Строение большого пальца руки человека. Строение
- Строение большого пальца руки человека. Строение
- Большой палец руки болит. Почему пальцы болят во время движения
- Строение большого пальца ноги. Расположение костей
- Болит подушечка большого пальца руки. Болят кончики пальцев на руках
- Фаланги пальцев рук
- Анатомия кисти сухожилия. Анатомия кисти. Строение костей кисти.
- Большой палец руки толстый и короткий (расплющенный). Характер человека по большому пальцу
Строение большого пальца руки человека. Строение
Указательный, средний, безымянный и маленький палец состоят из 3 фаланг, каждая из которых имеет свои особенности. Ими является:
- указательный палец является самым функциональным;
- в строении среднего пальца руки выделяют самую большую длину фаланговых костей;
- безымянный, имеет общее сухожилие с соседними пальцами, так как он практически не совершает самостоятельный движений;
- мизинец имеет самое миниатюрное строение, что объясняет его минимальную функциональность.
Помните!
Особая роль отводится большому пальцу, благодаря которому происходит захват предметов, но при этом он отличается от предыдущих, тем, что у него две фаланги.В строение среднего пальца руки различают три трубчатые кости. Они полые внутри и имеют головку и основание. Средняя косточка является тонкой и самой длинной, а ногтевая фаланга имеет самый маленький размер и заканчивается дистальный бугорком. Межфаланговые суставы обеспечивают подвижность движений в одной плоскости, за счёт чего становится возможным процесс сгибания и разгибания.
Важно!
Мышечный аппарат средней фаланги практически отсутствует. За движение сгибания и разгибания суставов отвечает средняя мышечная группа.Она имеет следующие особенности:
- Мышцы сгибателей крепятся с помощью сухожилий к отделам проксимальных фаланг.
- Разгибание в суставах происходит за счёт мышечных групп расположенных на тыльной поверхности кисти. Они прикрепляются к дистальной и средней части фаланги.
Поступление крови обеспечивается лучевой и локтевой артерией, которые формируют артериальные дуги и анастомозы (сосуды, соединяющиеся с помощью соустья). Артерии, доставляющие питательные вещества к тканям проходят по боковой стороне фаланг. Венозная сеть берёт начало от пальцевых кончиков рук.
Большой палец руки болит. Почему пальцы болят во время движения
В любом возрасте человек может испытывать неприятные ощущения в мелких сочленениях кисти. Существует несколько факторов, из-за которых болит сустав большого пальца на руке. Лечение направляется на устранение основной причины, выявленной во время диагностики, и ликвидацию последствий патологического процесса.
Анатомически большой палец состоит из двух фаланг (костных оснований), суставных и связочных аппаратов. Последние ограничивают подвижность суставов и укрепляют их капсулы. Движение первого пальца обеспечивают мышцы-сгибатели, разгибатели, а также отводящие и приводящие мышечные пучки.
Из-за повышенной нагрузки, которая ложится на этот палец, возможно возникновение множества патологий различного характера:
- травмы первого пальца (переломы, трещины, вывихи);
- повреждения связочного аппарата («большой палец лыжника»);
- «недуг пианистов» или болезнь де Кервена (стенозирующий лигаментит);
- неврологические расстройства (туннельный синдром);
- заболевания суставов (артрозы, артриты);
