Перелом хилла сакса. Непростой перелом головки плеча испортит не только отпуск
- Перелом хилла сакса. Непростой перелом головки плеча испортит не только отпуск
- Повреждение хилл сакса кт. Компьютерное томографическое исследование плечевого сустава
- Подвывих плеча. Что представляет собой подвывих: причины возникновения
- Как определить вывих плеча или растяжение. Чем отличается вывих от растяжения?
- Хилл-сакса мрт.
- Вывих плечевого сустава. Механизм получения травмы
Перелом хилла сакса. Непростой перелом головки плеча испортит не только отпуск
Особенностью повреждения проксимального эпифиза является фактор дробления или сплющивания под интенсивным давлением, вследствие сильного удара. Травма встречается нечасто, но представляет собой серьезную внутрисуставную патологию — перелом головки плеча. В большей степени ей подвержены пожилые люди.
Механизм травмы
Надбугорковый перелом часто образуется вследствие автодорожных происшествий, как сопутствующее повреждение в сочетании с переломами шейки плеча.
Провоцирует травму падение, при котором отведенная рука в опоре приводит к деформации или множественным переломам головки плечевой кости.
Существуют дополнительные факторы риска:
- прыжки в воду с высоты;
- производственные происшествия;
- спортивные повреждения вследствие физического давления на плечевой сустав;
- активный отдых с экстремальными занятиями (катание на роликах, коньках, прыжки с парашютом и др.).
Внутрисуставной перелом головки плечевой кости возникает у лиц с остеопорозом вследствие ударов даже небольшой механической силы.
Классификация
Согласно предложенной полвека назад классификации, принято различать основные фрагменты для определения характера травмы головки кости:
- диафиз;
- малый бугорок;
- большой бугорок;
- суставной фрагмент.
К смещениям отломков относят наклоны под углом более 45°, сдвиги на расстояние свыше 1 см. Тяжесть травмы возрастает при переломах 2−4 фрагментов. Сложность закрытого вправления существенно возрастает с увеличением отломков и костных сдвигов. Особое место занимают переломовывихи, отделение головки плеча.
В разнообразии переломов различают формы:
- закрытые — поверхностные ткани без повреждений;
- открытые — нарушена целостность кожного покрова, подкожных тканей.
Перелом плечевой головки у детей имеет особенности на каждом возрастном этапе:
- до 5 лет — переломы (Салтера-Харриса I типа, отрыв эпифиза) являются следствием родовых патологий, фактов насилия;
- 5−10 лет — метафизарные переломы вследствие утончения в период роста кортикального слоя по причине быстрого роста;
- старше 11 лет — переломы Салтера-Харриса II типа.
Правильная репозиция костей в период созревания скелета очень важна для профилактики последующих нарушений.
Перелом Хилл Сакса головки плечевой кости возникает вследствие травматической нестабильности после вывихов, других повреждений сустава. В группе риска данной патологии находятся лица преклонного возраста. Перелом головки плечевой кости у пожилых людей с несвоевременным лечением приводит к инвалидности.
Симптомы
Выраженным проявлением перелома головки плеча является резкая боль, ограничения в первой фазе движения плечом.
Другие признаки повреждения:
- крепитация;
- нарушение округлости плечевой области;
- укорочение плеча, нарушение оси;
- появление гематомы;
- парестезия;
- отечность поврежденной области.
Сдавливание сосудисто-нервных пучков приводит к распространению экхимозов (синяков) на дистальную область руки, грудную клетку.
Первая помощь и диагностика
Предупреждение травматического шока — важное мероприятие при оказании первой помощи для избежания многочисленных осложнений. Купирование боли проводят приемом анальгетиков, внутримышечными уколами анестетиков (без наркотических средств).
Излишние движения пострадавшего могут стать причиной усугубления повреждения. Место перелома важно обездвижить подручными средствами, по возможности специальной шиной для транспортной иммобилизации.
В процедурах диагностики проводят оценку нервно-мышечного состояния, капиллярного кровоснабжения, сохранность функций плечевого сустава. Переломы головки плечевой кости чаще всего сопровождаются повреждениями шейки плеча.
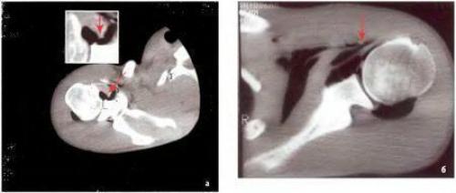
Повреждение хилл сакса кт. Компьютерное томографическое исследование плечевого сустава
4560 0
Использование в травматологии и ортопедии компьютерной томографии с диагностической целью имеет более чем двадцатилетнюю историю. Первые сообщения отечественных авторов относятся к началу 80-х годов XX века.
