Гонартроз 3 степени коленного сустава лечение инвалидность. Патология гонартроза коленного сустава
- Гонартроз 3 степени коленного сустава лечение инвалидность. Патология гонартроза коленного сустава
- Гонартроз 3 степени лечение без операции. Классификация
- При каких болезнях суставов дают инвалидность. Ревматоидный артрит. Симптомы заболевания и его лечение
- Двусторонний гонартроз 2 степени инвалидность. Степени гонартроза
- В каких случаях дается инвалидность при гонартрозе. Как оформить группу инвалидности
- Как получить инвалидность при гонартрозе 3 степени. Что будет, если не лечить артроз колена?
- Деформирующий артроз коленного сустава 3 степени инвалидность. Лечение остеоартроза 3 степени без операции
- Гонартроз 4 степени. Артроз коленного сустава 4 степени: операция и восстановление
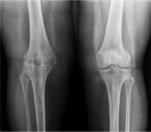
- Гонартроз коленного сустава 3 степени. Симптомы и признаки
Гонартроз 3 степени коленного сустава лечение инвалидность. Патология гонартроза коленного сустава
На начальной, первой стадии гонартроза вследствие развития патологического процесса в сосудах кровоснабжающих гиалиновый хрящ внутрикостно, суставные поверхности постепенно теряют присущие им характеристики. Они начинают высыхать, терять свою гладкую фактуру, обнаруживаются трещинки, из-за чего нарушается скольжение суставных поверхностей, они начинают цепляться друг об друга, увеличивая деффекты на поверхности. Гиалиновый хрящ дистрофируется теряя амортизационную функцию из-за постоянных микротравм.
На второй стадии гонартроза нарастают дегенеративно-дистрофические проявления: суставная щель сужается, суставные поверхности уплощаются, адаптируясь к усиливающимся нагрузкам. Часть кости, прилежащая к гиалиновому хрящу сустава становится плотнее, а по краям от нее возникают остеофиты, в виде разрастания костной ткани по форме напоминающей шипы. Капсула коленного сустава также претерпевает изменения, теряя свою эластичность. Жидкость внутри сустава становится гуще и более вязкой, изменяя свои свойства питания и смазки, что нарушает функцию сустава еще больше. Из-за нарушения питания, состояние гиалинового хряща еще больше усугубляется, он начинает распадаться, а в некоторых местах совсем пропадает. В следствие усиления трения, прогрессивно нарастает дегенерация коленного сустава, что приводит к третьей стадии гонартроза.
На третьей стадии гонартроза возникает выраженное ограничение амплитуды движения в суставе. Поверхности существенно подвергаются деформации, гиалиновый хрящ фактически не присутствует, кости, будто вдавливаются друг в друга.
Гонартроз 3 степени лечение без операции. Классификация
1.5 Классификация заболевания или состояния (группы заболеваний илисостояний)
1. По этиологии:
1) Первичный гонартроз (идиопатический) – возникает без каких-либо явных внешних причин.
2) Вторичный гонартроз – в анамнезе имеются указания на один или несколько факторов, приводящих к развитию заболевания. Наиболее часто это факторы травматического генеза, например, внутрисуставные переломы мыщелков бедренной и большеберцовой костей, а также надколенника, переломы диафизов бедренной или большеберцовой костей, сросшиеся с остаточной деформацией, повреждения хряща, менисков, связок коленного сустава, а также любые хирургические вмешательства на суставе, приводящие к посттравматическому гонартрозу . Реже встречаются воспалительные факторы – например, острые и хронические артриты любой этиологии, гемартрозы и другие патологические состояния, нарушающие нормальный гомеостаз синовиальной среды сустава (другой вторичный гонартроз). Поражаться может как один, так и оба коленных сустава.
2. По степени выраженности патологических изменений:
Рекомендуемой к использованию в клинической работе являются классификации по Н.С. Косинской (1961) и Kellgren & Lawrence (1963) . Существует также рентгенологическая классификации Ahlbäck (1968), которая в настоящее время используется значительно реже .
