто, поскольку помимо покраснения появляется сильный зуд.
- Полинейропатия . Это проявление различных интоксикаций таких, как алкогольная интоксикация, сахарный диабет. В таком случае кроме жжения появляется ломота в конечностях, понижается чувствительность.
- Недостаток витаминов в организме . Дисбаланс витаминов и минералов в организме также вызывает жжение в области колена, поскольку слабеют суставы и связки, нарушается питание суставов. К таким причинам можно отнести стресс, употребление алкоголя, курение, авитаминоз, сидячий образ жизни. Помимо жжения появляется скованность суставов, покраснение кожи.
Колени горячие и чешутся. По каким причинам может чесаться колено?
Зудящее чувство кожного покрова известно каждому человеку. Как правило, на появившийся симптом люди не обращают внимание, но зуд и шелушение могут указывать на развивающиеся заболевания в организме. Наряду с дискомфортом проявляются серьезные осложнения. Не стоит игнорировать, если чешутся колени. Следует выяснить причину недуга и начинать лечение.
Основные причины появления зудящего чувства
Не всегда причинами, вызывающими зуд, являются негативные процессы. В некоторых ситуациях желание почесать коленный сустав может возникнуть в результате обильного потоотделения, либо местной реакции кожи на шерстяную одежду или одеяло. В этом случае негативное явление наблюдается короткий промежуток времени. Но если зудят колени регулярно, при этом дискомфорт усиливается, то необходимо обратиться в клинику для прохождения обследования и выявления патологии в организме. Среди основных причин зуда находятся следующие факторы:
- Аллергическая реакция на медикаменты. Очень часто встречается от приема лекарств в виде побочного эффекта. Может наблюдаться даже в тех случаях, когда аллергия не указана в аннотации как побочный симптом;
- Укусы насекомых. Нередко зудящее чувство беспокоит детей в летний сезон. Следует обратиться в врачу, если начался отек в месте укуса и другие симптомы;
- Аллергия на средства гигиены. Некачественные гели для душа, мыло или крем могут вызвать шелушение и зуд;
- Шерстяная одежда вызывает неприятные чувства особенно в детском возрасте, когда кожный покров еще очень нежный;
- Реакция на экзотическую еду. Не стоит употреблять в больших количествах фрукты и овощи, которые выращены в тропических странах.
Не всегда явление встречается из — за местных причин. В некоторых случаях шелушатся и чешутся колени в результате различных заболеваний. Если не было укусов насекомых или аллергической реакции, то следует обратиться в клинику для выявления проблем в организме.
Общие заболевания, вызывающие зуд
Среди общих причин, из — за которых шелушатся и чешутся колени, находятся следующие заболевания:
- псориаз на коленях . При этом у человека сильно страдает иммунная система. Наблюдается активное сопротивление здоровых клеток с болезнью, при этом пациент ощущает сильный зуд;
- экзема. В местах поражения кожный покров становится очень сухим и грубым. Больной испытывает сильный зуд и раздирающее чувство;
- воспаление сухожилий. При такой патологии чешутся колени внутри;
- нейродермит. Развитие заболевания начинается с зудящего чувства, затем в пораженных местах появляются характерные пятна и прыщики;
- сахарный диабет. Патологический процесс проявляется сбоем в работе мелких капилляров и кровеносных сосудов. Очень часто в чувствительных местах тела на сгибах локтей и коленей начинается зудящее чувство;
- нарушение работы почек вызывает дискомфорт в подколенной области, в том числе и зуд.
Сопутствующие симптомы
Среди сопутствующих симптомов находятся следующие признаки:
- шелушение кожных покровов;
- потеря чувствительности в местах поражения;
- огрубение кожи;
- появление пятен и прыщей;
- покраснение колен;
- болевые спазмы (при воспаление сухожилий).
Если появились вышеперечисленные признаки, то необходимо обратиться за помощью к дерматологу. Чем раньше будет начато лечение, тем легче предупредить осложнения.
Методы решения проблемы
Избавиться от зудящего чувства можно только после выяснения причины недуга. Если негативная реакция связана с местными раздражителями, то следует исключить все факторы, вызывающие чесотку. В случае выявления какого — либо заболевания требуется назначение специальных медикаментов, которые выписывает исключительно врач после диагностики. Своевременная помощь поможет предупредить серьезные осложнения и распространение заболевания на другие участки кожи. Среди самых эффективных медикаментозных средств находятся следующие местные препараты:
- Акридерм. Мазь обладает противоотечным действием, избавляет от зуда. Отлично справляется с аллергической реакцией;
- Белодерм. Снимает воспаление, устраняет аллергию. Быстро снимает зудящее чувство;
- Синаф. Обладает антиэкссудативным, противоаллергическим и противовоспалительным действием.
Наряду с местными препаратами назначается физиолечение, среди которых находится электросон, электрофорез, фонофорез, УВЧ, рефлексотерапия. Хорошим действием обладают народные рецепты, например, купание в травяных или солевых ванночках, прием облепихи, а также использование мазей на основе ягоды, примочки из листьев алоэ или содовой мази, обработка пораженных частей настоем мелиссы. Для быстрого избавления от недуга рекомендуется не экспериментировать с лекарствами, а сразу обращаться к доктору за назначением терапии.
Колени горячие и болят, что это значит. Боль в коленном суставе: причины, лечение, почему болят колени, что с этим делать, как и чем их лечить
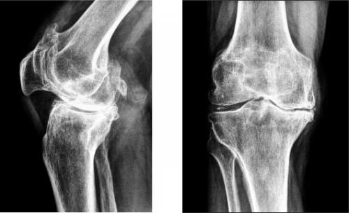
На изображении справа заметно сращение суставной щели.
Коленный сустав является одним из самых крупных и сложных. Ежедневно он подвергается огромной нагрузке, поэтому неудивительно, что периодически он перестает функционировать нормально.Если, причем боль практически постоянная, то необходимо обязательно. Такое патологическое состояние может быть сигналом о развитии одного из, деформирующего сустав. Естественно, необходимо научиться различать ситуации, когда визит к врачу очень нужен. Но отсутствиеили самостоятельная терапия может привести к осложнениям.
Строение коленного сустава
Важно знать! Врачи в шоке: "Эффективное и доступное средство от боли в суставах существует…"…
Чтобы лучше понять, почему болят колени, нужно разобраться с их анатомией. Итак, сочленение состоит из бедренной, большой берцовой кости и коленной чашечки. Две самые большие кости имеют по два выступа: внутренний и наружный мыщелки.

