Сколько заживает коленный сустав. Методы лечения
- Сколько заживает коленный сустав. Методы лечения
- Сколько заживает коленный сустав после операции. Замена коленного сустава, реабилитация после операции
- Сколько заживает коленный сустав после травмы. Особенности консервативной терапии
- Сколько заживает коленный сустав после артроскопии. Этапы восстановления колена после артроскопии
- Видео лечение растяжения связок колена
Сколько заживает коленный сустав. Методы лечения
Разрыв можно вылечить полностью. Время полного восстановления зависит от вида и тяжести повреждения, какое применяется лечение.
Неполный разрыв связок можно лечить консервативно. Применяются медикаменты для снятия боли и воспаления (противовоспалительные средства – Ибупрофен, Диклофенак). Назначается лечебная физкультура и физиолечение (парафинотерапия – прогревание с использованием расплавленного парафина; магнитотерапия – воздействие магнитными волнами). Рекомендуется носить наколенник, который мягко фиксирует больной сустав и снижает нагрузку на него. При таком лечении связка срастается сама.
Полный разрыв требует хирургического лечения. Целостность связки восстанавливается с использованием собственных тканей или синтетических материалов. После хирургического лечения рекомендуется заниматься лечебной гимнастикой и снизить нагрузку на сустав с помощью наколенника.
Сколько заживает разрыв связок коленного сустава? При хирургическом лечении разрыва ПКС полное выздоровление занимает около 6 месяцев. Операция в таких случаях обычно дает хороший результат в 80% случаев.
Однако у пациентов сохраняется риск вторичного разрыва, особенно у молодых спортсменов. В долгосрочной перспективе у многих людей с разрывом ПКС в будущем развивается гонартроз (артроз коленного сустава).
При хирургическом лечении разрыва ЗКС восстановление занимает от 9 до 12 месяцев. Неполный надрыв БКС полностью заживает у большинства пациентов в течение 3 месяцев, полный – в течение 6–9 месяцев.
Самостоятельное лечение
В первые 2–3 дня:
- Оберегайте колено от дальнейшего повреждения.
- Обеспечьте отдых поврежденной ноге. Можете в это время для ходьбы использовать костыли, чтобы не нагружать травмированное колено. Однако врачи не рекомендуют длительное обездвиживание коленного сустава (более 3 дней после травмы).
- Сразу же после травмы приложите к колену лед на 10–30 минут. Для этого оберните кубики льда или замороженные продукты в полотенце и прижмите к коже в болезненном месте. Холод снижает кровоток, не позволяя распространять боль и воспаление. Некоторые врачи в первые 2–3 дня рекомендуют прикладывать лед каждые 2 часа на 15 минут.
- Наложите давящую повязку на колено. Она поможет уменьшить отечность и ограничит движения.
- Периодически держите травмированную ногу в повышенном положении – это помогает ограничить отек колена. Например, если сидите – ставьте ногу с подушкой под коленом на расположенный рядом стул. Если лежите на кровати – подставьте под колено подушку.
- Избегайте воздействия на колено высокой температуры: не купайтесь в горячей ванне, не посещайте сауны или бани, не прикладывайте к травмированной области горячие компрессы. Тепло усиливает кровоток, что стимулирует развитие воспаления.
- Не употребляйте спиртные напитки, которые могут повысить кровоточивость, увеличить отек и замедлить заживление повреждения.
- Не бегайте и не выполняйте никаких упражнений с нагрузкой на колено.
- Не делайте массаж колена, так как это может увеличить кровотечение.
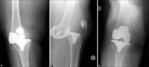
Сколько заживает коленный сустав после операции. Замена коленного сустава, реабилитация после операции
Реабилитация после эндопротезирования имеет первостепенное значение для обеспечения безболезненного функционирования сустава и улучшения качества жизни пациента. Операция попоказана для лечения болезненных и инвалидизирующих патологий, вызванных различными формами, тяжелыми травмами. Хирургом-ортопедом выполняется полная или частичная замена износившегося суставного соединения на его анатомически точную копию.

