Повреждения хилла Сакса. Повреждение Хилл Сакса плеча
- Повреждения хилла Сакса. Повреждение Хилл Сакса плеча
- Повреждение Хилл-Сакса операция. Симптомы, диагностика, лечение
- Повреждение Хилл-Сакса кт. Диагностика повреждения Банкарта
- Перелом Хилл-Сакса плечевой кости. Что такое повреждение Хилл-Сакса
- Перелом Хилл-Сакса мрт. Типичные повреждения плечевого сустава
Повреждения хилла Сакса. Повреждение Хилл Сакса плеча
Травма головки плечевой кости вследствие вывиха или внутрисуставного перелома известна под названием повреждение Хилл Сакса. Такая патология возникает после травматическойи требует немедленной терапии, чтобы избежать усугубления ситуации. Если не предоставить соответствующие лечение, то это может привести к инвалидности.

Причины повреждения Хилл Сакса плечевого сустава
Повреждения Хилл Сакса вызывают вывих или перелом импрессионного характера частей соединения. При повреждении сустава выделяют такие особенности патологии:
- Присутствие деформации головки плечевой кости, вследствие импрессионных переломов.
- Вдавленный характер переломов, более серьезный на передней нижней части головки.
- Усугубление дефектных изменений при повторных повреждениях.
- Смещение головки показывает насколько проблематичный вывих.
Травматическая нестабильность соединения может образоваться после такого воздействия:
- Столкновение вытянутой руки с преградой, например, падение.
- Резкий рывок за верхнюю конечность.
- Силовое воздействие на область соединения.
Повреждение Банкарта — это обрыв хрящевой губы вместе с капсюльно-связочным сегментом от переднего края соединительного отростка лопатки, вследствие травматического смещения плечевого сустава.
Симптоматика патологии

Головка плечевой кости травмируется при падении на вытянутую руку.
Выделяют несколько проявлений повреждения Хил Сака в соединении:
- Болевой синдром. Присутствует из-за нарушения структуры мягких тканей, связок, суставной капсулы, хрящевого валика.
- Нарушение двигательной активности. Соединение смещается со своей анатомической расположенности. Вследствие чего сустав может напрягаться, но конечность не двигается.
- Контуры плечевого соединения смещены и деформированы.
- Онемение области плеча и конечности.
- Образование отеков мягких тканей. Возникает вследствие сдвига головки кости, которая сдавливает нервные волокна.
А также часто встречается нарушение целостности сосудов в виде интрамуральной гематомы или разрыв интимы при травматическом смещении плечевого сустава. Это патологический процесс, может затрагивать периферийные нервы, провоцируя их зажатие или повреждения. Чаще всего задевается подмышечный нерв. В группу риска при возникновении повреждения Хилл Сакса попадают люди преклонного возраста.
Лечение заболевания

