Мезаденит у детей симптомы лечение и диета. Мезаденит у детей, лечение и диета
- Мезаденит у детей симптомы лечение и диета. Мезаденит у детей, лечение и диета
- Мезаденит психосоматика. Психология разбираемся в себе и в людях
- Мезаденит и аппендицит. Острый мезаденит или аппендицит
- Мезаденит у детей клинические рекомендации. Клиническая картина
- Мезаденит диета. Диета при мезадените у детей: лечение
- Мезаденит на узи. Диагностика
Мезаденит у детей симптомы лечение и диета. Мезаденит у детей, лечение и диета
Лечение мезаденита консервативное: ребенку назначается покой, антибактериальная (на 5-7 дней) и противовирусная терапия, антигистаминные и спазмолитические средства, физиотерапевтические процедуры (повторные курсы УВЧ, парафиновых аппликаций, УФО). Успешному лечению способствует ликвидация очагов инфекции (кариозные зубы, хронический тонзиллит ). По мере необходимости комплексное консервативное лечение мезаденита повторяют. При легком течении лечение не проводится, а при наличии гнойного — показано оперативное вмешательство.
При тяжелом течении заболевания у ослабленных детей и отсутствии лечения возможны осложнения в виде абсцесса брюшины, перитонита , спаечной болезни или кишечной непроходимости .
Во всех случаях показано лечение мезаденита у детей диетой. Всем пациентам рекомендуется соблюдение диеты ( Стол №5 ), которая предусматривает:
- дробный прием пищи;
- щажение желудочно-кишечного тракта, что достигается отказом от жареных, жирных, острых и копченых блюд;
- приготовление блюд путем отваривания, тушения или запекания;
- ограничение тугоплавких животных жиров;
- ограничение простых углеводов (конфеты, сладости, варенье, кондитерские изделия), сдобы и выпечки в рационе;
- исключение грубых продуктов, которые стимулируют перистальтику кишечника (бобовые, редька, белокочанная капуста, редис, грибы, обилие свежих овощей).
При наличии запоров в рацион вводятся отварные натертые овощи с растительным маслом (свекла, морковь, тыква), распаренный чернослив, курага и инжир.
Мезаденит психосоматика. Психология разбираемся в себе и в людях
Психосоматика: воспаление лимфоузлов
Психосоматика
Как нам известно, лимфатическая система играет в человеческом организме важную роль. Именно она очищает кровь и клетки органов от отходов и мусора, а также защищает от вирусов и болезнетворных бактерий. Так, при попадании в организм чужеродных бактерий, лимфоузел в определенной части тела начинает вырабатывать большое количество лимфоцитов, которые и бросаются на защиту.
При этом, если лимфоциты определенного лимфоузла не успевают по какой-либо причине очищать свой участок, то микробы накапливаются и начинается воспаление и увеличение лимфоузла (лимфоденит). Лимфедемой (или лимфостазом) называется отек рук или ног, а также органа. Если же зрелые клетки лимфоцитов перерождаются, то начинается опухолевое заболевание (лимфогранулематоз).
Психосоматика лимфоузлов

При рассмотрении психосоматики лимфоузлов мы будем исходить из указанных выше двух функций: очищение и защита. Возникает вопрос: Что заставляет лимфоузел вырабатывать большое количество лимфоцитов, да так, что увеличивается лимфоидная ткань, если видимых физических «бактерий-врагов» нет?
Значит, есть невидимые глазу причины психологического характера. Например, если страдает функция очищения, то это может указывать на то, что человек не хочет или не может очистить внутренний мир от определенных негативных переживаний.
Психологические причины воспаления лимфоузлов
Итак, рассмотрим негатив, от которого хочет освободиться лимфосистема:
- стойкое ощущение, что человек не может себя защитить от кого-то (неприятных людей) или чего-то (неприятных событий, отношений) – тогда срабатывает функция защиты в определенном лимфоузле, и он переполняется ненужными лимфоцитами. Ненужными – потому что они не нужны физике (но психика нуждается в защите);
- чувство вины из-за не соответствия человека чьим-то ожиданиям. Если ему приходится делать, как «надо», «должен» (или быть таким-то), чтобы поддерживать хорошие отношения в определенной сфере – реагирует соответствующая часть тела.
- бывает так, что человек не видит смысла в требуемых от него действиях, но вынужден их выполнять. Тогда в лимфососудах возникает застой и появляется отек, так как человек (ребенок) внутри «бастует», восстает. Этот негатив, опять же, накапливается и вызывает такую реакцию тела.
