Повреждение Хилла-Сакса это. Непростой перелом головки плеча испортит не только отпуск
- Повреждение Хилла-Сакса это. Непростой перелом головки плеча испортит не только отпуск
- Как определить вывих плеча или растяжение. Как определить?
- Повреждение Хилл-Сакса рентген. Что такое повреждение Хилл-Сакса
- Перелом Хилл-Сакса плечевой кости. Восстановление при повреждениях Хилла-Сакса
- Хилл-Сакса мрт. Нормальная анатомия плечевого сустава в аксиальных изображениях и контрольный список.
- Повреждение Хилл-Сакса операция. Симптомы, диагностика, лечение
Повреждение Хилла-Сакса это. Непростой перелом головки плеча испортит не только отпуск
Особенностью повреждения проксимального эпифиза является фактор дробления или сплющивания под интенсивным давлением, вследствие сильного удара. Травма встречается нечасто, но представляет собой серьезную внутрисуставную патологию — перелом головки плеча. В большей степени ей подвержены пожилые люди.
Механизм травмы
Надбугорковый перелом часто образуется вследствие автодорожных происшествий, как сопутствующее повреждение в сочетании с переломами шейки плеча.
Провоцирует травму падение, при котором отведенная рука в опоре приводит к деформации или множественным переломам головки плечевой кости.
Существуют дополнительные факторы риска:
- прыжки в воду с высоты;
- производственные происшествия;
- спортивные повреждения вследствие физического давления на плечевой сустав;
- активный отдых с экстремальными занятиями (катание на роликах, коньках, прыжки с парашютом и др.).
Внутрисуставной перелом головки плечевой кости возникает у лиц с остеопорозом вследствие ударов даже небольшой механической силы.
Классификация
Согласно предложенной полвека назад классификации, принято различать основные фрагменты для определения характера травмы головки кости:
- диафиз;
- малый бугорок;
- большой бугорок;
- суставной фрагмент.
К смещениям отломков относят наклоны под углом более 45°, сдвиги на расстояние свыше 1 см. Тяжесть травмы возрастает при переломах 2−4 фрагментов. Сложность закрытого вправления существенно возрастает с увеличением отломков и костных сдвигов. Особое место занимают переломовывихи, отделение головки плеча.
В разнообразии переломов различают формы:
- закрытые — поверхностные ткани без повреждений;
- открытые — нарушена целостность кожного покрова, подкожных тканей.
Перелом плечевой головки у детей имеет особенности на каждом возрастном этапе:
- до 5 лет — переломы (Салтера-Харриса I типа, отрыв эпифиза) являются следствием родовых патологий, фактов насилия;
- 5−10 лет — метафизарные переломы вследствие утончения в период роста кортикального слоя по причине быстрого роста;
- старше 11 лет — переломы Салтера-Харриса II типа.
Правильная репозиция костей в период созревания скелета очень важна для профилактики последующих нарушений.
Перелом Хилл Сакса головки плечевой кости возникает вследствие травматической нестабильности после вывихов, других повреждений сустава. В группе риска данной патологии находятся лица преклонного возраста. Перелом головки плечевой кости у пожилых людей с несвоевременным лечением приводит к инвалидности.
Симптомы
Выраженным проявлением перелома головки плеча является резкая боль, ограничения в первой фазе движения плечом.
Другие признаки повреждения:
- крепитация;
- нарушение округлости плечевой области;
- укорочение плеча, нарушение оси;
- появление гематомы;
- парестезия;
- отечность поврежденной области.
Сдавливание сосудисто-нервных пучков приводит к распространению экхимозов (синяков) на дистальную область руки, грудную клетку.
Первая помощь и диагностика
Предупреждение травматического шока — важное мероприятие при оказании первой помощи для избежания многочисленных осложнений. Купирование боли проводят приемом анальгетиков, внутримышечными уколами анестетиков (без наркотических средств).
Излишние движения пострадавшего могут стать причиной усугубления повреждения. Место перелома важно обездвижить подручными средствами, по возможности специальной шиной для транспортной иммобилизации.
В процедурах диагностики проводят оценку нервно-мышечного состояния, капиллярного кровоснабжения, сохранность функций плечевого сустава. Переломы головки плечевой кости чаще всего сопровождаются повреждениями шейки плеча.
Как определить вывих плеча или растяжение. Как определить?
Если произошло повреждение плеча во время спортивной тренировки или при бытовом падении, первое, о чем возникает подозрение – это вывих. Есть ряд симптомов, позволяющих самостоятельно определить наличие разрыва связок сустава. Нужно понимать, что такой метод диагностики является не точным, а приблизительным. Без обращения в медицинское учреждение не обойтись:
- Отсутствие визуальных признаков – встречается при частичном разрыве одного волокна. В отличие от вывиха или перелома, отсутствует деформация конечности, в особенности области предплечья.
- Боль возникает или усиливается, становясь невыносимой, если провести пальпацию плеча при отведении конечности в сторону.
- Болезненные проявления не постоянные. Первые сутки после травмы какие-либо неприятные ощущения могут либо отсутствовать полностью, либо носить слабо выраженный характер. Резкая, порой невыносимая боль имеет тенденцию проявляться при неосторожном движении плечом. Например, при надевании одежды, неаккуратном, резком повороте.
- Невозможность полного отведения верхней конечности в сторону. Выполнить это движение нельзя по причине ограниченности функционировании плечевого сустава и из-за возникновения в данный момент сильнейшей боли.