Классификация Н.С.Косинской (клинико-рентгенологическая)
I стадия – при рентгенографии определяется незначительное сужение суставной щели по сравнению со здоровым суставом и лёгкий субхондральный остеосклероз. Клинически заболевание проявляется болью, возникающей после или при ходьбе, особенно, при спуске и подъёме по лестнице, которая проходит в состоянии покоя, иногда боль может появляться после долгого пребывания на ногах, движения в суставе, как правило, не ограничены;
II стадия – сужение рентгенологической суставной щели в 2–3 раза превышает норму, субхондральный склероз становится более выражен, по краям суставной щели и/или в зоне межмыщелкового возвышения появляются костные разрастания (остеофиты). Клинически – умеренный болевой синдром, развивается ограничение движений в суставе, гипотрофия мышц, хромота, определяется лёгкая фронтальная деформация оси конечности;
III стадия – клиническая картина характеризуется стойкими сгибательно– разгибательными контрактурами, резко выраженными болями и хромотой, умеренной и выраженной вальгусной или варусной деформацией конечности, нестабильностью сустава и атрофией мышц бедра и голени. При рентгенографии выявляется значительная деформация и склерозирование суставных поверхностей эпифизов с зонами субхондрального некроза и локального остеопороза, суставная щель почти полностью отсутствует, определяются обширные костные разрастания и свободные суставные тела.
Классификация Kellgren & Lawrence (рентгенологическая)
0 – отсутствие изменений
I – сомнительная: незначительные остеофиты;
II – минимальная: чётко выраженные единичные остеофиты и минимальное сужение суставной щели;
III – умеренная: умеренное сужение суставной щели и множественные остеофиты;
IV – тяжёлая: выраженное сужение суставной щели с субхондральным склерозом, грубые остеофиты.
К недостаткам классификации Kellgren & Lawrence можно отнести то, что они не учитывают наличие и выраженность клинических симптомов остеоартроза, а только его рентгенологические проявления. Поэтому клинико-рентгенологическая классификация Н.С.Косинской является предпочтительной, позволяя выбрать наиболее эффективный способ лечения пациента исходя из комплексной характеристики стадии заболевания. Существенным недостатком рентгенографии является то, что она не позволяет визуализировать начальные патологические изменения в тканях сустава, в связи с чем, большинство больных начинают лечение уже только на стадии "органной недостаточности", когда репарационные возможности уже полностью утеряны .
Наиболее точно изучить состояние хряща, субхондральной кости, менисков, связок, синовиальной оболочки можно используя магнитно-резонансную томографию суставов (один сустав) (МРТ), которая позволяет выявить самые ранние структурные нарушения, до появления рентгенологических признаков заболевания . К сожалению, до настоящего времени отсутствует общепринятая МРТ классификации гонартроза. Только отдельные из нескольких опубликованных классификаций пока лишь ограниченно используются в научных исследованиях. Это объясняет отсутствие необходимой доказательной базы и не позволяет включить такие классификации в данные клинические рекомендации.
