Болит и щелкает плечевой сустав. Плечелопаточный периартрит
- Болит и щелкает плечевой сустав. Плечелопаточный периартрит
- Как снять боль в плечевом суставе. Как убрать боли в плече с помощью простого упражнения
- Синдром щелкающего плеча. «Синдром щелкающего пальца»: лечение в Израиле
- Артроз плечевого сустава. Лечение деформирующего артроза плечевого сустава
- Упражнения при хрусте в плече. Причины хруста в плечевом суставе
Болит и щелкает плечевой сустав. Плечелопаточный периартрит
Если болит и щёлкает плечевой сустав при поднятии руки, то при первичном осмотре травматолог сразу начинает подозревать плечелопаточный периартрит. Эта патология поражает связки, мышцы, сухожилия, синовиальные сумки. В соединительнотканных структурах происходят дегенеративно-дистрофические изменения, провоцирующие реактивный воспалительный процесс. Периартрит может возникать при микротравмировании, например, из-за разовых или регулярных чрезмерных физических нагрузок. Патологию нередко рассматривают, как осложнение шейного остеохондроза, спондилёза, выпячивания межпозвонкового сустава. Для острой формы плечелопаточного периартрита характерны следующие симптомы:
- хруст, щелчки, потрескивание при отведении, подъёме руки;
- боли, усиливающиеся в ночное время и при движении;
- увеличение размеров больного плеча по сравнению со здоровым из-за формирования воспалительного отёка;
- покраснение кожи над суставом;
- иррадиирущий характер боли.

Хорошая новость — сустав при этом не поражен, а только мягкие ткани.
На начальных стадиях, пока деструкцией не затронута большая часть тканей, патология хорошо поддается лечению, а прогноз на полное выздоровление — благоприятный. В терапии используются препараты из различных клинико-фармакологических групп. Это НПВС (Кетопрофен, Диклофенак, Нимесулид), миорелаксанты (Сирдалуд, Мидокалм, Баклосан), средства для улучшения кровообращения в плече (Пентоксифиллин, Никотиновая кислота, Эуфиллин). Для устранения острых болей проводятся блокады с новокаином и (или) глюкокортикостероидами. Практически всегда применяются компрессы с димексидом , способствующие рассасыванию отёков.
Как снять боль в плечевом суставе. Как убрать боли в плече с помощью простого упражнения

Возникшая боль в плечевом суставе приносит дискомфорт и неприятные ощущения. Она может возникнуть в результате малоподвижного образа жизни, вследствие воспалительных заболеваний или у людей среднего возраста. Плечевая боль приводит к ухудшению качества жизни и ограничению движений рук. Справиться с болью помогут простые и эффективные упражнения.
Как убрать боль в плече
Для нормального функционирования плечевого сустава выполняют следующие упражнения:
- Делаем упор руками о стену. Данная гимнастика поможет укрепить мышцы плеч, спины, повысить выносливость. Для выполнения упражнения спина и шея должны быть выпрямлены, руками упираются о стену. Затем сгибают локтевой сустав, позвоночник должен оставаться в начальном положении. В такой позе нужно оставаться пять секунд. Вернуться в начальную позу.

- Пожимание плечами. Упражнение хорошо растягивает плечевые мышцы. Положение стоя, спина прямая. Плечи нужно поднять вверх, пожимая ими, остаться в такой позе на пять секунд. Вернуться в начальное положение. Рекомендуется повторять упражнение не менее десяти раз.

- Круговые движения руками. Упражнение помогает восстановить суставы плеч и устранить болевые ощущения. Стопы ставят на ширину плеч. Делают плавные махи руками назад и вперед, постепенно ускоряя движения. Делают подходы по 50 раз 2 раза в день.

- Сгребание. Ноги на ширине плеч. Делают наклон вперед, руки разведены в стороны. Во время наклона спины, руками делают движения, как будто что-то сгребают. Упражнение нужно повторять не менее 30 раз дважды в день.

- Сведение лопаток. Простое упражнение, в котором нет особых усилий. Зарядка укрепляет мышцы плеч, делая их эластичными. Выполняется в положении стоя. Подбородок прижимают к груди, сводя лопатки, друг к другу. Задерживаются в такой позе на пять секунд. Выполняют 10 подходов.