- увеличение и воспаление околосуставных сумок (бурсит, гигрома);
- системные воспалительные заболевания (ревматизм);
- обменные нарушения (подагра, контрактура Дюпюитрена);
- наследственные недуги и аутоиммунные состояния (болезнь Рейно).
Если у вас болит большой палец на руке у основания, это может быть последствием генетической предрасположенности к какому-то заболеванию или банальное механическое повреждение. Поскольку большие пальцы (БП) играют важную роль в осуществлении многих действий, их болезненность приносит человеку массу дискомфорта. Из нашей статьи вы узнаете, почему возникает боль в пальцах и как ее лечить.
Большой палец
Острые и резкие болезненные ощущения во время разгибания или постукивания большими пальцами рук часто возникают из-за:
- защемления нервов;
- артроза;
- остеоартроза;
- туннельного синдрома.
В основном, дискомфорт у основания пальца возникает, если его начать сгибать или он уже находится в согнутом положении. Если в месте соединения пальца и ладони боль возникает часто, человеку нужно срочно обратиться за квалифицированной помощью.
Большой палец
В последние годы увеличилось количество обращений, связанных с воспалением суставов. Основная группа пациентов жалуется на то, что болит сустав большого пальца на руке. Симптом имеет различную этиологию. Точный диагноз устанавливается в медицинских условиях. Самостоятельное лечение патологии не рекомендуется.
Кисть человека – сложный инструмент, с помощью которого могут выполняться работы, требующие много усилий. Большой палец противопоставлен остальным. С одной стороны, это дает на него дополнительную нагрузку, с другой – позволяет выполнять различные хватательные операции. Когда болит сустав большого пальца на руке, это приводит к снижению функциональности всей кисти на 50%.
Причин для возникновения дискомфорта и разной силы боли много:
- травмы;
- артриты;
- синдромы запястного канала и другие.
Лечение во многом зависит от того, что именно привело к болезненности. Поэтому перед назначением лекарств и повязок обязательно происходит сбор анамнеза.
Строение большого пальца ноги. Расположение костей
Как известно, важным элементом, отвечающим за строение, являются кости. Их нужно рассмотреть более подробно.
Самой крупной костью является пяточная, расположена она в задней части стопы и на нее приходится большая нагрузка, эта кость отчасти способствует гибкости обоих сводов. Кость не относится к голеностопной части, однако благодаря ей выполняется распределение давления. По форме она похожа на трехмерный прямоугольник, имеющий длинную ось.
В передней части находятся суставы, которые нужны для максимально крепкого соединения пяточной и таранной костей, за счет чего обеспечивается нормальная форма стопы. В задней части кости есть небольшой выступ, на который прикреплено ахиллово сухожилие. Нижней стороной человек ступает на землю.
Также в передней части имеется бугорок для соединения ладьевидной кости с суставом. Вся поверхность покрыта выступами и впадинами для крепления нервов, сосудов, мышц и связок.
Немного меньшей является таранная кость, которая входит в голеностопную часть. Практически вся она покрыта хрящом, и что самое интересное — к ней ничего, кроме связок, не крепится. Кость имеет пять поверхностей, покрытых тонким слоем гиалинового хряща.