При каких болезнях суставов дают инвалидность. Ревматоидный артрит. Симптомы заболевания и его лечение
Ревматоидный артрит (его ещё называют прогрессирующий хронический полиартрит) — это опасное заболевание, в следствии которого происходит воспаление оболочки сустава. Это аутоиммунное заболевание, которое способно деформировать сустав и привести к инвалидности. Оно чаще всего обусловлено инфекцией, наследственностью или неправильным питанием. При хроническом полиартрите запускается процесс активизации иммунной системы , в следствии этого воспаляется синовиальная оболочка сустава, в результате воспаления образуется паннус. Это специальная соединительная ткань внутри сустава. В процессе развития заболевания паннус начинает разрастаться, со временем разрушает хрящ и может привести к инвалидности и полной потере подвижности сустава. Если внимательно прислушиваться к своему организму, несложно заметить первые признаки заболевания. Чаще всего это отеки суставов на пальцах рук, среднего и указательного пальца. Затем появляются боли и опухоль лучезапястного сустава. В одно и то же время начинают воспалятся мелкие суставы стоп ног . Далее поражаются крупные суставы , коленные, тазобедренные, плечевые. Боли очень схожи на боли при ревматизме . Разница в том, что при артрите суставы поражаются симметрично, одновременно с двух сторон. При ревматизме боли могут пройти через несколько дней, а полиартрит будет мучить очень долго. Сначала боли появляются при движении, но с развитием болезни могут ощущаться и при отдыхе. При резких стадиях заболевания поднимается температура, одновременно воспаляются все крупные суставы . Причём боли в суставах усиливаются утром, а к вечеру ослабевают. Так же утром большинство пациентов ощущают скованность и ограничение подвижности больных суставов . Если недуг проходит легко, скованность суставов может длится полчаса. А когда болезнь в тяжёлой стадии, ограниченная подвижность пораженного сустава может продолжаться до вечера, одновременно с общий слабостью, повышенной температурой, потерей аппетита, а в особо запущенных случаях тяжёлой депрессией . Самое опасное, если не лечиться, будут поражены внутренние органы: желудок , печень , сердце , почки . Все это очень опасно для любого человека. Исходя из всего вышесказанного, совершенно ясно, что лечение нужно начинать, как только появятся первые симптомы. В обратном случае появятся осложнения, которые приведут к негативным процессам в организме. Обратившись к врачу , вам будет назначено обследование, по результатам которого будит назначено медикаментозное лечение. Не в коем случае нельзя занимается самолечением. Весь процесс лечения болезни проводится под контролем врача . Одновременно с медикаментозным лечением нужно соблюдать рекомендации для нормальной нагрузки и работы суставов . Очень важно, чтобы больные суставы всегда были в работе, но они не должны быть перегружены. Не забывайте, что движение — это жизнь. Старайтесь меньше времени быть в неподвижном состоянии. Постель для больных должна быть средней жёсткости, желательно найти специализированные матрасы. Большим значением для профилактики и лечения хронического полиартрита является согласованная с врачом диета . Она обеспечивает необходимое поступление к нам в организм минеральных веществ и витаминов. Во время лечения следует уменьшить потребление сахара и соли, а ещё жиров. Желательно есть свежие фрукты и овощи, молоко, творог и другие молочные продукты, макаронные и хлебные продукты из цельного зерна. Когда болезнь отступит, для предотвращения рецидива нужно будет выполнять специальную лечебную гимнастику, которая должна быть разработана или согласована с лечащим врачом .Лечение ревматоидного артрита
Двусторонний гонартроз 2 степени инвалидность. Степени гонартроза
Статистические данные показывают, что гонартроз занимает лидирующие позиции среди прочих видов артроза, делающих из человека инвалидов. В медицине выделяют несколько степеней артроза. Их разделяют при помощи клинико-рентгенологической диагностики.
1 степень проявляется в виде незначительного нарушения подвижности сустава. Рентген показывает небольшое разрастание кости по краям впадины самого сустава, его щель сужена, имеются районы оссификации хрящевой ткани.
При артрозе первой степени бывают кратковременные суставные боли после длительных или чрезмерных физических нагрузок. Возникают они периодически. Рентген не показывает каких-либо изменений костно-хрящевого строения.
В 1983 году распределение по классам деформирующего артроза дополнилось. Так первая стадия стала называться преартрозом. Она характерна для женщин, которые имеют физические и профессиональные особенности: избыточный вес, наличие артроза у предков.
При артрозе коленного сустава 2 степени возникает грубый хруст при движении. Наблюдается общая невозможность передвигаться. При проведении рентгена видны большие области костных разрастаний, начинается субхондральный склероз, щель сустава сужается в два-три раза, по сравнению с показателями нормы.
На второй стадии ДОА возникает артроз компенсированного типа. У пациентов на рентгеновских снимках уже заметны признаки заболевания, однако ограничения подвижности и суставные боли не наблюдаются.

