Артроз кисти рук, как лечить. Артроз суставов кисти руки лечение
- Артроз кисти рук, как лечить. Артроз суставов кисти руки лечение
- Артроз кисти рук, как лечить народными средствами. Причины и симптомы артроза кистей
- Артроз кисти руки лечение уколы. Стадии болезни и их симптомы
- Травматический артроз кисти рук и его лечение. Правильное лечение деформирующего артроза кистей рук
- Артроз кисти руки лечение мази и лекарства. Медикаментозная терапия
- Видео артроз кистей рук лечение
Артроз кисти рук, как лечить. Артроз суставов кисти руки лечение
Артроз кистей рук: как и чем его лечить
Искривление пальцев рук, образование на них узелков, сильная боль и невозможность согнуть ладонь в кулак – все это симптомы такого тяжелого заболевания, как артроз кисти. Эта патология – следствие необратимого процесса разрушения хрящевой ткани мелких суставов пальцев рук. Данная статья познакомит вас с признаками и способами лечения этой болезни.

Деформирующий артроз кисти
Статистика показывает, что это заболевание у женщин диагностируется в 10 раз чаще, чем у мужчин. Из-за понижения уровня эстрогена после наступления менопаузы, риск появления данной патологии повышается. Артрит и артроз – болезни, передающиеся «по наследству»: если в семье у кого-то из родственников по прямой линии были диагностированы заболевания суставов, то у вас возможность заболеть увеличивается.
Формы артроза кистей рук
В зависимости от признаков заболевания классифицируют несколько форм артроза. Для каждой из них необходимо подобрать свое лечение.
Деформирующий артроз бывает следующих видов:
- Узелковый : в межфаланговых сочленениях прощупываются плотные образования — узелки. В суставах дистальной части кисти размещаются узелки Гебердена, в проксимальных сочленениях – узелки Бушара. Патологические отклонения в кистях рук заметны визуально: появляются уплотнения в суставах и происходит деформация пальцев.
- Ризартроз : симптомы заболевания можно обнаружить в основании большого пальца руки. А также видоизменяются пястно-фаланговый и запястно-пястный кистевые суставы.
Одной из причин заболевания может стать травма кисти, в том числе вывих или перелом. У людей, занимающихся сельскохозяйственным трудом, артроз кисти встречается довольно часто. Заболевание чаще возникает у людей с наследственной предрасположенностью, а также у пациентов с ревматоидным артритом и псориазом. Патология может развиться и у людей с врожденными аномалиями развития костей и суставов.

Признаки артроза рук
Начальный этап болезни очень легко пропустить, так как артроз кистей рук в самом начале заболевания никак не проявляется, развивается медленными темпами. Очень часто человек не обращается к врачам и не обследуется, потому что даже не догадывается о наличии заболевания. Именно в этом и заключается главная опасность артроза: человек приходит к врачу, когда заболевание уже перешло в тяжелую стадию.
Процесс развития данного заболевания проходит несколько этапов, для каждой из которых характерны свои симптомы:
- Одним из симптомов первой стадии болезни является хруст, которым сопровождаются движения пальцев кисти. Появление ноющей или распирающей боли связано с продолжительной работой, переохлаждением рук, а также с магнитными бурями. Возможны отеки в области мелких суставов кисти. Эта степень артроза лечится в домашних условиях, без использования противовоспалительных препаратов. Назначаются физиотерапевтические процедуры. Также врач может порекомендовать курс хондропротекторов.
- На второй стадии заболевания может развиться полиостеоартроз. Боль становится постоянной, более интенсивной, часто возникает в ночное время. Человек ощущает пульсацию и жжение в пораженных суставах. На месте периартикулярного отека нарастает костная ткань, утолщаются суставы пальцев – происходит образование узелков Гебердена: это может произойти как на одной руке, так и симметрично на обеих кистях. То, что пальцы деформированы, заметно уже визуально. Пациенты жалуются на ограничение подвижности суставов кисти. На этой стадии восстановить хрящ уже невозможно, и лечение направлено на снижение скорости развития дегенеративных процессов.
- Для третьей степени заболевания характерны постоянные болевые ощущения, а также полное разрушение хрящевой ткани мелких суставов. Из-за соединения между собой узелков Гебердена пальцы искривляются и могут совсем перестать двигаться. Лечение медикаментами на этой стадии не приносит никакого результата.
Артроз кисти рук, как лечить народными средствами. Причины и симптомы артроза кистей
Артроз может поражать такие суставы кистей рук:
- межфаланговые, дистальные (дальние) и проксимальные (ближние), при этом происходит специфическая деформация пальцев, образование узелков Гебердена-Бушара;
- пястно-фаланговые;
- запястно-пястный сустав в основании большого пальца.
Одновременное поражение нескольких или всех суставов называется полиартрозом кистей, часто он развивается в составе генерализованного остеоартроза в сочетании с поражением суставов и межпозвонковых дисков позвоночника, крупных периферических суставов. Полиартрозу кистей женщины подвержены в большей мере, чем мужчины, вероятность развития остеоартроза пальцев рук выше после 40. Предрасположенность к этому заболеванию передается по наследству.
Остеоартроз кистей рук протекает с вовлечением всех тканей сустава. Сначала пересыхает, растрескивается, истончается суставный хрящ. Затем начинается перестройка костной ткани: она уплотняется, по краям образуются наросты – остеофиты, что проявляется утолщением суставов. Часто воспаляется суставная оболочка, изменяется состав синовиальной жидкости.