Негативные переживания можно сравнить с болезнетворными бактериями, которые могут блокировать функции лимфососудов. Так, часто человек перестает себя ценить, начинает жить в недовольстве собой (это может быть из-за неудач на работе, в семье, в учебе, творчестве и т.д.) – и в теле в определенном месте срабатывает защитный сигнал.

У детей часто воспаляются лимфоузлы на шее от того, что надо говорить то, что требуют и «не говорить лишнего». Они, в силу своей природной искренности и наивности, не могут понять «почему?» И в душе возникает противоречие, которое блокирует возможность говорить увеличением лимфоузла в горле.
Часто у взрослых детей возникает (не без помощи родительского давления) сильный (смертельный) стыд, что не оправдал их надежды. Это может привести к лимфогранулематозу (или лимфома Ходжкина).
Каково исцеление?
Если причина – в негативных переживаниях человека, то, безусловно, физическое исцеление придет только через душевное. Необходимо посмотреть на кажущуюся негативной ситуацию с другой стороны. Например, даже если Вы, взрослый человек, вынуждены с Вашей точки зрения выполнять бессмысленную работу, то попробуйте посмотреть на нее с точки зрения того, кто поручил это делать. Поняв его, Вы поможете себе избавиться от негатива и недуга.
Помните: это Вы «окрашиваете» своими эмоциями восприятие ситуации в негативное или позитивное. Каждая Ваша негативная реакция работает на ухудшение состояния лимфы и организма в целом. Во что «окрашивать» — выбор за Вами, но за последствия Вы тоже сами будете отвечать.
Надеюсь, эта статья послужит кому-то подсказкой.
Д
Мезаденит и аппендицит. Острый мезаденит или аппендицит
Термин «острый мезаденит» подразумевает наличие воспаленных увеличенных лимфатических узлов в брыжейке тонкой кишки, особенно в области терминального отдела подвздошной кишки. Эти лимфатические узлы нередко являются причиной возникновения болей в животе и симптомов, напоминающих острый аппендицит. Является ли острый мезаденит самостоятельным заболеванием или это проявление каких-либо других заболеваний, остается неясным. Нередко во время операции, выполняемой у пациента с подозрением на острый аппендицит, обнаруживается, что червеобразный отросток не изменен, других заболеваний, вызывающих боли в правых нижних отделах живота, не выявлено, а имеется только мезаденит. Диагностике острого ме-заденита до операции способствуют анамнестические сведения о наличии инфекционных заболеваний верхних дыхательных путей или среднего отита, поскольку эти заболевания могут вызывать боли в животе. Иногда при остром мезадените наблюдается рвота. Нередко отмечается высокая лихорадка, как правило, не соответствующая находкам при объективном обследовании. Изредка развивается генерализованная аденопатия. Боли у пациентов с острым мезаденитом, как правило, начинаются в правом нижнем квадранте живота и крайне редко в околопупочной области. Болезненность при пальпации может быть не столь четко локализована, как при остром аппендиците. Иногда при остром мезадените отмечаются относительный лимфоцитоз и умеренный сдвиг лейкоцитарной формулы влево, что нередко трактуется как «вирусный синдром». Напротив, лейкоцитоз может свидетельствовать о наличии острого аппендицита. Диагноз острого мезаденита чаще всего ставят во время операции, когда обнаруживают неизмененный червеобразный отросток.
Мезаденит у детей клинические рекомендации. Клиническая картина
Клинические критерии диагностики
увеличение и болезненность регионарных лимфоузлов, локальная гиперемия и отек, симптомы интоксикации.
Cимптомы, течение
Острый лимфаденит
Острый лимфаденит начинается с боли в области пораженных регионарных узлов и их увеличения. При серозной и гиперпластической формах увеличенные лимфатические узлы хорошо прощупываются, болезненность их незначительна, общие явления могут отсутствовать или быть маловыраженными. При переходе процесса в нагноение боли увеличиваются, в области регионарного лимфатического узла появляется плотное болезненное уплотнение, повышается температура тела, исчезает аппетит. Малозаметная в начале заболевания покраснение и отек в этой области резко увеличиваются, контуры лимфатического узла утрачивают четкость, узел становится малоподвижен (периаденит).
