Кальций в сосудах. От чего чистить сосуды?
- Кальций в сосудах. От чего чистить сосуды?
- Запрещенные продукты при кальцинозе аорты. Применяйте травы, чеснок и синий йод — кальциноз сосудов навсегда уйдет
- Что можно есть при кальцинозе аорты. Развитие недуга на клапаны, аорту, сосуды, створки миокарда
- Кальциноз легких. Кальцинаты в легких у взрослых и детей
Кальций в сосудах. От чего чистить сосуды?
Существуют два вида основных видов отложений в сосудах – холестериновые и кальцинитовые.
Холестерин – это не что-то чужеродное, присутствующее в неправильной пище. Около 80% холестерина вырабатывается внутри самого организма человека – в печени, почках, кишечнике и др. Он участвует в выработке организмом гормонов, витамина D, защите клеточной структуры. Остальные 20% попадают в организм вместе с пищей.
Среди ученых нет однозначного мнения о прямой взаимосвязи между уровнем холестерина и развитием атеросклероза. Исторически сложилось так, что выявленные в ходе исследований холестериновые бляшки были определены причиной атеросклероза, а холестерин в свою очередь был объявлен их виновником.
Вместе с этим, существуют два вида холестерина – высокой и низкой плотности. Первый является хорошо растворимым, и он не склонен к выделению в осадок. Его называют «хорошим холестерином». Холестерин низкой плотности, или «плохой» более подвержен выпадению в осадок.
Вот несколько факторов, ведущих к повышению уровня «плохого» холестерина:
- Курение
- Ожирение, избыточный вес
- Гиподинамия, слабая физическая активность
- Неправильное питание – употребление продуктов с высоким содержанием трансжиров, легкоусваиваемых углеводов, недостаточным содержанием клетчатки и пектинов
- Эндокринные нарушения – такие как сахарный диабет, недостаточность гормонов щитовидной железы и др.
- Нарушения в работе печени (в том числе от злоупотребления алкоголем), ведущие к застою желчи внутри органа
Как видно, перечень факторов достаточно знакомый – о важности здорового образа жизни мы говорим постоянно. И вот ещё одно подтверждение взаимосвязи того, к каким последствиям ведет пренебрежение простыми правилами.
Но не только избытка холестерина следует опасаться, иногда могут возникать также отложения кальция в сосудах. Каковы причины? Почему появляется кальций в сосудах? И насколько это опасно?
Это очень даже серьезно. Если хотите представить себе что это такое, вспомните как выглядит накипь в чайнике. Процесс формирования холестериновых бляшек длится годами и даже десятилетиями – сначала это холестериновые пятна, которые с 20-30-тилетнего возраста могут расти и расширяться. Но эти отложения больше подвержены растворению. А вот отложения кальция в сосудах растворяются гораздо хуже, и потому кальциноз является более опасной формой атеросклероза.
Но будет ошибочным предположить, что нужно ограничить потребление кальция чтобы уберечь себя от его отложений в сосудах. В таком случае организм начнёт его вымывать из костной структуры.
А что же нужно? Витамин К2 препятствует отложению кальция в сосудах, его источником являются сыр и кисломолочные продукты. Также препятствует осаждению кальция магний, его много в орехах, бобовых. Дефицит цинка и витамина D тоже способствует процессу отложения кальция на стенках сосудов, потому в рационе должны быть морепродукты, жирная рыба, сыры, кисломолочные продукты.
Из натуральных препаратов с этой целью можно порекомендовать Кошачий Ус , это растение успешно используется для растворения камней в почках и желчном пузыре, которые тоже в большинстве случаев являются отложением кальция. Кошачий ус так же снижает уровень мочевой кислоты в крови и растворяет солевые и кальцинитовые отложения во всем организме, всех органах и системах, включая сосуды. Имеет смысл пропить комплекс магния при его недостатке, он естественным образом снизит вымывание кальция в осадок на стенках сосудов.
Запрещенные продукты при кальцинозе аорты. Применяйте травы, чеснок и синий йод — кальциноз сосудов навсегда уйдет
Лучшим выходом в этом случае признано хирургическое вмешательство. Протезированию подлежат не только клапаны сердца, но и аорта, коронарные сосуды. Про кальциноз аортального, митрального клапана, сосудов, артерий и его лечении народными средствами расскажем ниже. Кальциноз сосудов и клапанов сердца может длительно протекать бессимптомно, и первые признаки заболевания появляются уже после осложнений, которые возникают при значительном сужении просвета сосудов, создающего препятствие кровотоку.
