Синдром Хилл-Сакса. Перелом шейки плеча реабилитация — клиника, прогнозы и исходы травмы
- Синдром Хилл-Сакса. Перелом шейки плеча реабилитация — клиника, прогнозы и исходы травмы
- Как определить вывих плеча или растяжение. Чем отличается вывих от растяжения?
- Дефект Хилл-Сакса лечение. Классификация
- Повреждение Хилл-Сакса рентген. Восстановление при повреждениях Хилла-Сакса
- Перелом Хилл-Сакса мрт. Что такое повреждение Хилл-Сакса
- Повреждение Хилл-Сакса кт. Компьютерное томографическое исследование плечевого сустава
Синдром Хилл-Сакса. Перелом шейки плеча реабилитация — клиника, прогнозы и исходы травмы
Перелом шейки плеча — тяжелая травма, однако, нередко пациентами она ошибочно воспринимается в созвучии с дефектами шейки бедра. Анатомически данные образования представляют тонкий костный фрагмент, соединяющий дистальный и проксимальный конец. Однако, восстановительное лечение и реабилитация имеют принципиальные отличия, и прогноз. А именно, при переломах шейки плеча хирургическая операция технически более проста, по частоте осложнений благоприятна.
П овреждение Хилл-Сакса
Так же к переломам плечевого сустава можно отнести повреждение Хилл-Сакса — это дефект головки плечевой кости. Данное повреждение является осложнением вывиха плеча.
Механизм травмы: в момент вывиха плеча происходит ограниченный вдавленный перелом плечевого сустава, а конкретнее, головки плечевой кости. Если этот дефект большого размера, то он может в дальнейшем способствовать рецидивирующей нестабильности плеча в положении приведения и наружной ротации (круговое движение) плеча (под стабильностью сустава понимают способность головки плечевой кости оставаться в правильном месте и не вывихиваться, то есть не смещаться относительно суставной впадины лопатки под действием внешней силы).
Симптомы:
- При первом вывихе в плечевом суставе в большинстве случаев ощущается боль, которая по большей части обусловлена разрывом мягких тканей (связок, капсулы, отрывом суставной губы).
- Ограничение движений. Поскольку головка плечевой кости находится не в суставе, то движения весьма ограничены. Чаще возможны качательные движения, плечо как бы «пружинит», а не двигается.
- Деформация области плечевого сустава.
- Может возникнуть нарушение чувствительности кисти, предплечья или плеча. Онемение или чувство мурашек, иголок может быть обусловлено как повреждением/сдавлением нервов смещенной головкой плечевой кости, так и в результате отека, который при первичном вывихе возникает практически всегда.
Диагностика : для уточнения диагноза и определения тактики лечения необходимо выполнение МРТ плечевого сустава.
Методику лечения и реабилитации при переломах плечевого сустава смотрите на нашем сайте в разделах « Лечение » и « «.
В нашем центре врачи травматологи — ортопеды осуществляют консультации по заболеваниям опорно-двигательного аппарата, индивидуально определяют и назначают методику лечения и дальнейшей реабилитации.
Как определить вывих плеча или растяжение. Чем отличается вывих от растяжения?
Среди травм конечностей наиболее распространенными считаются вывих и растяжение. Оба повреждения имеют похожие признаки — боль, отечность, ограниченность движений. Однако растяжение никогда не сопровождается деформацией сустава, что характерно для вывиха. Точный диагноз может поставить только врач, поэтому после несчастного случая следует немедленно обратиться к специалисту.