Непосредственно в момент падения на руку, когда происходит разрыв волокон, многие пациенты слышат характерный для этой травмы звук, похожий на хруст или треск. Редко, но не исключается, формирование гематомы. Через некоторое время на ее месте может появиться небольшой отек или припухлость.
Повреждение Хилл-Сакса рентген. Что такое повреждение Хилл-Сакса
Повреждение либо субхондральный перелом Хилл-Сакса — дефект головки плечевой кости, являющийся последствием вывиха плеча .
Справка. В переводе с греческого субхондральный означает «находящийся под хрящом».
Собственно под хрящевой тканью находится субхондральная кость, которая для хряща является опорой. Именно эта кость и хрящ подвергаются поражению.
Во время травмирования происходит ограниченный вдавленный (импрессионный) перелом головки кости плеча. Механизм повреждения заключается в следующем: из-за травматического воздействия головка кости перекатывается через острый край суставной впадины лопатки.

Механизм возникновения повреждения
Если дефект обширный, то в дальнейшем он может способствовать рецидивирующей нестабильности плеча в положении отведения и вращения руки.
Справка . Данное явление впервые описали американские врачи Хилл и Сакс в 1940 году.
В результате анатомических исследований плеча при вывихах, врачи пришли к таким выводам:
- При данном травмировании зачастую происходит импрессионный перелом головки кости.
- Длительное нахождение кости в неестественном положении способствует увеличению дефекта.
- При повторных вывихах наблюдается увеличение дефекта.
Импрессионный перелом Хилл-Сакса является самым частым дефектом при заднем вывихе. Согласно статистике он возникает в 86% случаев.
Выраженность патологического состояния зависит от тяжести травматического воздействия, а также времени, прошедшего с момента травматизации.
Перелом Хилл-Сакса плечевой кости. Восстановление при повреждениях Хилла-Сакса

Дегенеративно – дистрофические патологии, выраженные в изменении головки мыщелка, вследствие различных повреждений – вывиха или импрессионного перелома классифицируются, как повреждение Hill-Sachs. Стабилизация плечевого сустава при повреждении Hill-Sachs требует серьезного подхода к лечению.
Особенности стабилизации плечевого сустава при повреждениях Hill-Sachs, во многом зависят от механизма проявления патологий. Это могут быть:
- продавливание вмятины в головке мыщелка розеткой лопатки (суставная впадина), в результате неудачного переката головки при вывихе;
- перелом плечевого сустава, в результате дефекта головки (данная патология проявляется, как осложнение вывиха);
- перелом самой розетки лопатки;
- перелом розетки в нижне-передней части;
- деструктивные изменения поверхностного слоя хрящевого валика на краю суставного ложа;
- вывих плеча .
Выраженность заболевания зависит от количества травматических воздействий и периода, прошедшего с момента поражения.

Стабилизация плечевого сустава при повреждении Hill-Sachs – Диагностика
Диагностика проводится с целью уточнения характера патологий, для определения тактики лечебного процесса. Применяется:
- рентгенологический метод или КТ;
- исследование методом МРТ, в разной проекции;
Cимптоматика
Стабилизация плечевого сустава и ее необходимость, при повреждении Hill-Sachs обусловлена характерной симптоматикой:
- болевыми проявлениями вследствие разрыва мягких тканей, связочного аппарата, капсульного поражения или отрывом участков хрящевого валика;
- ограничением движений, обусловленных смещением сустава со своего естественного ложа. Как следствие – плечо пружинит, но не двигается.
- деформацией плечевой области;
- нарушением чувствительности плеча, предплечья и кисти;
- Образованием отечности плеча, вызванным передавливанием нервных окончаний, в результате смещения мыщелка.