Она состоит из тела, головки и шейки:
- тело — является частью голеностопа, соединяется со ступней за счет связок и суставов;
- головка — это перед кости, имеющий суставную поверхность. Головка обеспечивает крепкое соединение с ладьей.
- шейка — это тонкая часть, расположенная между головкой и телом.
Кубовидная кость. Находится на внешней стороне ступни за четвертой и пятой плюсневыми костями. Внешне она похожа на куб, что и дало ей название.
Ладьевидная кость. Ее особенность в том, что она расположена на самой стопе и посредством суставов сводится с таранной костью, формируя свод стопы.
Клиновидные кости. На стопе человека таких костей три, они имеют небольшой размер и находятся близко друг от друга (в реберном порядке). За ними расположена ладьевидная кость, а перед — плюсневые кости.
Строение и функции плюсневых костей одинаковы как во взрослом, так и в детском возрасте. Анатомический вид — трубковидная форма с изгибом под углом. Этот изгиб и формирует своды стоп. На поверхности есть бугристости для крепления связок, мышц и суставов.

Кости фаланг пальцев идентичны тем, что находятся на руках, отличаются только размером. На большом пальце ноги расположены две фаланги, остальные четыре пальца имеют по три.
В связи с нагрузкой на ступни фаланги большого пальца толстые, а остальные тонкие и короткие. Между собой они соединяются суставами, благодаря которым человек может сгибать и разгибать пальцы.
Болит подушечка большого пальца руки. Болят кончики пальцев на руках
д
Болят кончики пальцев на руках у людей в возрасте, суставы уже изнашиваются, появляется воспаление или защемление. Часто симптом может свидетельствовать о развитии иных серьезных патологии. Нужно обратиться к врачу.
Как давно у вас этот болевой синдром?
Загрузка …
Используй поиск Мучает какая-то проблема? Введите в форму "Симптом" или "Название болезни" нажмите Enter и вы узнаете все лечении данной проблемы или болезни.Одной из распространенных причин, вызывающих боль в кончиках пальцев на руках, являются физические нагрузки и травмы. В результате воспаляются сухожилия, быстрее изнашиваются суставы, происходит защемление нервных окончаний.
Но часто болевые ощущения оказываются симптомами следующих заболеваний:
- Ревматоидный артрит – сопровождается болью, отечностью, покраснением кожи рук, ухудшением опорно-двигательной функции. Особенность этой виды артрита – симметричность развития. Воспаление возникает одновременно на обеих руках, поражает одни и те же пальцы. Постепенно болезнь распространяется на остальные суставы.
- Псориатический артрит – чаще заболевание развивается на фоне уже имеющегося псориаза. При этом наблюдается воспаление, покраснение места поражения.
- Подагрический артрит (подагра) – обычно поражает суставы больших пальцев рук. Воспаление протекает с острой болью, покраснением, изменением температуры кожи.
- Панариций – острый воспалительный процесс с образованием гноя, который возникает при занесении инфекции через мелкие раны и порезы. Местом локализации поражения становится околоногтевой участок пальца.
Причиной боли станет вывих, основными признаками которого являются острая боль, отечность, искривление фаланги пальца.
Признаки
При некоторых заболеваниях к болевым ощущениям добавляется онемение или покалывание подушечки пальца. Симптомы могут вызывать изменения в работе эндокринной, сердечно-сосудистой, опорно-двигательной систем организма.
Самыми распространенными являются:
- Полицитемия – болезнь, при которой повышается содержание эритроцитов в крови. Кроме болевых ощущений и покалывания, наблюдается покраснение и жжение кожи рук.
- Шейный остеохондроз – характеризуется дегенеративным изменением позвоночных суставов. Основными симптомами являются тяжесть в затылочной области, нарушение координации движений, ухудшение зрения, слуха, боль, покалывание и.
- Ишемическая болезнь – развивается из-за нарушения циркуляции крови и дефиците кислорода, необходимого для нормальной работы сердечной мышцы. К сопутствующим симптомам заболевания относятся холодные кисти рук, онемение конечностей.
- Синдром Рейно – спазм сосудов, спровоцированный стрессовым состоянием или низкой температурой воздуха. Из-за недостаточного притока крови, кончики пальцев бледнеют, приобретают синюшный оттенок. Поврежденный участок немеет, болит, ощущается жжение, покалывание.
Вследствие усталости и перенапряжения тоже может возникать покалывание и онемение, поэтому судить о серьезности патологии можно только сопоставив все изменения и нарушения в работе организма.
Терапия
Лечение зависит от вида заболевания, от стадии его развития.
Для правильной терапии, пациент должен пройти комплексное обследование, после будут назначены лекарственные препараты:
- Противовоспалительные мази;
- Гормональные препараты;
- Антибиотики;
- Хондропротекторы (симптоматические препараты, действующие в месте локализации боли);
- Подкожные инъекции;
- Физиотерапия, массажи.
От некоторых заболеваний избавиться с помощью лекарств невозможно. При этих ситуациях лечение проводится путем оперативного вмешательства.
Указательные
Обморожение или разные травмы, могут вызывать болевой дискомфорт в указательных пальцах рук.
Указательный палец может болеть при повреждениях шейного отдела позвоночника, которые еще проявляются онемением из-за ущемления нервных окончаний.
Главная особенность болезни в том, что болит только одна конечность, в зависимости от места поражения нервного окончания.
При изнашивании суставного хряща развивается остеоартроз, проявляющийся болями, онемениями и спазмами при сгибании. Женщины этому заболеванию подвергаются чаще, чем мужчины.
Панариций является инфекционным заболеванием. Его причинами будут неправильное обрезание кутикулы, травмы и даже занозы.
При панариции человек страдает от:
- Дергающей боли;
- Красноты;
- Отечности;
- Повышенной температуры тела.
Для предотвращения сепсиса необходимо показаться врачу. Панариций лечится антибиотиками, вскрытием и дренированием гнойника.
Указательный палец может беспокоить и при повышении количества кровяных тел. Увеличение объема крови и усиление ее вязкости приводит к болевым ощущениям и онемению кончиков пальцев.