- Руки за голову. Растяжку мышц плеча проводят при чрезмерной нагрузке. Для выполнения гимнастики отводят руки за голову. Затем поднимают их выше линии плеч. Делают упражнение в утренние часы не менее десяти раз.
- Растягивание мышц. Упражнение делают в положении стоя или сидя. Пальцы рук скрещивают над головой. Затем постепенно вытягивают руки насколько возможно. Повторяют упражнение 30 раз.

Любая физическая активность полезна для организма. Приведенные выше простые упражнения при правильном выполнении позволят быстро и эффективно избавиться от боли в плече. Сильные и постоянные боли в плечевом суставе являются поводом для обращения к специалисту.
Синдром щелкающего плеча. «Синдром щелкающего пальца»: лечение в Израиле
Доктор Рам Пальти
старший врач отделения хирургии кисти
Специалисты Центра хирургии кистей рук клиники Топ Ихилов имеют большой опыт лечения синдрома щелкающего пальца и используют только самые эффективные методы.
- В 50% случаев помогает впрыскивание кортизона (сильного противовоспалительного средства). Однако его использование ограничено тремя уколами.
- В 50% случаев требуется операция . Это одна из самых легких операций, она длится всего несколько минут и проходит амбулаторно (без госпитализации) под местной анестезией. Хирург делает небольшой разрез на распухшем пальце и удаляет кольцо А1, что дает больше пространства для движения сухожилия. Через 5-7 дней пациенту снимают швы, а уже на следующий день после операции пациент может использовать прооперированную руку для работы, не требующей особой нагрузки.
В Центре хирургии кистей рук израильской клиники Топ Ихилов с легкостью справляются с лечением «синдрома щелкающего пальца»: квалифицированные хирурги клиники быстро, без последствий и побочных явлений проводят несложную операцию, ежегодно возвращая тысячам пациентов возможность полноценного использования рук и избавляя их от болезненных ощущений.
Что такое "синдром щелкающего пальца"?
На рисунке видно строение кисти: окрашенные в белый цвет сухожилия проходят в пальцы внутри сухожильных (синовиальных) влагалищ, внутри которых производится синовиальная жидкость, снижающая трение сухожилия с окружающей средой. Основания синовиальных влагалищ называются «кольца А1», они крепят синовиальные влагалища к кости, в непосредственной близости от них проходят вены и нервы.
В результате опухания, сухожилие застревает, и, когда оно высвобождается в ходе дальнейшего движения, происходит щелчок, сопровождаемый болезненными ощущениями – это и есть «синдром щелкающего пальца».
Диагностика синдрома щелкающего пальца
«Синдром щелкающего пальца» - одна из самых распространенных проблем, с которыми сталкивается хирургия кистей рук, ее причиной является опухоль сухожилия в основании пальца. Проявляется синдром как боль и щелчок во время выпрямления или сгибания пальца. Он появляется сначала в утренние часы, потом проявляется все чаще в течение дня и, в конце концов, палец перестает выпрямляться и сгибаться до конца.
Диагностика «Синдрома щелкающего пальца» очень проста и не требует сложных обследований: она основывается на жалобах самого пациента и осмотре опухоли в основании пальца. Синдром щелкающего пальца совершенно бесполезно лечить с помощью противовоспалительных лекарств, массажей, иглоукалывания, шин и т.д.
Артроз плечевого сустава. Лечение деформирующего артроза плечевого сустава
Многим людям среднего и старшего возраста знакома ситуация, когда при выполнении простых и привычных действий в быту вдруг возникает болевой дискомфорт в области плеча. Становится трудно разговаривать по телефону, держа долго трубку на весу, достать любимую книгу с верхней полки без посторонней помощи практически невозможно, а чтобы вбить гвоздь высоко в стене, об этом вообще не стоит думать.