Кальциноз коронарных сосудов, аорты, клапанов становится причиной прогрессирования атеросклероза, ишемической болезни сердца, инфаркта миокарда, гипертрофии левого предсердия, дыхательной недостаточности, инсульта. С возрастом риск кальцификации аорты, внутрисердечных структур увеличивается, что способствует ухудшению сердечной деятельности, повышению вероятности кардиогенной эмболии — механической закупорки кровеносного сосуда эмболом, представляющим собой частичку кальцификата, попавшего в кровь.
О том, всегда ли кальций так полезен, как говорят, и о его роли в образовании кальциноза расскажет данное
Патологическое состояние, характеризующееся отложением на стенке аорты скопления солей кальция — кальцинатов, включающих в себя омертвевшие вследствие травм или инфекционных поражений ткани, называется кальцинозом аорты. Этот недуг опасен. Кальций, который проникает через стенку сосуда, провоцирует утрату его эластичности, делает его хрупким.
Повышение давления может стать причиной разрыва сосуда, что повлечет за собой смерть. Игнорирование патологии чревато развитием серьезных заболеваний, в частности , сердечной недостаточности. Как правило, кальцинирование аорты развивается бессимптомно. Человек может жить и не догадываться о наличии недуга. Терапия данного явления должна быть незамедлительной. Возможно также лечение кальциноза аорты народными средствами. Препараты из лекарственных растений поспособствуют снижению концентрации кальция в крови.
Только так можно избежать прогрессирования патологического процесса, а также опасных последствий. Влияет на развитие кальциноза и возраст.
Что можно есть при кальцинозе аорты. Развитие недуга на клапаны, аорту, сосуды, створки миокарда
Что же такое кальциноз сосудов? В первую очередь это патологический процесс. Все знают, что кальций просто необходим человеческому организму. Это вещество повышает сопротивляемость костных тканей, защищая их от повреждений и переломов. В норме соли кальция в организме человека находятся в растворенном состоянии.
Если же вещество проникает в кровеносные сосуды и аорту, то начинает развиваться кальциноз сосудов. Лечение данного заболевания должно проводиться незамедлительно. Ведь стенки сосудов постепенно известкуются и теряют свою эластичность. При повышении артериального давления может произойти разрыв тканей. В худшем случае наступает смерть. Самой опасной патологией считается кальциноз сосудов сердца, а также головного мозга.
Кальциноз клапанов сердца, аорты встречается чаще у женщин пожилого возраста, но отмечается и у совсем молодых людей.
- Обызвествление начинается с аортального клапана аорты, разделяющуюся на ветвь, идущую к шее, голове, и ветвь, ниспадающую к нижним конечностям.
- Затем процесс распространяется на митральный клапан, левый желудочек, межжелудочковую перегородку. По данным статистики каждый 5 порок митрального клапана развивается в результате кальцинации створок.
- Минерал спаивает створки клапана, лишает их эластичности, что способствует развитию недостаточности клапанного аппарата, гипертрофии левого желудочка, снижению его сократительной способности.
Про виды кальциноза аортального, митрального клапанов, сосудов и артерий 1, 2 степени расскажем ниже.
Обызвествлению подвергаются зоны некроза и рубцовой ткани, имплантаты, атеросклеротические бляшки, тромбы, то есть любая аномальная ткань. Нарушение жирового обмена стимулирует кальциноз, так как холестерин соединяется с ионами кальция с формированием известковых отложений. Поэтому атеросклеротические изменения рассматривают как стадию, предшествующую кальцинированию.
Эти процессы развиваются в местах самой большой нагрузки на клапаны и сосудистые стенки. Началом, как правило, бывает поражение аортального, а затем и митрального клапана. В дальнейшем кальцинируется перегородка и левый желудочек. Створки клапанов утрачивают эластичность и подвижность. Формируется стеноз отверстий. Кальциноз – самая частая причина среди приобретенных пороков сердца в зрелом возрасте.
Нередко основой развития этого заболевания служит ревматический вальвулит. В этом случае на сморщенных и спаянных створках митрального клапана появляются известковые наросты. Они перекрывают устье аорты.
Кальциноз поражает одновременно несколько сегментов сердечно-сосудистой системы. Чаще всего это аорта, клапаны и коронарные сосуды.
Первая стадия заболевания трудно поддается диагностике. Длительное время аортальный клапан функционирует ущербно, вследствие чего организм привыкает к данному сбою и пациент не жалуется на самочувствие. Поэтому переход на 2 стадию заболевания проявляется с прогрессирующей интенсивностью. Лечение 3 стадии производится в основном хирургическим путем.
