Почему горячие колени ног. Горячее колено
- Почему горячие колени ног. Горячее колено
- Почему горячие колени после нагрузки. Причины
- Почему колени горячие. Почему горят и краснеют колени
- Почему горячие колени и болят. Боль в коленном суставе: причины, лечение, почему болят колени, что с этим делать, как и чем их лечить
- Видео вот Как можно использовать 2 яйца для «ремонта» суставов и боли в коленях
Почему горячие колени ног. Горячее колено
Если горят колени: возможные причины и что делать
Не всегда жжение и покраснение в области колена свидетельствует о наличии заболевания, иногда это неприятное ощущение является следствием чрезмерной нагрузки на ноги и проходит самостоятельно. Однако если человек испытывает дискомфорт в коленях на протяжении нескольких дней, то необходимо обратиться к врачу.
Причины
Установить причину данной патологии непросто, сделать это может только квалифицированный специалист на основе результатов анализов. Самыми распространенными причинами жжения и покраснения коленей являются:
- Травмы . Чаще всего горит колено от полученных травм: растяжение, трещины, повреждение связок, ушиб, вывих, перелом. Это происходит из-за действия медиаторов (особых веществ), которые провоцируют воспалительный процесс. При получении различных травм диагностировать состояние тканей довольно сложно, однако человеку необходимо оказать первую помощь. Требуется обездвижить конечности, использовать ортопедические приспособления (наколенники, эластичные бинты) и ледяные компрессы.
- Воспалительный процесс . Появление воспалительного процесса в колене также может являться причиной жжения, причем воспаляться могут любые части и ткани. Это происходит при таких заболеваниях, как артроз, артрит, бурсит, синовит, тендинит, киста Беккера. Для диагностики этих патологий необходимо сдать общий анализ крови, пройти рентгенографию, сдать пункцию суставной ткани.
- Заболевание сосудов . Варикозная болезнь, тромбофлебит, атеросклероз тоже могут способствовать тому, что колени начнут гореть. В таком случае жжение будет лишь дополнительным симптомом к основным проявлениям заболевания. Также гореть колени могут в подростковом возрасте из-за конфликта развития костных и сосудистых тканей.
- Дисфункция позвоночного столба . Если у человека не только горят колени, но и ощущается дискомфорт в области спины, это говорит о развитии заболеваний позвоночника. В таком случае необходимо сделать рентген и МРТ для определения нарушений и их тяжести.
- Обморожение . Появиться жжение в области коленей может и от долгого нахождения на морозе. В таком случае необходимо укутать ноги в шерстяную ткань и выпить теплого чая. При обморожении ни в коем случае нельзя растирать пораженные участки, чтобы не повредить кожу.
- Кожные заболевания . Бактерии и грибок также могут повлиять на появление жжения в коленях. При таких заболеваниях появляются специфические корочки на ногах.
- Дистрофические изменения . Причинами таких разрушений являются воспалительные травмы. При патологии сначала появляется хруст, боль и лишь в запущенных стадиях — жжение.
- Аллергия . Аллергическая реакция может возникнуть на медикаменты, продукты питания и другие факторы. Отличить ее от развития других заболеваний просто, поскольку помимо покраснения появляется сильный зуд.
- Полинейропатия . Это проявление различных интоксикаций таких, как алкогольная интоксикация, сахарный диабет. В таком случае кроме жжения появляется ломота в конечностях, понижается чувствительность.
- Недостаток витаминов в организме . Дисбаланс витаминов и минералов в организме также вызывает жжение в области колена, поскольку слабеют суставы и связки, нарушается питание суставов. К таким причинам можно отнести стресс, употребление алкоголя, курение, авитаминоз, сидячий образ жизни. Помимо жжения появляется скованность суставов, покраснение кожи.