Гонартроз коленного сустава 3 степени характеризуется утратой полноценного движения. Остаются только покачивания пораженным суставом. Он очень сильно деформируется. После рентгена можно увидеть отсутствие суставной щели. Сама поверхность расширена из-за разрастания ее краев. Деформирование остро выраженное, имеется уплотнение обоих эпифизов.
Третья стадия , это артроз декомпенсированного вида, который может быть двух видов , с реактивным синовитом вторичного типа и с болевыми ощущениями.
В каких случаях дается инвалидность при гонартрозе. Как оформить группу инвалидности
Оформление инвалидности при артрозе коленного сустава составляет некоторые трудности, поскольку от человека требуется достаточно кропотливый труд для сбора необходимой документации. Предстоит сдача различного рода анализов, прохождение обследований и общение с сотрудниками медицинской комиссии. Персонал относится к новым больным, желающим получить степень нетрудоспособности довольно скептически, поскольку они зажаты во временные рамки и вся их деятельность строго регламентирована законом.
Основными этапами оформления группы является:
- Консультация участкового терапевта – доктору необходимо рассказать о своих намерениях получения инвалидности. Врач в плановом порядке обязан обратиться к членам медицинской комиссии;
- Приступить к сбору документации, из которых главным является больничный лист, выданный клиникой по месту проводимого лечения;
- Необходимо собрать результаты анализов, подтверждающие заболевания суставов и степень прогрессирования артроза.
Для подачи документов на инвалидность больному необходимо приложить следующие анализы и результаты обследования:
- Общий анализ крови и мочи;
- ЭКГ;
- Результаты флюорографии;
- Данные рентгена – при поражении коленного или голеностопного сустава требуются снимки в двух проекциях. Если отмечается коксартроз (разрушение тазобедренного сустава) – необходим снимок крестцового отдела позвоночного столба;
- Медицинские заключения консультаций хирурга, ортопеда, невролога и терапевта.
Даже после присвоения группы инвалидности потребуется ежегодное прохождение медицинской комиссии, где врачи будут оценивать стояние больного. Если в ходе обследования выясниться, что пациент способен нормально трудиться и вести привычный образ жизни – группа будет отменена, вне зависимости от того, что стало причиной болезни – остеоартроз или ревматоидный артроз.
Инвалидность при гонартрозе коленного сустава 2 степени, а также других суставов ног на этой стадии даётся очень редко. Подачу документов следует делать только в тех случаях, когда болезнь действительно ограничивает повседневную жизнь.
Как получить инвалидность при гонартрозе 3 степени. Что будет, если не лечить артроз колена?
При самолечении, несоблюдении рекомендаций врача или отсутствии лечения остеоартроз коленного сустава прогрессирует в среднем в 3-8 раз быстрее, чем при комплексной терапии. Если гонартроз протекает агрессивно, утратить способность нормального передвигаться больной может еще до наступления пенсионного возраста.
Особенно важно эффективное лечение артроза коленей в стадии обострения. Спровоцировать ее может сырая холодная погода, физический или эмоциональный стресс, аллергия, отравление, переезд в регион с другим климатом - словом, любая встряска для организма. Обострение артроза протекает с разрушением большого количества хондроцитов. В ответ на это организм вырабатывает ферменты, которые призваны переработать и удалить мертвые клетки. Однако, если их концентрация слишком высока, страдают и здоровые участки хряща - клеточные мембраны истончаются, на синовиальной выстилке сустава появляются очаги эрозии. Этот процесс, если его не остановить при помощи лечения артроза колена препаратами, может протекать в течение нескольких недель, а при хроническом стрессе, недосыпании или недостаточном рационе - постоянно.
В конечном итоге без лечения остеоартроз колена приводит к полному сокращению просвета суставной щели из-за разрастания остеофитов. Зазор, необходимый для нормального движения, смыкается, и больной не может согнуть ногу даже на 30-45°. Трудность представляет не только подъем по лестнице, но и попытка встать с дивана или обычное передвижение. Это состояние сопровождается болями, от которых не помогают обычные анальгетики. В подобных случаях остается один вариант лечения артроза коленного сустава - хирургический, с полной заменой суставной архитектуры на протез и последующей длительной реабилитацией. Но и в этом случае большинству больных не удается вернуться к полностью нормальной жизни.