Кальциноз легких. Кальцинаты в легких у взрослых и детей
Кальцинаты в легких у взрослых и детей: причины и лечение.
Общее понятие о кальцинатах. Кальций очень полезен и нужен нашему организму.
Это факт, известный даже ребёнку. А знаете ли вы, что этот минерал может нам вредить?
Это происходит в том случае, когда соли кальция (так называемая известь – окись кальция) скапливаются в каких-либо тканях, органе человека, образуя кальцинаты. О кальциевых солях медикам известно давно.
Предполагают, что организм просто пытается обезвредить омертвевшие после травм или воспалений ткани известковой «капсулой».
В ней можно найти и микроорганизмы, которые вызвали воспаление.
В итоге иммунная система,«замуровав» вредоносное образование, находится в состоянии стресса и ожидает новый виток развития инфекции.
Где гарантия, что заболевание не вернется?
Кальцинат может поселиться в любом органе нашего организма. Какие из них известковым скоплениям нравятся больше всего?
Аорта — кальций содержится в атеросклеротических бляшках, осевших на внутренней стенках артерий при атеросклерозе (кальцинозе).
Нередко кальцинат встречается и в молочной железе, почках, печени, простате… Но чаще его находят всё же в лёгких человека.
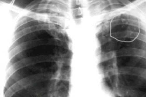
Кальцинаты в легких
Признаки кальцинатов в легких
Появившиеся известковые образования на поражённом участке в легких заменяют нормальную лёгочную ткань.
Это приводит к нарушению правильной работы этого важного органа.
Отмечается кислородное голодание из-за плохого газообмена между кровью и атмосферой.
Порой больные жалуются на повышенную потливость, одышку и учащённое сердцебиение даже при небольших физических нагрузках, затруднённое дыхание и ощущение давления в груди.
При таких симптомах рекомендуется проконсультироваться у узких специалистов — фтизиатра или пульмонолога.
Однако не всегда подобные симптомы ярко выражены.
Нередко кальцинаты в тканях легких не приносят какого-то ощутимого дискомфорта и не ухудшают качество жизни.
Во всяком случае, если они не развиваются.
Диагностика кальцинатов в легких

Кальцинат в легких чаще всего обнаруживается случайно, во время систематической врачебной(ежегодной диспансеризации).
При плановой флюорографии на изображении лёгких и его тканей, отраженных от светящегося экрана,становятся видны округлые тени на фоне бледной легочной ткани (плотность кальцинатов можно сравнить с плотностью кости).
Чаще обнаруживается не один, а несколько таких очагов. Они могут быть разными по размеру и форме.
При обнаружении подобных изменения поход к врачу обязателен.
Во время приёма доктор сначала осмотрит больного:
- нормальный ли у него вес, не похудел ли;
- пальпирует лимфатические узлы, не увеличены ли;
- прослушает внешнее дыхание, не нарушено ли движение грудной клетки при дыхании.
Врач соберёт анамнез — расспросит о наличии кашля, его длительности, наличии выделений ив них, температуре тела, потоотделении.
Также доктор должен узнать об образе жизни больного, его работе (не вредное ли производство), контактах (не было ли среди знакомых туберкулёзных больных).
Поиск кальцинатов ведут вместе с противотуберкулезной диагностикой организма, что очень кстати.
Осмотра у пульмонолога часто бывает недостаточно.
Ведь под кальцинат может маскироваться костная мозоль ребра, активное развитие туберкулезного процесса, даже онкологическое заболевание.
Для уточнения диагноза, подтверждения или опровержения наличия кальцинатов в лёгких доктор назначит дополнительные исследования и анализы:
- Компьютерную томографию – при ней лёгкие исследуются послойно, выхватываются участки в несколько миллиметров и делаются их поперечные снимки. Томограф умеет отыскать, отобразить и зафиксировать патологию в самых малодоступных местах.
- Туберкулиновая проба,известная как реакция Манту , — внутрикожная проба, которая показывает есть ли иммунный ответ организма на введение экстрактов микобактерий. Этот анализ используется для массовых обследований населения на туберкулез .
- Бронхоскопия с забором биологического материала бронхоскопов – гибкой трубкой с источником света и встроенной
Причины кальцинатов в легких

Известковые капсулы образуются в лёгких по многим причинам.






Комментарии(1)
Зачастую это бывает как раз таки из-за того, что добавки с кальцием принимают не самые качественные. Поэтому чтобы не сталкиваться с такими проблемами, я покупаю только кальций хелат эвалар. Он усилен также для наилучшего усвоения витаминами D3, K2. Не забивает сосуды, а идёт именно в кости и зубы.
Написать комментарий