Искусственный имплантат состоит из металлических и пластиковых элементов, абсолютно безопасных для организма. Чтобы заново научить прооперированную конечность двигаться правильно, расширить диапазон доступных движений, требуются массажи, посещение физиотерапевтического кабинета, выполнение.
Срок реабилитации, как и её успешность, зависят от тяжести состояния пациента, его усердия, соблюдения врачебных рекомендаций, силы воли, желания достичь успеха.Срок восстановления: когда можно ходить?
Важно знать! Врачи в шоке: "Эффективное и доступное средство от боли в суставах существует…"…
Этот вопрос — часто задаваемый среди посетителей специализированных форумов, посвящённых вопросам эндопротезирования. Прогресс сугубо индивидуален, полный возврат к нормальной деятельности возможен уже через 3—6 месяцев после процедуры, в течение которых вы будете заново строить собственную жизнь, учиться самым обыденным вещам.
Большинство имплантов позволяют сгибаться коленному суставу, но не более чем на 110 градусов.
Сложность процесса восстановления — в том, что больные артритом люди живут с изматывающими болями годами. За это время у них вырабатываются предпочтительные позы для, стояния, передвижения, становятся неактивными и атрофируются некоторые мышцы. Эти же привычки, называемые аномальными невралгиями, никуда не уходят и после того, как вы просыпаетесь в послеоперационной палате. Процесс избавления от них сложен, тернист; желательно проходить его под присмотром врача-реабилитолога.
При дегенеративных суставных заболеваниях пациентам полагается пособие по инвалидности. Для его оформления необходим сбор необходимых результатов обследования, подтверждающих неспособность самостоятельно передвигаться.
Причиной для получения аналогичного статуса может стать и реабилитация после эндопротезирования, если в результате операции вы не в состоянии выполнять привычную работу. Оказывается такая социальная помощь в течение 12 месяцев.
Как увеличить результативность реабилитации?
При соблюдении всех врачебных рекомендаций увеличение доступного диапазона движений, избавления от боли удаётся достичь 90% пациентов.
Рекомендации специалиста в зависимости от практикуемой им методики, перенесённого типа процедуры могут различаться. Обычно они включают следующие пункты:
- ранняя физическая активность – залог успешной реабилитации;
- уже на вторые послеоперационные сутки необходимо начинать присаживаться и вставать, используя в качестве опоры специальные поручни;

Встать с кровати и сходить в туалет в первые дни после операции — это уже можно назвать реабилитацией.
- покорятьпридется уже на пятый день. Причём первый шаг делается обязательно здоровой ногой;

А больная нога всегда находится между двух костылей.
- увеличение физической нагрузки происходит постепенно, чтобы не повредить имплантат;

Такое может случиться, если очень торопиться. Это вывих коленного импланта.
- после выписки домой можно приседать только на высокие стулья, а поднимать предметы без посторонней помощи или специальных приспособлений запрещено;

Наглядный пример запрещённых первое время положений.
- постоянный контроль веса;

Если есть лишний вес, то просто похудейте — это даст вам большую фору в процессе восстановления.
- сон на боку или спине разрешён только с использованием специального валика, помещаемого между ног;

Это требование больше подходит для тазобедренного сустава, но колено тоже стоит обезопасить таким образом.
- водить автомобиль позволяется лишь спустя 8 недель после процедуры;

Садиться и выходить из него нужно особым способом.
- вводите в свой рацион пищу, богатую железом, и пейте больше жидкости.
Сколько заживает коленный сустав после травмы. Особенности консервативной терапии
Консервативное лечение разрыва связок коленного сустава позволяет обойтись без операции. Но применять его стоит только при легком повреждении или растяжении. А вот при наличии полного разрыва тканей лучше прибегнуть к хирургическому вмешательству.