Деформирующий артроз коленного сустава 3 степени инвалидность. Лечение остеоартроза 3 степени без операции
Лечение артроза 3 степени проводят с применением консервативных методов, с обязательной коррекцией образа жизни пациента и биомеханики сустава. Некоторые авторы считают, что третья стадия уже является показанием к эндопротезированию сустава. Как поступить, соглашаться на операцию или нет, существуют ли альтернативные способы помочь избежать или отложить хирургическое лечение, подскажут врачи в медицинском центре "Стопартроз".

С НАМИ ЛЕЧИТЬСЯ ВЫГОДНО!
Что такое остеоартроз?
Болезнь обычно поражает крупные суставы. В первую очередь страдает хрящевая ткань, затем происходит разрушение костной ткани и других суставных элементов. В большей степени патология наблюдается у людей старше 40 лет, что обусловлено замедлением восстановительных процессов, происходящих с возрастом. Очень часто болезнь развивается на фоне сопутствующей патологии (подагра, ревматизм),как последствие травм или вызвана наследственными факторами.
Комментирует врач-ортопед Холиков Тимур Вячеславович:
Артроз третьей степени характеризуется еще большим разрушением и истончением суставного хряща - менее 1,2 мм (норма 2,5-2,7мм). Суставная щель резко сужена, деформация сустава хорошо заметна. В самом суставе появляются множественные остеофиты и воспалительная жидкость.
Эта стадия считается запущенной формой и возникает по причине несвоевременного обращения пациента к врачу. Обойтись без операции на этом этапе еще представляется возможным, современные методы позволяют замедлить развитие болезни, устранить симптомы и вернуть подвижность сустава. Однако если запустить, то наступити тогда без оперативного вмешательства обойтись будет практически невозможно.
Симптомы остеоартроза 3 степени
Деформирующий артроз 3 степени достаточно сложно не заметить, изменения видны уже невооруженным глазом. Появляется деформация пораженного сустава, отек, движения в суставе значительно ограничены.
К основным симптомам можно отнести:
Постоянные боли. Пациенты жалуются на боли, которые не проходят даже в состоянии покоя и при отсутствии нагрузок.
Повышение локальной температуры в области сустава. Говорит о наличии воспаления в тканях.
Хруст и щелчки при движении в больном суставе.
Укорочение конечности и искривление ее оси.
Выраженное ограничение движений в суставе.
Гонартроз 4 степени. Артроз коленного сустава 4 степени: операция и восстановление
Артроза коленного сустава 4 степени не существует в медицинской классификации. Таким термином обозначают4 рентгенологической стадии. На полученных при проведении диагностического исследования снимках хорошо визуализируется полное сращение суставной щели колена. Для заболевания характерно поражение гиалинового хряща, которым покрыты поверхности костей, образующих сочленение. Ведущий — обездвиживание конечности ().

Анкилоз правого колена(на изображении слева).
Причеловек утрачивает способность к передвижению. Для диагностирования артроза проводится рентгенография, при необходимости —, КТ,. Консервативные методы лечения не используются в терапии заболевания столь высокой степени тяжести. Пациентам показана. Практикуются и другие виды хирургических вмешательств.
Механизм развития патологии
Коленное сочленение образуют бедренная и большеберцовая кости, поверхности которых покрыты хрящом. Он прочный, гладкий, плотно-эластичный. У человека с нормальным состоянием здоровья при движении структурные элементы колена без усилий смещаются относительно друг друга. Плавность скольжения обеспечивает, обладающая свойствами амортизатора. Под воздействием одного из негативных факторов нарушается кровообращение в суставе. В тканях возникает дефицит молекулярного кислорода, питательных и биологически активных веществ. Ухудшение кровоснабжения приводит к патологическим изменениям в гиалиновом хряще:
- его поверхность становится сухой, шершавой;
- при скольжении начинают отделяться мелкие, а затем и крупные частицы.