МРТ с высокой точностью установит степень повреждения суставных тканей.
Для подтверждения диагноза проводится первичный осмотр пациента на выявление атрофированных мышц, нарушения контуров плеча и на отклонения в двигательной активности сустава. После этого назначается дополнительное обследование с помощью МРТ, которое покажет все патологические изменения в структуре соединения. Терапевтическое воздействие сконцентрировано на возобновление суставных частей. Лечение проводится такими методиками:
- наложение артроскопического шва;
- фиксация сустава;
- реконструктивное укрепление частей соединения.
А также при запущенных формах развития патологии лечение проводят хирургическим путем. Для этого применяютили артроскопическое восстановление капсюльной-связочной системы, с помощью якорных фиксаторов, пластическую операцию костных структур по методу Латарже. Такие вмешательства проводятся инвазивным способом. Чтобы дополнительно укрепить капсюльно-связочную структуру используют Гольмиевый лазер, которым обрабатывают головку плечевой кости.
Повреждение Хилл-Сакса операция. Симптомы, диагностика, лечение
Вывих сустава – это всегда болезненные ощущения, утеря чувствительности в кисти, предплечье и плече, поскольку произошло сдавление нервных окончаний головкой плечевой кости. При наличии вывиха движения рукой становятся невозможными.
Повреждение Банкарта можно выявить только при помощи специальной диагностики. Предварительное заключение уже можно вынести на основании рентгеновского снимка, но задний вывих сустава на снимке можно не определить сразу, поэтому его выявляют достаточно поздно – примерно через месяц после травмы. Самый перспективный и результативный метод диагностики при подобных повреждениях – магнитно-резонансная томография (МРТ) плечевого сустава, которая позволяет увидеть всю картину в трехмерном изображении. Эти данные очень полезны, особенно если планируется операция.
Лечение неосложненных вывихов подразумевает вправление сустава под анестезией, после чего конечность фиксируют в слинге, чтобы обеспечить полный покой больной руке. Такую иммобилизацию придется потерпеть несколько недель. Данный метод лечение ненадежен, поскольку в большинстве случаев приводит к развитию хронической нестабильности сустава, раннему износу хрящевой ткани (артроз). Лучший метод лечения повреждений Банкарта, Хилл-Сакса – это операция с дальнейшей фиксацией сустава специальными якорями. После лечения обязательно назначается повторное исследование при помощи магнитно- резонансной томографии, чтобы наблюдать динамику выздоровления и при необходимости скорректировать лечение.
Повреждение Хилл-Сакса кт. Диагностика повреждения Банкарта
Для поставки точного диагноза требуется проведение аппаратного обследования. Даже учитывая специфичность проявлений данного нарушения, некоторые из них могут указывать на другие патологии.
Когда присутствует вывих либо отрыв плечевого сустава, требуется изучить состояния мягких тканей, а также кости, чтобы представить реальную картину повреждения и наличие дополнительных нарушений.
Кроме специальных двигательных тестов, диагностика должна проводиться следующими аппаратными методами:
- МРТ. Его использование дает возможность увидеть структурные изменения, произошедшие в суставе. Любые нарушения, выявленные таким образом, внимательно изучаются врачом.
- КТ. Для исследования повреждения банкарта компьютерной томографией в суставную полость предварительно вводится контраст. Это позволяет увидеть место и обширность разрыва капсулы.
- Артроскопия. Посредством маленьких разрезов, которые делают в плече, в исследуемую область вводится маленькая камера-артроскоп. Это позволяет рассмотреть изнутри её состояния.
Когда на основании результатов обследования был поставлен точный диагноз, назначаются соответствующие способы восстановления.
Повреждение Банкарта и другие виды травм, касающихся вывиха плеча, диагностируются исключительно специалистами в процессе осмотра.
Для постановки предварительного диагноза достаточно рентгенографии. В ряде случаев определить задний вывих плеча по данным рентгенографии бывает очень сложно, поэтому задний вывих практически всегда диагностируется очень поздно – спустя 3-4 недели и больше.
Диагностирование вывиха плечевого сустава может происходить как мануальным способом при первичном осмотре у врача, так и посредством рентгенографии и МРТ (магнитно-резонансной томографии), а также компьютерной томографии. Необходимость проведения рентгенографии и томографии определяется специалистом в зависимости от сложности травмы.
Травма плеча довольно просто диагностируется. Врач может поставить предварительный диагноз, основываясь на истории развития патологии, учитывая, что ранее травмы подобного рода уже случались. Чтобы утвердиться во мнении, с пациентом проводят ряд тестов, положительный результат которых напрямую свидетельствует о повреждении суставной губы.
Чтобы визуализировать изображение поврежденной суставной формации, используют МРТ. Подобное диагностическое мероприятие позволит увидеть сухожилия, связки, мягкие ткани и костные структуры.
В ряде случаев используют более сложную технику – КТ с контрастированием. Благодаря использованию контрастного вещества, проникающего в полость плечевого сустава, удается рассмотреть разрывы в капсуле максимально подробно.
Артроскопия – еще один высоко информационный метод исследования. Проводится он посредством артроскопа.
Это небольшая видеокамера, которая вводится прямо в сустав через микроскопический надрез на коже. Изображение из камеры транслируется на экран, где хирург сможет рассмотреть самые мельчайшие детали и поставить окончательный диагноз.
Перелом Хилл-Сакса плечевой кости. Что такое повреждение Хилл-Сакса
Повреждение либо субхондральный перелом Хилл-Сакса — дефект головки плечевой кости, являющийся последствием вывиха плеча.
Справка. В переводе с греческого субхондральный означает «находящийся под хрящом».
Собственно под хрящевой тканью находится субхондральная кость, которая для хряща является опорой. Именно эта кость и хрящ подвергаются поражению.
Во время травмирования происходит ограниченный вдавленный (импрессионный) перелом головки кости плеча. Механизм повреждения заключается в следующем: из-за травматического воздействия головка кости перекатывается через острый край суставной впадины лопатки.