Тем не менее, несмотря на оснащенность многих клиник страны современными компьютерными томографами, в отечественной литературе отсутствуют сообщения об исследованиях патологии плечевых суставов. В зарубежной литературе имеются единичные сообщения о том, что этот метод информативен при оценке состояния суставной губы и изменений в ней при передней и многонаправленной нестабильности плечевого сустава.
Плечевые суставы исследуют в поперечном сечении, симметрично на стороне поражения и здоровой стороне. Перед исследованием в полость обоих плечевых суставов из переднего доступа вводят по 20 см3 медицинского кислорода. Пациента укладывают на спину на подвижный лифт компьютерного томографа. Руки пациента располагаются вдоль тела, кисти рук помещены под бедра ладонями вверх.
Общий вид компьютерного томографа и положение больного во время выполнения исследования
Рентгеноморфологическое изображение травматической нестабильности плечевого сустава на компьютерных томограммах (КТ) выглядит как отделение суставной губы с капсулой плечевого сустава от суставного отростка лопатки с заполнением этого дефекта рентгеноконтрастным кислородом.
На КТ в аксиальной проекции признаки повреждения Банкарта — отрыв суставной губы от переднего края суставного отростка лопатки (1)
На КТ в аксиальной проекции признаки костного повреждения Банкарта — отрыв суставной губы от переднего края суставного отростка лопатки с костным фрагментом
На КТ в аксиальной проекции признаки дегенеративного истончения суставной губы и растяжения капсулы плечевого сустава
Повреждение Хилла-Сакса в виде импрессионного перелома задненаружного отдела головки плечевой кости
Таким образом, при компьютерной артропневмотомографии у всех пациентов с острой передней посттравматической нестабильностью плечевого сустава выявляют рентгенологические признаки классического повреждения Банкарта — отрыв суставной губы с капсулой плечевого сустава от передненижнего края суставного отростка лопатки и повреждения Хилла-Сакса — хондральный или компрессионный перелом головки плечевой кости.
Рентгенологические признаки рецидивирующей нестабильности отличаются большей поливалентностыо, что объясняется хроническим характером патологии. Так, у пациентов с большим количеством вывихов дегенеративные изменения в суставной губе и капсуле показывают высокую диагностическую точность выявленных рентгенологических признаков, что подтверждается при последующем артроскопическом исследовании плечевого сустава у данных пациентов.
Подвывих плеча. Что представляет собой подвывих: причины возникновения
Подвывих плеча представляет собой частичный вывих плечевого сустава. Получить такую травму можно вследствие неудачного падения на плечо или получения удара в указанную часть тела, резкий рывок или толчок, раскачивание на турнике, при выполнении упражнений на тренажерах в спортивном зале и т.д. Но получить указанную травму можно и при наличии патологических заболеваний. Также послужить причинами подвывиха могут слабые связки и сухожилия, или проблемы с функционированием суставной сумки.
Головки плечевой кости при подвывихе смещаются, что приводит к ограничению нормальной функциональной деятельности плечевого сустава. Вследствие этого, человек, получивший данный вид травмы, не может полноценно двигать плечом, так как при любой двигательной активности в данной области испытывает боль.
Так как болезненные ощущения при подвывихе являются терпимыми, травмированный человек может до последнего списывать такой синдром на приобретение растяжения связок, на какой-либо удар и т.д., поэтому сеанс к врачу часто затягивается до последнего в надежде, что все пройдет, и скоро плечо будет функционировать так же, как и прежде. Но затягивание обращения к специалисту грозит развитием дополнительных осложнений у пациента, например, таких, как нарушение кровообращения в травмированной части тела, и во всей руке в целом, а также нарушением передачи нервных импульсов внутри поврежденного плеча и в соответствующей верхней конечности.
Как определить вывих плеча или растяжение. Чем отличается вывих от растяжения?
Среди травм конечностей наиболее распространенными считаются вывих и растяжение. Оба повреждения имеют похожие признаки — боль, отечность, ограниченность движений. Однако растяжение никогда не сопровождается деформацией сустава, что характерно для вывиха. Точный диагноз может поставить только врач, поэтому после несчастного случая следует немедленно обратиться к специалисту.

Сравнительная характеристика вывиха и растяжения
Как возникают травмы?
Оба повреждения появляются вследствие сильного механического воздействия на сустав, падения или прямого ушиба конечности. Здоровые сухожилия удерживают кости в суставной сумке. При растяжении суставные связки сильно натягиваются и происходит микронадрыв соединительной ткани. В результате подвижное соединение ослабевает и кости смещаются. Травмы могут сопутствовать друг другу или возникать отдельно. Вследствие нарушенияущемляются нервы и кровеносные сосуды, что провоцирует возникновение гематомы, отека и ухудшение чувствительности.