Почему горячие колени после нагрузки. Причины
Установить причину данной патологии непросто, сделать это может только квалифицированный специалист на основе результатов анализов. Самыми распространенными причинами жжения и покраснения коленей являются:
- Травмы . Чаще всего горит колено от полученных травм: растяжение, трещины, повреждение связок, ушиб, вывих, перелом. Это происходит из-за действия медиаторов (особых веществ), которые провоцируют воспалительный процесс. При получении различных травм диагностировать состояние тканей довольно сложно, однако человеку необходимо оказать первую помощь. Требуется обездвижить конечности, использовать ортопедические приспособления (наколенники, эластичные бинты) и ледяные компрессы.
- Воспалительный процесс . Появление воспалительного процесса в колене также может являться причиной жжения, причем воспаляться могут любые части и ткани. Это происходит при таких заболеваниях, как артроз, артрит, бурсит, синовит, тендинит, киста Беккера. Для диагностики этих патологий необходимо сдать общий анализ крови, пройти рентгенографию, сдать пункцию суставной ткани.
- Заболевание сосудов . Варикозная болезнь, тромбофлебит, атеросклероз тоже могут способствовать тому, что колени начнут гореть. В таком случае жжение будет лишь дополнительным симптомом к основным проявлениям заболевания. Также гореть колени могут в подростковом возрасте из-за конфликта развития костных и сосудистых тканей.
- Дисфункция позвоночного столба . Если у человека не только горят колени, но и ощущается дискомфорт в области спины, это говорит о развитии заболеваний позвоночника. В таком случае необходимо сделать рентген и МРТ для определения нарушений и их тяжести.
- Обморожение . Появиться жжение в области коленей может и от долгого нахождения на морозе. В таком случае необходимо укутать ноги в шерстяную ткань и выпить теплого чая. При обморожении ни в коем случае нельзя растирать пораженные участки, чтобы не повредить кожу.
- Кожные заболевания . Бактерии и грибок также могут повлиять на появление жжения в коленях. При таких заболеваниях появляются специфические корочки на ногах.
- Дистрофические изменения . Причинами таких разрушений являются воспалительные травмы. При патологии сначала появляется хруст, боль и лишь в запущенных стадиях — жжение.
- Аллергия . Аллергическая реакция может возникнуть на медикаменты, продукты питания и другие факторы. Отличить ее от развития других заболеваний просто, поскольку помимо покраснения появляется сильный зуд.
- Полинейропатия . Это проявление различных интоксикаций таких, как алкогольная интоксикация, сахарный диабет. В таком случае кроме жжения появляется ломота в конечностях, понижается чувствительность.
- Недостаток витаминов в организме . Дисбаланс витаминов и минералов в организме также вызывает жжение в области колена, поскольку слабеют суставы и связки, нарушается питание суставов. К таким причинам можно отнести стресс, употребление алкоголя, курение, авитаминоз, сидячий образ жизни. Помимо жжения появляется скованность суставов, покраснение кожи.
Почему колени горячие. Почему горят и краснеют колени
Сосудистые патологии
Если колени горячие и болят, признак может указывать на проблемы с сосудами.
- Варикозное расширение вен. Заболевание характеризуется тяжестью в ногах и отечностью. В конце дня ноги опухают, появляется жжение в икрах и в области колен. Изначально неприятные ощущения беспокоят во второй половине дня, после обеда или после физических нагрузок. Лечение обязательно, в противном случае люди сталкиваются с серьезными последствиями.
- Сахарный диабет. Заболевание понижает уровень инсулина, который отвечает за усвоение и распределение глюкозы в крови между тканями организма. Повышенный уровень глюкозы приводит к повреждению мелких сосудов стопы. В дальнейшем патологический процесс распространяется на коленные суставы.
- Подагра. Заболевание связано с нарушениями обменных процессов. В крови повышается уровень мочевой кислоты, соли которой откладываются в тканях. Во время приступов отмечается сильная боль суставов, покраснение и отек. Ночью появляется сильный жар. Порой болевой синдром бывает настолько выраженным, что малейшее прикосновение вызывает жжение. Питьевой режим и правильное питание обязательны при подагре. В некоторых случаях принимают обезболивающие препараты и прикладывают к пораженным суставам холод, но такие меры являются временными. Для стабилизации состояния обязательно обследование и лечение.