Данное лечение разрыва связок коленного сустава производится с применением способов:
- обеспечение полного покоя. На протяжении первых 2-3 дней после получения травмы пострадавшему важно обеспечить полноценный покой. В этот период важно снизить или полностью исключить нагрузку на больную ногу. В период восстановления показано использование трости. Если пострадавший прибывает в состоянии лежа, то в этот момент его нога должна быть в приподнятом состоянии;
- прикладывание холода, от этого зависит период заживления. У многих часто при разрыве связок коленного сустава часто проявляется вопрос, сколько времени заживает данное повреждение? Все зависит от соблюдения мер лечебный терапия, включая данный. Обязательно после повреждения к области с отечностью стоит прикладывать холодный компресс или лед на 15-20 минут;
- иммобилизация колена. Данная мера состоит в наложении на поврежденное колено эластичного бинта или бандажа. Эти средства обеспечат полноценную стабилизацию сустава, а также они ограничат патологические движений в его области;
- если у больного возникают сильные болевые ощущения, то ему обязательно прописываются обезболивающие препараты, которые позволят снизить неприятные ощущения и устранят состояние дискомфорта;
- проведение противовоспалительной терапии. Поскольку после получения травмы в тканях и суставе начинается активный процесс воспаления, то врач обязательно должен назначить медикаментозную терапию с использованием противовоспалительных препаратов. В данном случае назначаются лекарства в форме мазей и гелей;
- назначение препаратов для снятия признаков отечности. Наиболее действенными и эффективными являются гель Лиотон и Фастумгель;
- применение компресса с мазью Вишневского. Он проводится так - область поврежденного колена смазывает обильным слоем мази, далее перетягивается при помощи пищевой пленки, а сверху обматывается эластичным бинтом. Компресс рекомендуется накладывать на ночь перед сном.
Сколько заживает коленный сустав после артроскопии. Этапы восстановления колена после артроскопии
Артроскопия коленного сустава – щадящая операция, которая отличается минимальным риском травм и выполняется при разрыве мениска, вывихе надколенника, наличии кисты, травмировании хрящевой ткани, артрозе. Врач проводит процедуру с помощью артроскопа, который вводится под кожу и позволяет видеть всю ситуацию внутри колена. Аппарат позволяет промывать мениск, восстанавливать поврежденные связки, вправлять вывихи.
Способы обезболивания
Операция выполняется исключительно с анестезией, но какой она будет зависит от сложности, причины ее проведения и других факторов. Врачи могут использовать:
- местное обезболивание;
- общую анестезию;
- проводниковую;
- спинномозговую.
Перед тем, как приступить к артроскопии, врач наложит жгут, чтобы обеспечить невозможность попадания крови в область коленного сустава. Инструменты вводятся через 3 отверстия, диаметр которых от 5 до 7 мм, кроме того, доктор может использовать специальную жидкость, которая вводится через инструмент и помогает лучше визуализировать место проведения операции. После ее окончания больному введут противовоспалительные медицинские препараты, которые предназначены для более скорой реабилитации.
Хоть артроскопия и считается наименее щадящим хирургическим методом, все же осложнения имеют место быть и могут представлять собой артрит, проблемы с сосудами, гемартроз, растяжение связок. Риск появления какого-либо осложнения напрямую зависит от хирурга, поэтому советуем выбирать толкового специалиста.
Реабилитация
Сроки реабилитации после артроскопии колена могут существенно отличаться, так как зависят от желания самого пациента быстрее восстановиться, сложности проведенной операции и других факторов. Вернуться к привычному образу жизни вы сможете через 6-12 месяцев, и чем больше усилий вы будете прилагать, тем скорее сможете забыть о повреждении коленного сустава. После операции, в зависимости от конкретной ситуации, врач может разрешить ходьбу уже на первый день, однако, обязательно с использованием костыля, трости.
Период восстановления
Стационарное лечение:
- при необходимости, пациенту вводится антибиотик широкого действия;
- чтобы исключить возможность появления тромбозов, советуем бинтовать конечность эластичным бинтом или носить компрессирующий трикотаж;
- криотерапия;
- покой сустава с помощью фиксации нижней конечности ортезной повязкой;
- обезболивание;
- ЛФК;
- лимфодренаж;
- ходьба с костылями.
Лечение в амбулатории (срок реабилитации после артроскопии колена – 1-3 неделя):
- перевязки;
- пункция сустава для выведения из его полости жидкости;
- снятие швов;
- массаж;
- электрическая стимуляция мышц;
- ЛФК;
- фиксация колена шарнирным ортезом;
- прием медицинских препаратов для снятия воспаления;
- эластично бинтуйте колено на протяжении недели;
- физиотерапия;
- лимфодренаж;
- криотерапия;
- полное разгибание конечности в коленном суставе;
- пассивные движения в колене.
4-6 послеоперационная неделя:
- ходьба с опорой на ногу – только при разрешении лечащего врача;
- укрепления мышц бедра с помощью ЛФК;
- занятия на велотренажере;
- формирование походки без прихрамывания на больную ногу;
- сгибание в суставе до 90 градусов;
- плавание и ходьба в бассейне.
6-8 неделя:
- на этом этапе врач может допустить полноценную ходьбу в отрезе;
- ходьба и бег в бассейне;
- упражнения на блоковом тренажере;
- плавание брассом;
- шаг на ступеньку или платформу.
На этом этапе все еще не разрешается резких движений больной ногой, прыжки, маховые упражнения.
8-12 неделя:
- полноценная ходьба;
- укрепление мышц прооперированной ноги;
- разработка координации движений.
4-6 месяц после операции. На этом этапе все еще следует проводить упражнения по укреплению сустава и мышц, в некоторых случаях разрешается бег трусцой, а при нагрузках на конечность рекомендуется обязательное использование наколенника.
Обратившись к опытному специалисту, вы сможете значительно сократить сроки реабилитации после артроскопии колена, особенно, если будете придерживаться его советов и ежедневно выполнять комплекс упражнений.












Написать комментарий