Сравнительная характеристика вывиха и растяжения
Как возникают травмы?
Оба повреждения появляются вследствие сильного механического воздействия на сустав, падения или прямого ушиба конечности. Здоровые сухожилия удерживают кости в суставной сумке. При растяжении суставные связки сильно натягиваются и происходит микронадрыв соединительной ткани. В результате подвижное соединение ослабевает и кости смещаются. Травмы могут сопутствовать друг другу или возникать отдельно. Вследствие нарушенияущемляются нервы и кровеносные сосуды, что провоцирует возникновение гематомы, отека и ухудшение чувствительности.
Как распознать повреждения: симптомы
Отличить вывих отможно по симптомам, которые приведены в таблице:
| Клинические признаки | Растяжение | Вывих |
| Боль | Присутствует | |
| Отек и гематома | ||
| Подвижность | Частично или полностью отсутствует | Отсутствует |
| Трудоспособность | ||
| Деформация | Отсутствует | Ярко выражена |
| Повышение температуры | Местное | Местное или всего тела, как реакция на боль |
| Патологическая подвижность | Отсутствует | Может наблюдаться |
| Изменение длины конечности | Выражена |
Как проводится лечение?

При растяжении связок или ушибе можно воспользоваться мазью Вольтарен.
Если человек немного потянул связки или слегка ушиб руку или ногу, назначается консервативная терапия. Следует обеспечить конечности покой, наложить фиксирующую повязку и воспользоваться следующими мазями:
- «Вольтарен»;
- «Троксевазин»
- «Кетонал»;
- «Фастум гель»;
- «Долгит».
При вывихе, не осложненном разрывом связок или переломом, проводится вправление и накладывается гипс или ортез. Сложные травмы требуют хирургического вмешательства. Врач сшивает связки, ставит на место смещенные кости сустава, зашивает рану, накладывает стерильную повязку и закрепляет конечность фиксатором.
Восстановительная терапия
Прогревать больное место можно не раньше 3-х дней после получения травмы, а заниматься лечебной гимнастикой допускается только при полном отсутствии дискомфорта в поврежденных тканях.

Чтобы конечность быстрее восстановилась после травмы, врач может назначить больному электрофорез.
Растянутые связки и вывихнутые суставы рекомендуется лечить следующими физиотерапевтическими процедурами:
- электрофорез;
- фонофорез;
- лечение лазером;
- магнитотерапия;
- прогревание озокеритом или парафином;
- УВЧ-терапия.
А также рекомендуются сеансы массажа и лечебная гимнастика. Такое комплексное лечение дает следующие результаты:
- восстанавливает подвижность конечности;
- нормализует метаболизм в поврежденных тканях;
- улучшает кровообращение;
- снимает боль, отек и воспаление;
- препятствует появлению осложнений.
Как отличить растяжение от вывиха?
Растянутые связки никогда не провоцируют деформацию сустава, как это бывает при вывихе. А также не наблюдается изменения оси конечности, что характеризует смещение подвижного соединения. Определить оба вида травмы можно по присутствию крови в суставе. При ушибе или дисторсии кровоизлияние в полость сустава наблюдается нечасто, а при вывихе — часто. Если человек только потянул соединительную ткань, то пассивные движения сохранены. В случае нарушения конгруэнтности сустава двигательные функции отсутствуют.
Дефект Хилл-Сакса лечение. Классификация
Согласно предложенной полвека назад классификации, принято различать основные фрагменты для определения характера травмы головки кости:
- диафиз;
- малый бугорок;
- большой бугорок;
- суставной фрагмент.
К смещениям отломков относят наклоны под углом более 45°, сдвиги на расстояние свыше 1 см. Тяжесть травмы возрастает при переломах 2−4 фрагментов. Сложность закрытого вправления существенно возрастает с увеличением отломков и костных сдвигов. Особое место занимают переломовывихи, отделение головки плеча.
В разнообразии переломов различают формы:
- закрытые — поверхностные ткани без повреждений;
- открытые — нарушена целостность кожного покрова, подкожных тканей.
Перелом плечевой головки у детей имеет особенности на каждом возрастном этапе:
- до 5 лет — переломы (Салтера-Харриса I типа, отрыв эпифиза) являются следствием родовых патологий, фактов насилия;
- 5−10 лет — метафизарные переломы вследствие утончения в период роста кортикального слоя по причине быстрого роста;
- старше 11 лет — переломы Салтера-Харриса II типа.
Правильная репозиция костей в период созревания скелета очень важна для профилактики последующих нарушений.
Перелом Хилл Сакса головки плечевой кости возникает вследствие травматической нестабильности после вывихов, других повреждений сустава. В группе риска данной патологии находятся лица преклонного возраста. Перелом головки плечевой кости у пожилых людей с несвоевременным лечением приводит к инвалидности.
Повреждение Хилл-Сакса рентген. Восстановление при повреждениях Хилла-Сакса