Как распознать повреждения: симптомы
Отличить вывих отможно по симптомам, которые приведены в таблице:
| Клинические признаки | Растяжение | Вывих |
| Боль | Присутствует | |
| Отек и гематома | ||
| Подвижность | Частично или полностью отсутствует | Отсутствует |
| Трудоспособность | ||
| Деформация | Отсутствует | Ярко выражена |
| Повышение температуры | Местное | Местное или всего тела, как реакция на боль |
| Патологическая подвижность | Отсутствует | Может наблюдаться |
| Изменение длины конечности | Выражена |
Как проводится лечение?

При растяжении связок или ушибе можно воспользоваться мазью Вольтарен.
Если человек немного потянул связки или слегка ушиб руку или ногу, назначается консервативная терапия. Следует обеспечить конечности покой, наложить фиксирующую повязку и воспользоваться следующими мазями:
- «Вольтарен»;
- «Троксевазин»
- «Кетонал»;
- «Фастум гель»;
- «Долгит».
При вывихе, не осложненном разрывом связок или переломом, проводится вправление и накладывается гипс или ортез. Сложные травмы требуют хирургического вмешательства. Врач сшивает связки, ставит на место смещенные кости сустава, зашивает рану, накладывает стерильную повязку и закрепляет конечность фиксатором.
Восстановительная терапия
Прогревать больное место можно не раньше 3-х дней после получения травмы, а заниматься лечебной гимнастикой допускается только при полном отсутствии дискомфорта в поврежденных тканях.

Чтобы конечность быстрее восстановилась после травмы, врач может назначить больному электрофорез.
Растянутые связки и вывихнутые суставы рекомендуется лечить следующими физиотерапевтическими процедурами:
- электрофорез;
- фонофорез;
- лечение лазером;
- магнитотерапия;
- прогревание озокеритом или парафином;
- УВЧ-терапия.
А также рекомендуются сеансы массажа и лечебная гимнастика. Такое комплексное лечение дает следующие результаты:
- восстанавливает подвижность конечности;
- нормализует метаболизм в поврежденных тканях;
- улучшает кровообращение;
- снимает боль, отек и воспаление;
- препятствует появлению осложнений.
Как отличить растяжение от вывиха?
Растянутые связки никогда не провоцируют деформацию сустава, как это бывает при вывихе. А также не наблюдается изменения оси конечности, что характеризует смещение подвижного соединения. Определить оба вида травмы можно по присутствию крови в суставе. При ушибе или дисторсии кровоизлияние в полость сустава наблюдается нечасто, а при вывихе — часто. Если человек только потянул соединительную ткань, то пассивные движения сохранены. В случае нарушения конгруэнтности сустава двигательные функции отсутствуют.
Хилл-сакса мрт.
Определение
Повреждение нижней суставно-плечевой связки – это травматическое нарушение целостности нижней суставно-плечевой связки различной степени выраженности.
HAGL – это отрыв нижней суставно-плечевой связки в области прикрепления к плечевой кости (является подтипом разрыва нижней суставно-плечевой связки).
Классификация
Стадии:
- Повреждение суставно-плечевой связки (встречается при 15-30% передних вывихов плеча );
- Частичный разрыв;
- Полный разрыв.
Виды повреждений:
ABIHL (anterior band IGHL) – разрыв переднего участка нижней суставно-плечевой связки;
PHAGL (PBIHL) – разрыв заднего участка суставно-плечевой связки;
BHAGL – авульсивный перелом плечевой кости в области прикрепления нижней суставно-плечевой связки;
HAGL - разрыв в области подмышечного кармана с интактным передним участком нижней суставно-плечевой связки;
“Плавающая” нижняя суставно-плечевая связка – комбинированное повреждение HAGL и Банкарта;
Растяжение IGHL (нижней суставно-плечевой связки);
Рубцевание IGLLC (комплекса нижней суставно-плечевой связки и суставной губы).
Патогенез
Возникает у 1-4% пациентов с привычными вывихами в плечевом суставе. Повреждение HAGL встречается при переднем вывихе головки плечевой кости, повторяющихся микротравмах (чаще у волейболистов), также у мужчин в возрасте 20-50 лет, у 4% пациентов с передней нестабильностью.
Эпидемиология
Чаще встречается у мужчин в возрасте старше 40 лет.
Визуализация
Рентгенография, КТ-артрография, МРТ, МР-артрография.
Клинические проявления
Анамнез в виде недавнего вывиха с резким болевым синдромом, нестабильность плечевого сустава, ограничение в движений сустава, крепитация, отек мягких тканей, появление гематомы.
Лучевая диагностика
Рентгенография
Обычно без визуализируемой патологии. При BHAGL определяется мелкий костный фрагмент в области медиальных отделов метафиза плечевой кости.