- Вегето-сосудистая дистония. Заболевание вызвано нарушением функционирования нервной системы. Основные симптомы: головокружение, изменение артериального давления, мигрень, обморочные состояния. Нарушение теплообмена приводит к повышению температуры кожи. Иногда на ноге появляется красное пятно.
Источник: https://dietadlyapohudeniya.com/novosti-o-dietah/pochemu-goryachie-koleni-goryachee-koleno
Почему горячие колени и болят. Боль в коленном суставе: причины, лечение, почему болят колени, что с этим делать, как и чем их лечить
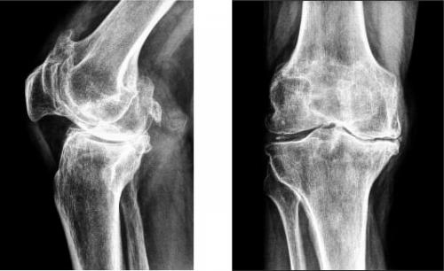
На изображении справа заметно сращение суставной щели.
Коленный сустав является одним из самых крупных и сложных. Ежедневно он подвергается огромной нагрузке, поэтому неудивительно, что периодически он перестает функционировать нормально.Если, причем боль практически постоянная, то необходимо обязательно. Такое патологическое состояние может быть сигналом о развитии одного из, деформирующего сустав. Естественно, необходимо научиться различать ситуации, когда визит к врачу очень нужен. Но отсутствиеили самостоятельная терапия может привести к осложнениям.
Строение коленного сустава
Важно знать! Врачи в шоке: "Эффективное и доступное средство от боли в суставах существует…"…
Чтобы лучше понять, почему болят колени, нужно разобраться с их анатомией. Итак, сочленение состоит из бедренной, большой берцовой кости и коленной чашечки. Две самые большие кости имеют по два выступа: внутренний и наружный мыщелки.

Все поверхности, которые соприкасаются друг с другом, покрыты гиалиновым хрящом. Благодаря ему обеспечивается подвижность коленного сустава, его амортизационные свойства. Вокруг этого соединения костей находится своеобразная капсула, изнутри выстланная синовиальным слоем. Она наполнена, благодаря которой производится питание сочленения, обеспечивается его подвижность.
Коленный сустав состоит не только из костей. Все его элементы объединяются крестообразными и коллатеральными связками, бедренными мышцами, сухожилиями. Коленная чашечка крепится к другим элементам посредством собственной связки. Для того чтобы колено двигалось, необходимо 6 синовиальных сумок. Питание и иннервация представленного сустава осуществляется посредством нервов и кровеносных сосудов, которые размещены в мягких тканях, окружающих сустав.
Боль в коленном суставе: причины появления
Если колено стало болеть, появился отек, подвижность ограничена, а дискомфорт является достаточно сильным, необходимо срочно обратиться к врачу. Если деструктивный процесс уже начался, то полностью вылечить колено будет невозможно. Однако остановить или замедлить его прогрессирование удастся.
Итак, можно выделить такие причины боли в коленном суставе:
- гонартроз . Он встречается практически в 50% всех случаев поражения сочленения. Патология развивается очень долго. Среди симптомов этой болезни можно выделить такие: колено не болит в состоянии покоя, однако человеку становится трудно, долго ходить,. Во время движения больной слышит, у него снижается подвижность. Со временем, вследствие изнашивания хряща, расстояние между костными поверхностями уменьшается. При этом появляются, нервы и сосуды сдавливаются, а само колено деформируется;

Гонартроз коленного сустава на рентгене.







Комментарии(1)
Чаще всего это воспалительные процессы конечно... Я гораздо реже со всем этим стала сталкиваться, когда начала принимать хонду дринк. Поэтому и рекомендую. Помимо хондропротекторов здесь в составе коллаген, который важен для питания суставов изнутри.
Написать комментарий