Если дефект обширный, то в дальнейшем он может способствовать рецидивирующей нестабильности плеча в положении отведения и вращения руки.
Справка . Данное явление впервые описали американские врачи Хилл и Сакс в 1940 году.
В результате анатомических исследований плеча при вывихах, врачи пришли к таким выводам:
- При данном травмировании зачастую происходит импрессионный перелом головки кости.
- Длительное нахождение кости в неестественном положении способствует увеличению дефекта.
- При повторных вывихах наблюдается увеличение дефекта.
Импрессионный перелом Хилл-Сакса является самым частым дефектом при заднем вывихе. Согласно статистике он возникает в 86% случаев.
Выраженность патологического состояния зависит от тяжести травматического воздействия, а также времени, прошедшего с момента травматизации.
Патологическое явление имеет характерную клиническую картину, которой свойственны следующие симптомы:
- болевой синдром из-за разрыва мягких тканей, связок, капсульного поражения либо отрыва фрагментов хрящевого валика;
- деформация в области плечевого сустава;
- нарушения чувствительности кисти, предплечья, плеча вследствие компрессии нервных волокон смещенной костью;
- отечность, воспаление тканей;
- скованность, поскольку из-за смещенной кости уменьшается естественная амплитуда движений.

Подобные проявления являются серьезными и требуют немедленного посещения специалиста.
Перелом Хилл-Сакса мрт. Типичные повреждения плечевого сустава
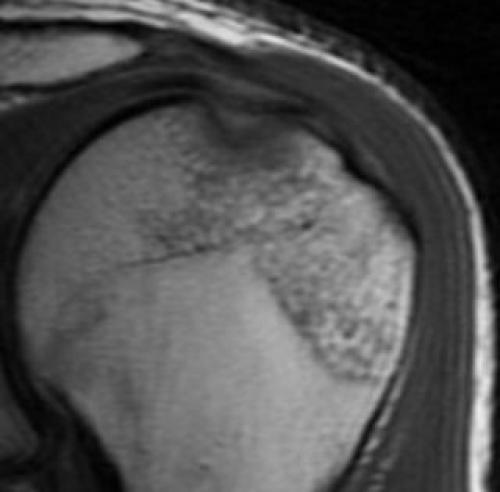
Повреждения плечевого сустава встречаются относительно часто. Причинами служат чрезмерный объём движений в суставе или падение на вытянутую руку. Встречается также нетравматическая этиология нестабильности при заболеваниях соединительной ткани. МРТ плечевого сустава наряду с его рентгенографией являются главными методами выявления травмы.
Наиболее типичным (около 85% передних смещений травматической этиологии) является повреждение Банкарта – отрыв фиброзного или фибрознохрящевого фрагмента от края суставной впадины в месте прикрепления связки к суставной впадине с повреждением суставной губы. Кроме того, травма может приводить и к костным повреждениям – перелому гленоидного кольца спереди, костному повреждению Банкарта (то есть повреждению Банкарта в сочетании с переломом) и перелому большой бугристости.
![]() | ![]() |
МРТ плечевого сустава. Корональные Т1-взвешенные МРТ. Переломы Хилла-Сакса и Банкарта.
Разрыв вращательной манжеты – также характерное повреждение области плеча – может быть связан как с травмой, так и дегенеративными процессами. Разрывы вращательной манжеты бывают полные и неполные. Кроме того, по МРТ плечевого сустава выделяют 3 градации, в основе которых лежит не только изменение сигнала на Т2-зависимых томограммах, но и морфологические изменения сухожилия.

МРТ. Корональная Т2-зависимая томограмма с подавлением сигнала от жира. Полный разрыв сухожилия надостной мышцы.
Травма легко приводит к вывихам. Термин “нестабильность сустава” отражает состояние сустава, когда в нём имеются постоянные нарушения, предрасполагающие к вывиху. Хроническая нестабильность приводит к частым повторным вывихам и подвывихам в плечевом суставе, что осложняется его дегенерацией, развитием плечелопаточного периартрита, деформирующего артроза. Нестабильность проявляется болями в суставе, дискомфортом, щёлканьем в суставе и смещением плеча. Пациент «скован» в плече, старается избежать активных и резких движений.
Также в плечевом суставе может развиваться импинджмент-синдром, описанный нами в разделе “ Какие причины вызывают боли в суставах и их диагностика “.
Вместе с вращательной манжетой плеча могут повреждаться соседние структуры, МРТ акромиально-ключичного сочленения выполняется вместе с МРТ плечевого сустава.







Комментарии(1)
То что это больно, ничего не сказать... мне потребовался долгий курс реабилитации, чтобы восстановить подвижность. А именно боль, воспаление снять помог ревмафлекс... благодаря ему ушла даже от нестероидных противовоспалительных, которые очень сильно вредили моему желудку.
Написать комментарий