Дегенеративно – дистрофические патологии, выраженные в изменении головки мыщелка, вследствие различных повреждений – вывиха или импрессионного перелома классифицируются, как повреждение Hill-Sachs. Стабилизация плечевого сустава при повреждении Hill-Sachs требует серьезного подхода к лечению.
Особенности стабилизации плечевого сустава при повреждениях Hill-Sachs, во многом зависят от механизма проявления патологий. Это могут быть:
- продавливание вмятины в головке мыщелка розеткой лопатки (суставная впадина), в результате неудачного переката головки при вывихе;
- перелом плечевого сустава, в результате дефекта головки (данная патология проявляется, как осложнение вывиха);
- перелом самой розетки лопатки;
- перелом розетки в нижне-передней части;
- деструктивные изменения поверхностного слоя хрящевого валика на краю суставного ложа;
- вывих плеча .
Выраженность заболевания зависит от количества травматических воздействий и периода, прошедшего с момента поражения.

Стабилизация плечевого сустава при повреждении Hill-Sachs – Диагностика
Диагностика проводится с целью уточнения характера патологий, для определения тактики лечебного процесса. Применяется:
- рентгенологический метод или КТ;
- исследование методом МРТ, в разной проекции;
Cимптоматика
Стабилизация плечевого сустава и ее необходимость, при повреждении Hill-Sachs обусловлена характерной симптоматикой:
- болевыми проявлениями вследствие разрыва мягких тканей, связочного аппарата, капсульного поражения или отрывом участков хрящевого валика;
- ограничением движений, обусловленных смещением сустава со своего естественного ложа. Как следствие – плечо пружинит, но не двигается.
- деформацией плечевой области;
- нарушением чувствительности плеча, предплечья и кисти;
- Образованием отечности плеча, вызванным передавливанием нервных окончаний, в результате смещения мыщелка.

Лечение повреждений Hill-Sachs
Лечение патологий направлено на восстановление структурной целостности. Применяется метод артроскопического шва, аналогичный SLAP (CЛЭП) поражениям, метод рефиксации или сочетание их с методом открытого реконструктивного укрепления. Выбор операции для каждого пациента индивидуален. Зависит от глубины дегенеративно-дистрофических нарушений.
При глубоких дистрофических изменениях - на лопаточной поверхности и суставной капсулы, значительных дефектов на головке плеча применяется открытый способ оперативного вмешательства под общим наркозом.
Связавшись с представителем «Русско-Германского медицинского центра», Вы можете без посредников решить любые ортопедические проблемы.
Перелом Хилл-Сакса мрт. Что такое повреждение Хилл-Сакса
Повреждение либо субхондральный перелом Хилл-Сакса —, дефект головки плечевой кости, являющийся последствием вывиха плеча.
Справка. В переводе с греческого субхондральный означает «находящийся под хрящом».
Собственно под хрящевой тканью находится субхондральная кость, которая для хряща является опорой. Именно эта кость и хрящ подвергаются поражению.
Во время травмирования происходит ограниченный вдавленный (импрессионный) перелом головки кости плеча. Механизм повреждения заключается в следующем: из-за травматического воздействия головка кости перекатывается через острый край суставной впадины лопатки.