Больной щадит пораженную область, т. к. движения усиливают боли (особенно сильной болезненностью отличается паховый гонорейный лимфаденит). Вскоре в области инфильтрата (воспалительного образования) начинается флюктуация вследствие гнойного расплавления лимфатического узла. Если абсцесс лимфатического узла не будет вскрыт вовремя, гной прорывается наружу или просачивается в глубину и по окружности, в процесс вовлекаются окружающие ткани. Возникает аденофлегмона, признаками которой служат быстро нарастающий плотный и болезненный инфильтрат в подкожной и межклеточной клетчатке, иногда с отдельными очагами размягчения, а при гнилостных формах - с газовой крепитацией (похрустыванием). Возможен переход нагноительного процесса на соседние лимфатические узлы. Высокая температура, учащенный пульс, озноб указывают на прогрессирующее гнойное воспаление. Общие явления особенно выражаются при стрептококковой и гнилостной инфекции.
Хронический лимфаденит
Хронический неспецифический лимфаденит развивается при инфекции, вызванной возбудителями со слабой способностью к заражению при инфицированной (импетигинизированной) экземе у детей, при кожных проявлениях экссудативного диатеза, пиодермии и др. Причиной развития заболевания также могут быть повторные слабые инфекционные раздражения регионарного лимфатического аппарата вследствие частых поверхностных повреждений кожи в связи с профессиональной травмой. Нередко хронический лимфаденит связан с хроническим воспалением слизистой носа или хроническим отитом. Хронический лимфаденит специфического происхождения обычно имеет туберкулезное происхождение и поражает чаще шейные лимфатические узлы; реже бывает универсальное поражение лимфатических узлов различных областей тела, включая бронхиальные и забрюшинные. Хроническое увеличение лимфатических узлов наблюдается при врожденном и приобретенном сифилисе. Клиническая картина хронического лимфаденита характеризуется увеличением лимфатических узлов различной консистенции и подвижности. При неспецифической инфекции преобладают отдельные, отчетливо прощупывающиеся подвижные увеличенные лимфатические узлы, обычно безболезненные при прощупывании. При туберкулезе чаще прощупываются пакеты средней плотности узлов; при сифилисе увеличенные лимфатические узлы вследствие склероза отличаются большей плотностью.
Мезаденит диета. Диета при мезадените у детей: лечение

Когда речь заходит о любой болезни, особенно, если она связана с нарушение работы внутренних органов и систем, лечение и диета неразрывно связаны. Одни системы лечебного питания подразумевают щадящие способы приготовления пищи, употребление легко усваиваемых блюд, другие способствуют как можно большему насыщению организма всеми (или некоторыми) определенными нутриентами.
Диета при мезадените у детей относится к таким, которые объединяют в себе оба параметра. Задача медиков и родителей: организовать такое питание, чтобы организм детей имел силы на борьбу с болезнью и, при этом, продолжил расти и развиваться.
Причины мезаденита и его симптомы
Мезаденит – это заболевание, чаще всего встречающееся у детей и подростков и означающее воспаление лимфатических узлов в складке брюшины, поддерживающей тонкий кишечник у задней стенки живота (это называется брыжейка).
Лимфатических узлов в брюшной полости много, около 500, и они являются барьером, преграждающим распространению инфекции в организме. Но если инфекция попала туда, то эти лимфатические узлы воспаляются сильно, вплоть до нагноения.
Иногда инфекция развивается из-за различных патологических процессов в самом кишечнике, например, из-за попадания туда энтеровирусов, сальмонелл, иерсиний, кампилобактерий и других вирусов. Иногда лечение мезаденита становится необходимым после вирусных и бактериальных заболеваний дыхательных путей, из-за стрептококковой или стафилококковой инфекций.
Также возможными причинами хронического мезаденита у детей и взрослых могут быть хронические воспаления бронхов, почек, желчного пузыря, миндалин (ангина).
Поставить ребенку диагноз мезаденит иногда представляется сложным, поскольку его нужно дифференцировать с некоторыми другими заболеваниями. Так, симптомы мезаденита могут напоминать острый аппендицит.
Ребенок чувствует боль в области вокруг пупка и выше, иногда боль растекается по всему животу. Боль расплывчатая, тупая, не проходящая, усиливающаяся при движениях и смене положения тела.
Наблюдая особенности боли в животе у ребенка, врач может отличить аппендицит от мезаденита.
Помимо специфической боли, другими симптомами мезаденита являются сухость во рту, иногда тошнота и рвота, диарея. Температура повышена и может быть 38–39 градусов. Сердцебиение и дыхание учащенные. Такие симптомы характерны для острых отравлений, которые, в любом случае, необходимо срочно лечить.