Синовиальная жидкость загустевает, утрачивает амортизационные свойства. Чтоб компенсировать нагрузку на колено, в полости сочленения происходит разрастание костных тканей, формируются.
При(4 рентгенологической) степени гиалиновый хрящ полностью разрушен. Ситуацию ухудшает сильная деформация костей. Они искривляются, вдавливаясь друг в друга, что делает невозможным любое движение в колене.
Причины и провоцирующие факторы
Артроз коленного сустава 4 степени бывает первичным и вторичным. Такая классификация позволяет наметить план терапии и избежать деструктивно-дегенеративного поражения других сочленений опорно-двигательного аппарата.
Причины первичного гонартроза до сих пор не установлены. У ученых есть только предположения, почему болезнь поражает именно этого пациента. Толчком к развитию патологического процесса становится естественное старение организма. Снижается выработка коллагена — строительного материала связок и сухожилий. Они теряют упругость, эластичность, растягиваются, что приводит к снижению их функциональной активности. Существуют версии, что преждевременное разрушение сустава провоцируют заболевания, протекающие на фоне нарушения обмена веществ, или расстройства кровообращения. Причины вторичного артроза хорошо известны:
- хронические—,,,,. Причем патология не обязательно локализована именно в колене. Разрушение любого сустава приводит к перераспределению нагрузок в опорно-двигательной системе, поэтому вторичныйможет развиться в любом сочленении;
- избыточные нагрузки. В США самая востребованная операция в клиниках —. Врачи связывают это с большим увлечением американцев бегом. В молодом возрасте можно не опасаться за состояние коленей, занимаясь спортом. Но после 40 лет следует разумно подходить к физическим нагрузкам, сократить количество и продолжительность тренировок;
- травмы — переломы,и сухожилий,, сильные. Именно травмирование становится причиной диагностирования артроза 3 степени у молодых людей. Даже после правильно проведенного лечения в суставных структурах могут формироваться рубцы, нарушающие функционирование колена. Постепенно это приводит к развитию деструктивно-дегенеративных изменений в тканях.
Гонартроз коленного сустава 3 степени. Симптомы и признаки
Гонартроз суставов развивается постепенно. Первые стадии болезни практически не тревожат пациентов, разве что незначительные боли при спуске или подъеме по лестнице. Более чувствительные пациенты указывают чувство скованности в суставах или подколенной области.
Отличительные симптомом гонартроза 1 степени является стартовый порог боли – это болевые ощущения, сопровождающие первые шаги после сидячего положения. Далее в процессе ходьбы боль сходит на нет или значительно притупляется. Ее новое появление будет ознаменовано какими-либо физическими нагрузками значительной тяжести.
Внешние симптомы гонартроза появляются редко. В основном к ним относится отечность. Сопровождение патологии скоплением жидкости приводит к синовиту. В данном случае сустав раздувается до шарообразного вида и движения становятся скованными, а больной ощущает тяжесть.
Каждая степень гонартроза имеет свои отличительные признаки. Гонартроз 2 степени отличает интенсивная боль при ходьбе и умеренных физических нагрузках. Прогрессирование гонартроза приводит к постепенному обездвиживанию сустава. При этом сгибание и разгибание коленного сустава приводит к хрусту и резким болевым ощущениям.
Гонартроз 3 степени сопровождается постоянным болевым синдромом. При этом движение сустава практически парализуется и больной не может распрямить ногу. Сустав увеличивается в размере и деформируется. Появляются внешние признаки патологии – неустойчивость походки, переваливающийся характер движений или отсутствие возможности ходить без дополнительной опоры.
У вас появились симптомы гонартроза?





Комментарии(1)
Страшно конечно осознавать, что теперь инвалидность... но тем не менее это тоже определённые преимущества, льготы, поэтому я не отказываюсь. Надо сказать двигаюсь я относительно ещё хорошо, мне физиопроцедуры, ЛФК помогают. Ещё конечно принимаю хонду мсм. Это самый важный хондропротектор, который обновляет хрящевую ткань и улучшает подвижность.
Написать комментарий