Если дефект обширный, то в дальнейшем он может способствовать рецидивирующей нестабильности плеча в положении отведения и вращения руки.
Справка . Данное явление впервые описали американские врачи Хилл и Сакс в 1940 году.
В результате анатомических исследований плеча при вывихах, врачи пришли к таким выводам:
- При данном травмировании зачастую происходит импрессионный перелом головки кости.
- Длительное нахождение кости в неестественном положении способствует увеличению дефекта.
- При повторных вывихах наблюдается увеличение дефекта.
Импрессионный перелом Хилл-Сакса является самым частым дефектом при заднем вывихе. Согласно статистике он возникает в 86% случаев.
Выраженность патологического состояния зависит от тяжести травматического воздействия, а также времени, прошедшего с момента травматизации.
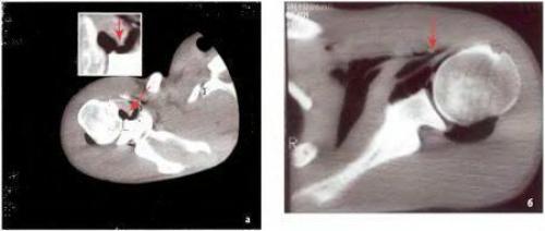
Повреждение Хилл-Сакса кт. Компьютерное томографическое исследование плечевого сустава
4560 0
Использование в травматологии и ортопедии компьютерной томографии с диагностической целью имеет более чем двадцатилетнюю историю. Первые сообщения отечественных авторов относятся к началу 80-х годов XX века.
Тем не менее, несмотря на оснащенность многих клиник страны современными компьютерными томографами, в отечественной литературе отсутствуют сообщения об исследованиях патологии плечевых суставов. В зарубежной литературе имеются единичные сообщения о том, что этот метод информативен при оценке состояния суставной губы и изменений в ней при передней и многонаправленной нестабильности плечевого сустава.
Плечевые суставы исследуют в поперечном сечении, симметрично на стороне поражения и здоровой стороне. Перед исследованием в полость обоих плечевых суставов из переднего доступа вводят по 20 см3 медицинского кислорода. Пациента укладывают на спину на подвижный лифт компьютерного томографа. Руки пациента располагаются вдоль тела, кисти рук помещены под бедра ладонями вверх.
Общий вид компьютерного томографа и положение больного во время выполнения исследования
Рентгеноморфологическое изображение травматической нестабильности плечевого сустава на компьютерных томограммах (КТ) выглядит как отделение суставной губы с капсулой плечевого сустава от суставного отростка лопатки с заполнением этого дефекта рентгеноконтрастным кислородом.
На КТ в аксиальной проекции признаки повреждения Банкарта — отрыв суставной губы от переднего края суставного отростка лопатки (1)
На КТ в аксиальной проекции признаки костного повреждения Банкарта — отрыв суставной губы от переднего края суставного отростка лопатки с костным фрагментом
На КТ в аксиальной проекции признаки дегенеративного истончения суставной губы и растяжения капсулы плечевого сустава
Повреждение Хилла-Сакса в виде импрессионного перелома задненаружного отдела головки плечевой кости
Таким образом, при компьютерной артропневмотомографии у всех пациентов с острой передней посттравматической нестабильностью плечевого сустава выявляют рентгенологические признаки классического повреждения Банкарта — отрыв суставной губы с капсулой плечевого сустава от передненижнего края суставного отростка лопатки и повреждения Хилла-Сакса — хондральный или компрессионный перелом головки плечевой кости.
Рентгенологические признаки рецидивирующей нестабильности отличаются большей поливалентностыо, что объясняется хроническим характером патологии. Так, у пациентов с большим количеством вывихов дегенеративные изменения в суставной губе и капсуле показывают высокую диагностическую точность выявленных рентгенологических признаков, что подтверждается при последующем артроскопическом исследовании плечевого сустава у данных пациентов.





Комментарии(1)
К сожалению мне пришлось тоже с этим столкнуться... реабилитация была очень долгой. Кости потом ещё долго болели. Поэтому восстанавливаюсь до сих пор. Кстати теперь обязательно жевательный Витамин D3 2000ме +К2 от эвалара принимаю, поскольку укрепляет кости. И соответственно это профилактика подобных явлений, которые могут возникнуть снова.
Написать комментарий