Поскольку воспаление лимфатических узлов является очень серьезным симптомом, родители должны провести комплексное обследование ребенка с целью уточнения диагноза, исключения других заболеваний и правильного лечения, ведь само нагноение лимфатических узлов в брюшине может привести к перитониту.
Лечение мезаденита
Для лечения инфекции, скорее всего, понадобится антибиотик. Его подбирает врач, учитывая, на основе анализа крови, чувствительность организма ребенка к микроорганизмам. Чаще всего, это антибиотики типа фторхинолонов или цефалоспоринов.
При острой боли в животе показан прием спазмолитических или обезболивающих средств. Для дезинтоксикации организма проводят соответствующую терапию. Другие виды лечения назначает врач, учитывая природу мезаденита и исключая другие заболевания брюшины.
Иногда мезаденит может пройти сам по себе, в других случаях может понадобиться физиотерапевтическое лечение и даже оперативное вмешательство. Обязателен прием витаминов и иммуностимуляторов.
Детям при мезадените предписывают постельный режим или максимальное ограничение физической активности.
Диета при мезадените
В острый период заболевания у ребенка снижен аппетит, но ему все же необходимо достаточное питье. В период выздоровления или в период ремиссии детям с мезаденитом показана диета № 5.
Лечение диетой предусматривает подбор щадящих продуктов, их приготовление, а также обязательный запрет на некоторую еду. Давать еду ребенку нужно дробными порциями и почаще.
К списку запрещенных продуктов относятся:
- жирная еда (мясная, молочная, с кремом);
- острая и приправленная еда (с перцем, с горчицей, с соусами, с кетчупом и майонезом);
- некоторые виды овощей (щавель, капуста, шпинат, сельдерей);
- шипучие напитки;
- кислые ягоды и фрукты.
Меню при мезодените у детей должны составить супы с овощным отваром, курица, говядина, каши, бобовые, творог, вчерашний пшеничных хлеб, компот (предпочтительно из сухофруктов), чай.
Мезаденит на узи. Диагностика
Диагноз выставляется на основании:
- опроса больного (или его родителей) на предмет жалоб, перенесённых заболеваний и пр.;
- осмотра ребёнка — оценивается цвет кожных покровов (при мезадените он бледный), язык (влажный, обложен белым налётом), частота пульса (увеличенная), дыхание (учащённое), температура тела (повышенная). При прощупывании живота наблюдается болезненность около пупка и в правой подвздошной области (в правом нижнем углу живота), но симптомов напряжения брюшины нет. Это отличает мезаденит от аппендицита. Иногда можно прощупать увеличенные лимфатические узлы брыжейки, при надавливании может открыться рвота.
Из дополнительных методов обследования используют:
- Анализ крови клинический – увеличение количества лейкоцитов и повышенная скорость оседания эритроцитов (СОЭ).
- Биохимический анализ крови назначается с целью выявить патологию почек или печени.
- Анализ кала на скрытую кровь позволяет выявить кровотечение в желудочно-кишечном тракте.
- Анализы кала и венозной крови на гельминты назначаются для исключения гельминтозов.
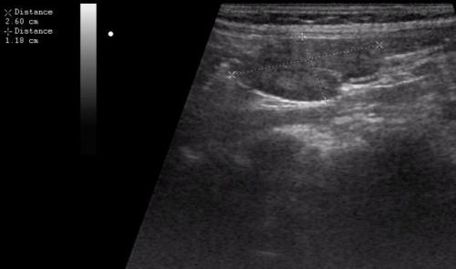
- УЗИ-диагностика и рентгенологическое исследование. Эхопризнаками мезаденита будут увеличение брыжеечных лимфоузлов свыше 5 мм в диаметре.
Эхопризнаком мезаденита является увеличение мезентериальных лимфоузлов - Компьютерная томография используется в более тяжёлых случаях.
- Лапароскопия — малоинвазивный метод, при котором через два небольших разреза в животе вставляется специальный прибор (лапароскоп), который «снимает» живот изнутри и выводит картинку на экран монитора. С помощью этого прибора можно проводить и микрооперации. Лапароскопия позволяет точно установить диагноз, снизив количество оперативного вмешательства у детей.
Эхопризнаком мезаденита является увеличение мезентериальных лимфоузлов




Написать комментарий