При обращении к врачу-ревматологу или участковому терапевту с жалобами на боль в плечевом суставе консультирующий специалист ставит неутешительный и «страшный» диагноздеформирующий артроз плечевого сустава. Лечение такого заболеваниядлительное, требует терпения и дисциплины от пациента, так как комплексная терапия предусматривает не только медикаментозное лечение, но и при необходимости оперативное вмешательство.
Какие признаки, симптомы и степени развития деформирующего артроза существуют, как избавиться от?
Что такое деформирующий артроз, почему он возникает?
Важно знать! Врачи в шоке: "Эффективное и доступное средство от АРТРОЗА существует…"…
Деформирующий артроз плечевого сустава – это хроническая форма дегенеративного разрушения суставного хряща, при котором наблюдается стойкое нарушение функциональной работоспособности плечевого пояса и верхних конечностей. Заболевание суставов плечевой области широко распространен, поражает людей старше 45-50 лет.

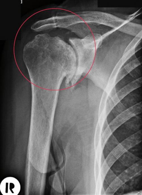
Диагноз на рентгене.
Однако наиболее сложные патологии наблюдаются у людей старшего и пожилого возраста, когда суставные хрящи со временем изнашиваются. Без своевременного лечения процесс дегенерации суставной поверхности еще более осложняется, что приводит к инвалидности.
Признаки деформирующего артроза левого или правого плечевого суставов проявляются в остром болевом дискомфорте на фоне истончения хрящевой поверхности. Основная причина образования поверхностного разрушения сустава, которые со временем деформируют и разрушают костную ткань.

Головка плечевого сустава, пораженная артрозом.
В сочленяющихся суставных элементах подвижного соединения плечевой кости с лопаткой появляются грубые костные наросты, которые со временем ограничивают степень свободы движений всего плечевого механизма.
Причинно-следственные факторы проявления деформирующего артроза плечевого сочленения:
- поражение суставов инфекционным или бактериальным агентом;
- генетическая предрасположенность человека к артрологическим патологиям;
- нарушение эндокринной системы;
- результат хронического поражения костно-суставной поверхности;
- мышечная слабость из-за недостаточного кровоснабжения;
- перенесенные травмы плечевого соединения;
- избыточная физическая нагрузка на плечи в течение длительного времени.
Болевая симптоматика и выбор терапии зависит от степени тяжести заболевания.
Стадии развития заболевания и их симптомы
Деформирующий артроз, при котором ограничивается свобода движений, появляется не сразу и не вдруг. Дегенерацию дистрофического разрушения суставной поверхности плечевого механизма можно разложить на три стадии.
Упражнения при хрусте в плече. Причины хруста в плечевом суставе
Причины хруста могут быть следствием таких факторов, как:
- неправильное питание;
- недостаточные физические нагрузки;
- чрезмерные физические нагрузки;
- различные инфекции;
- нарушение обмена веществ;
- травмы.
Хруст может быть вызван наследственным фактором. Также важно обратить внимание на возраст пациента. С возрастом опорно-двигательная система изнашивается и движения суставов чаще сопровождаются хрустом. «Хрустеть» плечо может после неправильного и несвоевременного лечения травм и других заболеваний.
Слишком активный образ жизни может привести к хрусту в плечевом суставе. Суставная сумка во время растяжения увеличивается, и пузырьки жидкости начинают сливаться и лопаться. В таком состоянии суставы хрустят особенно сильно. Частой причиной хруста среди молодежи врачи называют гипермобильность. Пока связки еще не окрепли, слишком резкие и частые движения вызывают болезненные щелчки и похрустывания. В подобном состоянии основную роль играет наследственный фактор, который невозможно устранить. Поэтому важно не перенапрягаться и не допускать растяжение связок плеча.
Спортсмены часто замечают хруст после особенно интенсивных тренировок. Причины в данном случае очевидны – это растяжение связок. Сустав в таком состоянии становится очень подвижным и начинает «хрустеть». В этом случае необходимо сделать перерыв, иначе могут возникнуть осложнения. Различные эластичные бинты, манжетки и ремни используются для фиксации сустава, чтобы ограничить подвижность и дать ему отдохнуть. Как правило, после отдыха сустав приходит в норму и хруст прекращается.
Если болит плечевой сустав и при движении слышны характерные звуки, необходимо провериться на наличие артроза. Артроз развивается медленно и часто приводит к осложнениям. При артрозе хрящевые пластинки теряют эластичность и функционирование нарушается.
Движения при артрозе сопровождаются хрустом и вызывают боль, подвижность сустава снижается, на месте поражения может возникнуть опухоль или деформация.











Написать комментарий