Все поверхности, которые соприкасаются друг с другом, покрыты гиалиновым хрящом. Благодаря ему обеспечивается подвижность коленного сустава, его амортизационные свойства. Вокруг этого соединения костей находится своеобразная капсула, изнутри выстланная синовиальным слоем. Она наполнена, благодаря которой производится питание сочленения, обеспечивается его подвижность.
Коленный сустав состоит не только из костей. Все его элементы объединяются крестообразными и коллатеральными связками, бедренными мышцами, сухожилиями. Коленная чашечка крепится к другим элементам посредством собственной связки. Для того чтобы колено двигалось, необходимо 6 синовиальных сумок. Питание и иннервация представленного сустава осуществляется посредством нервов и кровеносных сосудов, которые размещены в мягких тканях, окружающих сустав.
Боль в коленном суставе: причины появления
Если колено стало болеть, появился отек, подвижность ограничена, а дискомфорт является достаточно сильным, необходимо срочно обратиться к врачу. Если деструктивный процесс уже начался, то полностью вылечить колено будет невозможно. Однако остановить или замедлить его прогрессирование удастся.
Итак, можно выделить такие причины боли в коленном суставе:
- гонартроз . Он встречается практически в 50% всех случаев поражения сочленения. Патология развивается очень долго. Среди симптомов этой болезни можно выделить такие: колено не болит в состоянии покоя, однако человеку становится трудно, долго ходить,. Во время движения больной слышит, у него снижается подвижность. Со временем, вследствие изнашивания хряща, расстояние между костными поверхностями уменьшается. При этом появляются, нервы и сосуды сдавливаются, а само колено деформируется;

Гонартроз коленного сустава на рентгене.







Комментарии(1)
А я тоже пробовала много чего и могу сказать, что если суставы питать коллагеном, то постепенно и вот это вот жжение уходит, и боль тоже. Беру всегда качественный вариант-морской коллаген второго типа эвалар. Он самый лучший и с оптимальными дозировками.
Написать комментарий