Фаланги пальцев рук
Все пальцы рук имеют три части (фаланги). В идеале все фаланги одного пальца должны быть равными по длине. Если одна из фаланг длиннее других, это означает, что человек будет более активно использовать ее энергию за счет оставшихся двух. Если фаланга очень короткая, это говорит о том, что энергия бездействует, дремлет и не используется по назначению. Хиромантия наглядно показывает, что человеку в своей повседневной жизни нужно стремиться к балансу и равновесию. Каждая фаланга пальцев отвечает за определенную сферу деятельности человека (рисунок 60).
Рис. 60. Фаланги и сферы деятельности человека
Верхняя фаланга связана с нашей интуицией и духовностью. Если верхние фаланги всех пальцев руки длинные, это указывает на то, что человек вдумчивый и интересующийся смыслом и предназначением жизни.
Средняя фаланга связана с интеллектом. Если все средние фаланги на руке человека длинные, это говорит о том, что он может стать успешным предпринимателем или бизнесменом.
Нижняя, или базовая, фаланга связана с материальными аспектами жизни человека. Если она длинная, широкая и выглядит опухшей и раздутой, это указывает на то, что человек жадный и потворствует своим плотским желаниям. Постарайтесь не перепутать такую фалангу с фалангой подушечной, или мясистой, которая на ощупь кажется пружинистой. Фаланга такого типа указывает на то, что человек любит вкусно поесть и в большинстве случаев является превосходным кулинаром.
Даже если этот человек не любит готовить, он все равно делает это лучше подавляющего большинства людей. Такой человек способен по достоинству оценить приготовленную кем-то пищу и всегда хвалит умело приготовленные, вкусные блюда.
Данный текст является ознакомительным фрагментом.Анатомия кисти сухожилия. Анатомия кисти. Строение костей кисти.

Добрый день, уважаемые читатели. На уроках анатомии в медицинских университетах иногда пропускают (или просто слегка упоминают) строение кисти. Также на некоторых кафедрах вообще отсутствуют качественные препараты кисти человека.
Разумеется, такое положение дел не может меня радовать — как вы знаете, я являюсь большим поклонником фундаментальной медицины. Именно поэтому я решил разобрать строение костей кисти наглядно и детально, чтобы ни у кого не возникало путаницы в этой непростой теме.
Кстати говоря, кисть является самой подвижной частью человеческого тела. Развитие и усложнение анатомии кисти сыграло не последнюю роль в становлении homo sapiens как самого развитого вида живых существ на планете. Людям доступны сложнейшие хирургические манипуляции, виртуозная игра на музыкальных инструментах и создание настоящих шедевров изобразительного искусства.
Давайте узнаем, из чего состоит этот удивительный инструмент — человеческая кисть — и разберём строение костей кисти.
Классификация отделов кисти
Кисть человека (manus) делится на три отдела:
- Запястье (carpi) ;
- Пястная часть (metacarpi) ;
- Кости пальцев (ossa digitorum) , их часто называют «фаланги».
Кстати, именно от латинского слова «manus» произошли слова «мануальный» и «маникюр».
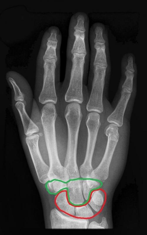
Я решил немного раскрасить этот скучный рентгеновский снимок. Красным цветом я выделил запястье, голубым — пясть, а зелёным — кости пальцев (фаланги).

Кости запястья (ossa carpi)
К костям запястья относят восемь маленьких плотных косточек, которые располагаются в два ряда — проксимальный и дистальный . Чтобы не запутаться в них, следует придерживаться принципам, которые я описывал в статье о том, как учить анатомию человека .
На этом рисунке я я выделил красным цветом проксимальный ряд костей запястья, а зелёным — дистальный.

А теперь давайте сориентируемся на настоящем рентгеновском снимке и попробуем на нём найти проксимальный и дистальный ряды костей запястья (цвета такие же):

Проксимальный ряд костей запястья:
- Ладьевидная кость (os scaphoideum) . Эта кость занимает самое латеральное (самое «лучевое») положение из всех костей проксимального ряда. Также ладьевидная кость является самой крупной костью проксимального ряда. Не перепутайте её с костью-трапецией из дистального ряда, о которой речь пойдёт чуть ниже. Чтобы не случилось такой путаницы, сначала научитесь различать проксимальный и дистальный ряды, а затем уже отдельные кости;
- Полулунная кость (os lunatum) . Дистальная поверхность этой кости очень вогнутая. Именно поэтому она выглядит как половина луны. Правда, это не особо заметно, когда вы рассматриваете всю кисть целиком. Намного лучше эта особенность строения различима, когда вы рассматриваете полулунную косточку отдельно. На препарате вы её можете найти сразу после ладьевидной кости — полулунная кость очень плотно примыкает к ней с медиальной стороны;
- Трехгранная кость (os triquertum) . Название трёхгранной кости также очень характерно — если вы рассмотрите эту кость отдельно, вы отчётливо увидите три грани. Трёхгранная кость занимает самое медиальное (самое «локтевое») положение из всех костей проксимального ряда;
- Гороховидная кость (os pisiforme) . Эта кость — самая маленькая из всех костей запястья. Она очень плотно сочленяется с трёхгранной костью, поэтому вы легко отыщите гороховидную кость, если найдёте самую медиальную кость проксимального ряда (то есть трёхгранную).
Когда вам требуется найти какую-либо кость запястья, первым делом, вы должны отличать проксимальный и дистальный ряды. Давайте сориентируемся на анатомическом планшете, когда кисть руки нам показана условными пальцами вниз.
Первым делом найдём лучевую и локтевую кости. По лучевой кости мы находим сторону, где располагается большой палец, а по локтевой — сторону, где находится мизинец.:

После этого нам нужно отыскать на планшете кости запястья. Это очень легко сделать — восемь маленьких, плотных косточек сильно отличаются от всех остальных костей:

Далее следует разграничить дистальный и проксимальный ряды костей запястья. Этому мы уже научились в прошлом разделе, поэтому проксимальный ряд можно найти без труда (не забываем, что перед нами ладонь, которая расположена условными пальцами вниз):

И теперь, когда у нас расставлены все ориентиры, мы можем сразу же найти, например, ладьевидную кость (os scaphoideum). Помним, что она:
- Располагается в проксимальном ряду;
- Занимает самое «лучевое» положение;
- Является самой крупной костью проксимального ряда;
- Похожа по форме на корабль-ладью.



Большой палец руки толстый и короткий (расплющенный). Характер человека по большому пальцу
С точки зрения многих хиромантов большой палец почти так же важен для чтения, как все остальные, вместе взятые.
Большой палец не носит имя ни одного бога (хотя иногда связывается с первым домом гороскопа), но он является ключевым показателем уровня жизненности и жизненной энергии.
Известно, что некоторые индусы ограничивают гадание одним большим пальцем, игнорируя всю руку! Каждая часть (фаланга) большого пальца имеет традиционные ассоциации: первая (там, где ноготь) -с волей, вторая - с логикой.
Большой палец, как и все остальные, имеет три фаланги, третьей является подушечка плоти, формирующая сторону ладони. Она традиционно объединяется с другими подушечками, все они носят название «холмов».
Чем крупнее большой палец, тем больше жизненная сила и мощь человека, особенно в связке с сильным указательным пальцем.
Очень крупный и сильный большой палец на руке смешанного типа - печать себялюбия, независимости, гордости, высокомерия и даже преувеличенного мнения о собственных талантах и достоинствах.
Люди с длинным и сильно развитым большим пальцем погружены в мир идей и собственных мыслей, как правило, они бывают замкнутыми, самодостаточными, трезво оценивают свои возможности и не строят иллюзий относительно своего места в этом мире.

Длинный и мощный большой палец на миниатюрной руке свидетельствует о проницательности ума, живости воображения, способности к анализу и самоанализу.
- Длинный большой палец: Хороший руководитель, ясный ум, сила воли, сопряженная со способностью к суждению.
- Очень длинный: Тиран, деспот, всегда делает по-своему.
- Короткий большой палец — признак натуры скорее эмоциональной, чем рассудочной.
- Не ярковыраженный и слаборазвитый большой палец на руке с гладкими пальцами указывает на любовь его обладателя к поэзии и изящным искусствам.
- Короткий: Впечатлительный, нерешительный, сердце управляет головой.
- Большой: Одаренный, сильный.
- Короткий и толстый: Упрямый, настойчивый.
- Маленький и слабый: Недостаток энергии и воли.
- Прямой и жесткий: Сдержанный, лояльный, надежный, осторожный, упрямый.
- Гибкий: Гибкая натура, добродушный, щедрый, терпимый, склонность к экстравагантности.
- Ровные суставы: Полнота жизни.
- Узловатые суставы: Энергия приходит во время бурных вспоров.
- Высокое расположение: Стяжательство, скаредность, низость.
- Низкое расположение: (1) Отвага, разносторонность.
- Тесно примыкает к ладони: (2) Не вполне честен.
- Склонен, прячется под другими пальцами: Несчастливый и саморазрушающий.
- Формирующий прямой угол с ладонью, будучи оттянутым: Сильное чувство справедливости.
- Формирующий угол больший, чем прямой: Слишком мягкосердечный.





Написать комментарий