Лечение повреждений Hill-Sachs
Лечение патологий направлено на восстановление структурной целостности. Применяется метод артроскопического шва, аналогичный SLAP (CЛЭП) поражениям, метод рефиксации или сочетание их с методом открытого реконструктивного укрепления. Выбор операции для каждого пациента индивидуален. Зависит от глубины дегенеративно-дистрофических нарушений.
При глубоких дистрофических изменениях - на лопаточной поверхности и суставной капсулы, значительных дефектов на головке плеча применяется открытый способ оперативного вмешательства под общим наркозом.
Связавшись с представителем «Русско-Германского медицинского центра», Вы можете без посредников решить любые ортопедические проблемы.
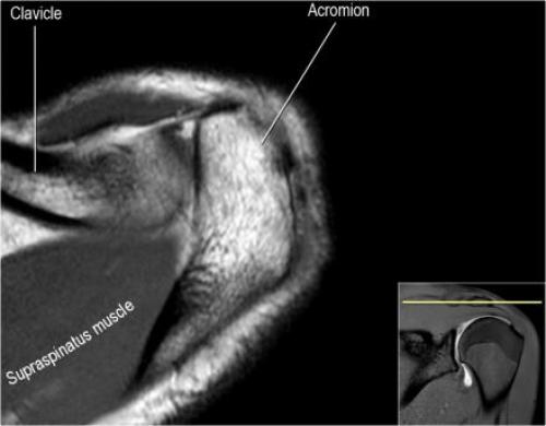
Хилл-Сакса мрт. Нормальная анатомия плечевого сустава в аксиальных изображениях и контрольный список.








- поищите os acromiale, акромиальную кость (добавочная кость, расположенная у акромиона)
- обратите внимание что ход сухожилия надостной мышцы параллелен оси мышцы (это не всегда так)
- обратите внимание что ход сухожилия длинной головки двуглавой мышцы в области прикрепления направлен на 12 часов. Область прикрепления может быть различной ширины.
- обратите внимание на верхние отделы суставной губы и прикрепление верхней плече-лопаточной связки. На данном уровне ищется SLAP-повреждение (Superior Labrum Anterior to Posterior) и варианты строения в виде отверстия под сутавной губой (sublabral foramen - подгубное отверстие). На этом же уровне по задне-боковой поверхности головки плечевой кости визуализируются повреждение Хилл-Сакса.
- волокна сухожилия подлопаточной мышцы, создавая бицепитальную борозду, удерживают сухожилие длинной головки двуглавой мышцы. Изучите хрящи.
- уровень средней плече-лопаточной связки и передних отделов суставной губы. Поищите комплекс Буффорда. Изучите хрящи.
- вогнутость заднебокового края головки плечевой кости не следует путать с повреждением Хилл-Сакса, поскольку это нормальная форма для данного уровня. Повреждение Хилл-Сакса визуализируется только на уровне клювовидного отростка. В предних отделах мы сейчас на урвоне 3-6 часов. Здесь визуализируются повреждение Банкарта и его варианты.
- обратите внимание на волокна нижней плече-лопаточной связки. На данном уровне так же ищется повреждение Банкарта.
Повреждение Хилл-Сакса операция. Симптомы, диагностика, лечение
Вывих сустава – это всегда болезненные ощущения, утеря чувствительности в кисти, предплечье и плече, поскольку произошло сдавление нервных окончаний головкой плечевой кости. При наличии вывиха движения рукой становятся невозможными.
Повреждение Банкарта можно выявить только при помощи специальной диагностики. Предварительное заключение уже можно вынести на основании рентгеновского снимка, но задний вывих сустава на снимке можно не определить сразу, поэтому его выявляют достаточно поздно – примерно через месяц после травмы. Самый перспективный и результативный метод диагностики при подобных повреждениях – магнитно-резонансная томография (МРТ) плечевого сустава, которая позволяет увидеть всю картину в трехмерном изображении. Эти данные очень полезны, особенно если планируется операция.
Лечение неосложненных вывихов подразумевает вправление сустава под анестезией, после чего конечность фиксируют в слинге, чтобы обеспечить полный покой больной руке. Такую иммобилизацию придется потерпеть несколько недель. Данный метод лечение ненадежен, поскольку в большинстве случаев приводит к развитию хронической нестабильности сустава, раннему износу хрящевой ткани (артроз). Лучший метод лечения повреждений Банкарта, Хилл-Сакса – это операция с дальнейшей фиксацией сустава специальными якорями. После лечения обязательно назначается повторное исследование при помощи магнитно- резонансной томографии, чтобы наблюдать динамику выздоровления и при необходимости скорректировать лечение.





Комментарии(1)
Любые переломы должны сопровождаться не только гипсом, но еще и приёмом кальция, витамина D...а потом обязательно реабилитирующих программами. Это я как врач говорю. Из витаминов обычно советую непосредственно эваларовский витамин D3 максимум. Он с хорошей дозировкой 2.000 ме, зарекомендовал себя в принципе отлично. Также снижает уровень мочевой кислоты в организме, что полезно для суставов.
Написать комментарий