Рис. 1. Костный вариант отрыва нижней плече-суставной связки (BHAGL)
МРТ-семиотика
Т2-ВИ FS: утолщение или прерывание гипоинтенсивного сигнала от нижней суставно-плечевой связки, перилигаментозный отек. При HAGL определяется перерыв волокон нижней суставно-плечевой связки в области прикрепления к плечевой кости, перилигаментозный отек и кровоизлияние, смещение разорванных волокон связки книзу на коронарных срезах. HAGL, вовлекающий передние отделы нижней суставно-плечевой связки (ABIGL) лучше видны на аксиальных срезах. Переломы Хилла-Сакса и контузия костной ткани сопутствуют менее часто, чем повреждения Банкарта.
Растяжение и повреждение IGHL часто сопровождается формированием аксиллярного суставного кармана (жидкостного затека) с двойным контуром, в котором иногда визуализируются фрагменты связки (рис. ниже).
КТ-артрография, МР-артрография: экстравазация контрастного препарата.
Дифференциальный диагноз
- Повреждение ALPSA
- Повреждение Банкарта;
- Разрыв сухожилия подлопаточной мышцы;
- Минимальная экстравазация контраста при МР/КТ – артрографии без наличия разрыва капсулы сустава.
Рис.2. T2-ВИ FS: Разрыв нижней суставно-плечевой связки и окружающим отеком (синяя стрелка) с участком интактной связки (белая стрелка).
Рис.3. Т1-ВИ FS МР-артрография: Разрыв переднего участка нижней суставно-плечевой связки (узкая стрелка), эктравазация контраста в мягкие ткани (широкая стрелка)
Рис.4. МР-артрография в режиме Т1-ВИ при отведении и наружной ротации (положении ABER): разрыв нижней суставно-плечевой связки с четко определяемым участком разрыва (черные стрелки).
Пример описания
Описательная часть: определяется повышение МР сигнала и нарушение целостности нижней суставно-плечевой связки на фоне умеренного перилигаментозного отека.
ЗАКЛЮЧЕНИЕ: МР- картина разрыва нижней суставно-плечевой связки.
Список использованной литературы и источников
- Diagnostic Imaging: Muskuloskeletal: Trauma /
D.G. Blankenbaker, K.W. Davis. 2 - Differential Diagnosis in Musculosloskeletal MRI /
G.M. Hollenberg, E.P. Weinberg, S.P. Meyers. Thieme Medical Publishers, Inc. New York, 2015. – P.657. ISBN 978-1-60406-683-8. - Differential Diagnosis in Musculosloskeletal MRI /
Вывих плечевого сустава. Механизм получения травмы
Вывих плечевого сустава - это сдвиг головки плечевой косточки. Сдвиг наблюдается касательно суставной выемки лопатки. По направлению сдвига специалисты определяют несколько подтипов травм.
Передний вывих
Данная разновидность появляется максимально просто, потому что именно задняя часть капсулы плечевой косточки укреплена меньше всего связками и сухожилиями. Также задняя головка дельтовидной мышцы слабо развита, и даже спортсмены - не исключение.
Травмирование может проявиться по итогам воздействия на руку. Обычно это происходит при занятиях единоборством, работе с кольцами или на перекладинах. Передний вывих руки из плечевого сустава может быть в результате ударения в данную зону. Это наблюдается при приземлении или при занятии единоборствами.
Задний вывих
Задний вывих у людей отмечается уже не так часто, как передний, но в то же время не менее распространенная травма среди всех имеющихся. При таком травмировании головка плечевой косточки разворачивается к задней части от суставного углубления лопатки. Данное перемещение наблюдается при повреждении передней части капсулы плечевого сустава.
Обычно при таком повреждении плечо пребывает в состоянии сгиба, а конечности находятся перед собой. Удар устремлен в дистальную часть верхней конечности. Такая травма обычно происходит при падении на выпрямленные конечности. Не менее частая причина - неграмотное разделение веса штанги при совершении жима лежа.
Нижний вывих
При данном подвиде вывиха плечевого сустава руки происходит перемещение головки кости под суставную выемку лопатки. Повреждение отмечается совсем не часто и отмечается при поднятой ввысь руке. Обычно травма происходит при совершении упражнения «Флажок» или при ходьбе на руках.
Привычный вывих
Специалисты различают и другие разновидности повреждений, но, по сути, они все являются совмещениями вышеперечисленных травм. Наиболее опасный результат - образование привычного вывиха. Такое состояние описывается тем, что любого повторного воздействия хватает для получения полного вывиха и травмы плеча.





Комментарии(1)
Тоже себе руку сломала буквально недавно...но кстати сращиваемость идёт нормально. Помогает и гипс, и добавки которые врач посоветовал. Также для хорошего усвоения кальция принимаю эваларовский витамин D3 максимум. Он крайне важен для здоровья костей, а здесь ещё оптимальная хорошая дозировка 2.000 ме.
Написать комментарий