Разрушение хрящевых тканей суставов практически не сопровождается болевыми симптомами, поскольку они не иннервированы. Но когда оголяются суставные площадки костей, пронизанные нервными окончаниями, любые нагрузки на руки сопровождаются сильными болями. На ранней стадии патологии отмечается кратковременная тугоподвижность, которую легко преодолеть. Но когда дегенеративно-дистрофический процесс в суставах приводит к полному разрушению хрящей и деформации пальцев, подвижность суставов сильно ограничивается. Движения пальцев часто сопровождаются хрустом.
Причины артроза кистей разнообразны, но основная причина: смещение баланса процессов разрушения и синтеза хрящевой ткани в сторону разрушения. К этому могут привести:
- травмы кистей и микротравмирование хряща в результате регулярной избыточной нагрузки;
- недостаточное кровоснабжение и питание хрящевой ткани на фоне сосудистых заболеваний, обменных нарушений;
- эндокринные заболевания;
- дефицит питательных веществ в организме;
- запущенные воспаления суставов (артриты).
Артроз кисти руки лечение уколы. Стадии болезни и их симптомы
Артроз межфаланговых суставов кистей рук – хроническое заболевание. Полностью излечиться от него нельзя, но остановить прогрессирование разрушения хрящевой ткани поможет обращение к травматологу, ортопеду, ревматологу при первых симптомах артроза. Это редкая патология. Она считается «женской», что связано с нарушениями гормонального фона в период менопаузы.
Причинами разрушения межфаланговых суставов рук являются:
- наследственность;
- особенности организма;
- врожденные заболевания.
При вторичном артрозе:
- профессиональная деятельность;
- стрессовые ситуации;
- травмы фаланг пальцев;
- воспалительные процессы – артриты, синовиты;
- возрастные изменения.
В зависимости от проявления и развития артроза мелких суставов кистей, выделяют 3 степени болезни: I, II и III. Для каждой характерны свои признаки. На I стадии
- Разрушаются молекулы протеогликанов (особых белков), ведущие к «высушенности» хряща. Теряются амортизационные, двигательные свойства мелких суставов верхних конечностей. Соединительная ткань уменьшается, возникает трение и деформация костей фаланг пальцев.
- После пробуждения отмечается скованность движений, периодически возникают легкие боли, которые проходят сами по себе. Когда человек двигает пальцами, слышен хруст, который многие ошибочно называют «отложением солей».
На II стадии:
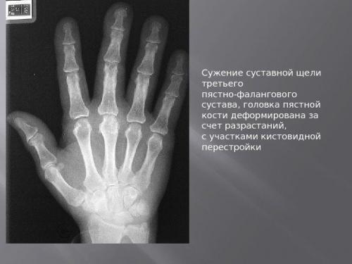
- Поверхность фаланг пальцев, оставшись без смазки, разрушается. Происходит «перерождение» костной ткани, образуются остеофиты – наросты, заметные на рентгеновском снимке.
- Болевые ощущения обостряются в ночное время, после выполнения любой работы. Хруст в пальцах наблюдается при любых движениях. Поражение мелких суставов способствует ограничению подвижности.
III стадия:
- Характеризуется неподвижностью суставов, которые сильно разрушены. Остеофиты наглядно видны, образуя узелковые наросты: проксимальные (сбоку сустава) – Бушара, дистальные – Гебердена.
- Боль становится резкой, постоянной. Неприятные ощущения не покидают даже в состоянии покоя. Периодически возникают спазмы мышц рук, создавая впечатление «вывернутости».
Травматический артроз кисти рук и его лечение. Правильное лечение деформирующего артроза кистей рук
, или – это хроническое заболевание, характеризующееся разрушением хрящевой ткани суставов с патологическим нарушением жидкостного синовиального вещества в суставной оболочке. Это распространенное заболевание: им поражено около 7,5 % населения земного шара и не зависит от пола.

Исключение составляет деформирующий артроз кистей рук, лечение которого чаще приходится проводить у женщин, чем у мужчин.
Механизм дегенерации суставов
Важно знать! Врачи в шоке: "Эффективное и доступное средство от АРТРОЗА существует…"…
По степени распространения деформирующий артроз межфаланговых суставов кистей рук уступает только деформирующему артрозу поясничного и шейного отделов и опережает, по статистическим показателям ВОЗ, неврологические заболевания коленного и/или тазобедренного сочленения.
Хроническая суставная патология пальцев рук – это множественное поражение кистевых суставов, свидетельствующее о серьезных нарушениях разной этиологии в опорно-двигательном костно-суставном сегменте скелетного образования.

Запущенная форма заболевания – это непослушные, негнущиеся грубые пальцы, болезненно сморщенная ладонная поверхность, узелковые образования на фалангах.
Деформирующий артроз кистей рук не позволяет людям производить привычные бытовые действия. Возникают трудности при письме, невозможно самостоятельно застегнуть пуговицы на одежде, крепко удержать рабочий инструмент или швейную иглу.
Чтобы дойти до такого клинического состояния, болезни необходимо пройти несколько стадий. На начальном этапе симптомы не доставляют человеку болевого дискомфорта. Дегенеративно-дистрофическое суставное разрушение пальцев рук наблюдается у людей пожилого и преклонного возраста.
Этот диагноз встречается у пациентов, переступивших возрастную отметку в 65-70 лет, гораздо чаще, чем у прочей возрастной категории. Из числа пациентов с деформирующим артрозом суставов кистей рук подавляющее большинство — это женщины. Однако существуют другие причинно-следственные факторы возможного развития клинической патологии.

Типичная рука пациента, поражённая артрозом начальных стадий.
Пленниками остеоартроза становятся:
- люди, чьи родители, дедушки или бабушки страдали. Главная причинно-следственная связь — генетическая наследственность;
- сельскохозяйственные работники и прочие категории тружеников, чья работа связана со значительной перегрузкой кистевого аппарата;
- люди, страдающие врожденными или приобретенными(в результате травм, суставных дефектов);
- больные хроническим, псориазом или сахарным диабетом;
- к образованиюу женщин причастен гормональный дисбаланс, когда снижается синтез эстрогенов яичниками.
Распространенные причинно-следственные факторы артроза, деформирующего суставы кистей рук:
- постоянное переохлаждение;
- часто повторяющиеся суставные травмы, микротравмы;
- результат действия токсических компонентов;
- недостаточность обменных функций, минерализации костно-суставной ткани;
- нарушения обменных функций в эндокринной системе.
Симптоматические признаки суставного зависят от его стадии. Начало течения болезни едва заметно, и человек годами не обращает внимание на дегенеративные изменения, а тем более не думает о лечении суставов. Деформирующий кисть артроз набирает свою силу и дает о себе знать, но уже в запущенной форме.
Стадии (фазы) клинической симптоматики
- I стадия. Начало болезни суставов выдает себя характерным хрустом или щелчком при сгибании/разгибании пальцев. Периодически возникающий болевой дискомфорт проявляется после активной физической работы или в момент магнитных бурь. Суставы начинают ныть, отдают тупой пронизывающей или распирающей болью. Острые приступы на начальной фазе заболевания нетипичны. Однако даже при этой степени клинической патологии можно наблюдать периодически возникающую отечность в межфаланговом сочленении;
- II стадия клинического развития болезненного состояния – это интенсивное нарастание болевого рефлекса, при котором ощущается жгучая пульсирующая. Частое беспокойство она доставляет человеку в ночное время. Там, где ранее наблюдалась припухлость, образуются костные наросты, илис симметричным расположением на обеих руках. В это же время отмечается заметная деформация в суставах пальцев рук, которая ограничивает подвижность;
- III (заключительная) стадия деформирующего артроза – это разрушение поверхностного слоя межфаланговых суставов. Костные разрастания увеличены, сливаются между собой. Искривленная деформация, срастание суставных концов сочленяющихся поверхностей приводят к полной неподвижности суставов. На этом этапе развития болезни отмечается выраженная болевая симптоматика постоянного характера.
Артроз кисти руки лечение мази и лекарства. Медикаментозная терапия
При появлении первых признаков дегенеративно-дистрофического заболевания кистей рук необходимо обратиться к травматологу или ревматологу, который подберет оптимальный курс медикаментозного лечения. Основу лекарственной терапии составляют противовоспалительные, обезболивающие и сосудорасширяющие препараты, а также хондопротекторы и поливитаминные комплексы, которые могут выпускаться в различных фармакологических формах – инъекций, таблеток, капсул, средств для наружного нанесения.
Противовоспалительные препараты
Применение противовоспалительных нестероидных препаратов направлено на уменьшение воспалительного процесса, а также болей, возникающих при движении пальцами рук. Чаще всего применяются:
- Нимесил;
- Диклофенак;
- Ибупрофен;
- Анальгин;
- Мовалис;
- Колхицин;
- Парацетамол.
Средняя продолжительность противовоспалительного курса составляет 7-14 дней. Одновременно с противовоспалительными медикаментами рекомендуется принимать препараты для защиты слизистой поверхности желудка – Фосфалюгель, Алмагель.
Также дополнительно используются средства для наружного нанесения с противовоспалительным эффектом – Диклофенак-гель, Вольтарен-гель.
Хондропротекторы
Хондропротекторы являются обязательным элементом в лечении остеоартроза кистей рук. Они представляют собой лекарственные препараты, предназначенные для улучшения структуры хрящевых элементов и являются искусственными аналогами основных компонентов, присутствующих в структуре хряща – глюкозамина и хондроитина.
- Хондроксид;
- Хондроитин;
- Терафлекс;
- Афлутоп.
Такие фармакологические средства применяются исключительно после противовоспалительной терапии, так как при активном воспалении хондропротекторы не являются эффективными. Лечение продолжительное и занимает не менее 3-6 месяцев.






Написать комментарий