Ожирение печени, как вылечить. Чем поможет зеленая аптека?
Ожирение печени, как вылечить. Чем поможет зеленая аптека?
Так как болезнь носит хронический характер, то лечение ожирения печени проводится в домашних условиях и доктора рекомендуют подключать натуральные средства растительного происхождения. Среди них выделяется расторопша. Это растение, которое широко используется при изготовлении лекарств от печеночных патологий.
Лечение ожирения печени препаратами из семян расторопши позволяет добиться очень хороших результатов. Чтобы восстановить ее функции, рекомендуется 1-3 р. в день принимать по 1 ч. л. молотых семян за 30 мин. перед едой, запивая их водой. Терапию нужно проводить месяц, затем сделать перерыв на 2 недели, а потом курс следует повторить.
Не менее эффективен отвар из молотых семян. Для его приготовления надо 1 ст. л. порошка из семян расторопши варить в 500 мл воды на самом слабом огне, пока ее объем не уменьшится в два раза. Подождите, когда состав остынет, отожмите сырье, долейте кипяченой воды до первоначального уровня. Пейте по 1 ст. л. каждый час на протяжении дня. Лечиться нужно месяц, затем следует прекратить прием отвара на пару недель, и все повторить.
Если обнаружено жировое перерождение гепатоцитов, то полезно начать пить чай из расторопши. Сделать его довольно просто: 1 ч. л. молотых семян заварите 200 мл кипятка. Пусть постоит 10 мин. Пейте после процеживания утром на голодный желудок и за 30 мин. до того, как начать обедать и ужинать.
Народные методы против гепатоза:

- каждый день перед завтраком пейте 1/2 ст. свежевыжатого морковного сока ;
- ежедневно съедайте по 1 ч. л. кедровых орешков;
- трижды в сутки за 30 мин. до еды принимайте отвар цикория, приготовленный таким способом: 0,5 ч. л. измельченного сухого корня этого растения залейте 250 мл кипятка, проварите 15 мин. (разовая доза — 100 мл);
- употребляйте настой шиповника: 50 г плодов заварите 0,5 л кипятка (в термосе), выдержите 12 часов, принимайте до 4 р. в сутки по 1 ст.;
- отвар из шалфея: 1 ст. л. травы залейте 300 мл крутого кипятка, оставьте на полчаса, положите 1 ч. л. меда, дайте настояться еще 30 мин., эту порцию нужно выпить утром на пустой желудок;
- съедайте в день 5-6 абрикосовых косточек.
При любых заболеваниях печени, включая ее ожирение, лечение народными средствами предполагает использование овса. Рецептов множество. Можно взять 1 ст. неочищенных семян, высыпать их в 1 л кипящей воды. Прикрыть крышкой. Оставить на 30 минут. Пить этот настой следует 3 р. в день по половине стакана.
Лечебный состав из овса готовят и на молоке. Нужно взять 1 ст. овса, залить его литром молока, поставить на слабый огонь, нагреть до кипения. Проварите еще четверть часа, охладите, процедите. Выпейте отвар в течение дня в три приема равными порциями.
Важно! Наиболее полезны запаренные зерна без термообработки!
Ожирение печени диет. Пример меню на неделю
Из разрешенных продуктов, возможно приготовить разнообразные блюда, причем пациент может комбинировать продукты в любом соотношении. При 5 столе важно учитывать обязательное количество веществ, которые обязательно должны поступать в организм, исключать запрещенные продукты. Диета при гепатозе печени стол №5, пример меню на неделю:
Понедельник | Овсяная каша на молоке, с добавлением ягод или фруктов, чай; | Куриный суп и тост из черного хлеба, тушеная капуста и паровые котлеты, компот; | Творожная запеканка, компот; | Тушеная курица, овощной салат, морс; |
Вторник | Фруктовый салат, заправленный нежирным йогуртом, травяной отвар; | Суп-пюре из овощей, гречневая каша, тушеная курица с овощами, кисель; | Галеты, кисель; | Запеченный картофель, свинина, морс; |
Среда | Манная каша, сухарик из черного хлеба с медом, чай; | Диетический борщ (без поджарки овощей), запеченная свинина, тушеная капуста, компот; | Творог с фруктами, морс; | Диетические голубцы, травяной чай; |
Четверг | Омлет с добавлением сыра, морс; | Рагу из овощей с паровыми котлетами, салат, кисель; | Фруктовый салат, чай; | Ленивые вареники со сметаной, компот; |
Пятница | Гречневая каша с нежирным молоком, компот или морс; | Рыбные котлеты, пюре, салат из овощей, морс; | Омлет, любой фрукт, чай; | Паровые котлеты, салат из овощей, морс; |
Суббота | Творог с фруктами или медом, чай; | Уха, запеченная курица с овощами, компот; | Творожная запеканка, фрукты, компот; | Лапша с запеченной курицей, морс; |
Воскресенье | Рисовая каша, тост с конфитюром, травяной кисель; | Суп-пюре из овощей, запеченная рыба с рисом, чай; | Овощной салат, тост с сыром, морс; | Ленивые вареники с конфитюром, кисель. |
Ожирение печени форум.
Алекса, обычно слова « жировой гепатоз» или «стеатоз» печени идут в диагнозе в самом конце, после основного диагноза, как довесок.
Так что может быть все-таки диагноз был?
Действительно, универсальным препаратом для лечения стеатоза является эссенциале, еще используют фосфоглив – если нужна иммуномодуляция, либо иногда прицельно назначают вариант «эссенциале форте». По потребности, исходя из липидного спектра крови – добавляют препараты типа «Цитрат бетаина бофур», то есть бетаиновые компоненты. Если позволяет сердечно-сосудистая система и лабораторные показатели печени – дают пролонгированные формы никотиновой кислоты, либо просто ее прокалывают…
Знаете, я еще могу продолжить писать – ведь зачастую гепатоз может усугубляться приемом некоторых жизненноважных лекарств и человек вынужден чем-то жертвовать – в данном случае это печень; иногда он вылазит совместно с нарушениями обмена холестерина, иногда на фоне желчных камней, болезней поджелудочной железы…
Однако, я еще раз повторюсь, лечение длительное, контроль, если изначально стеатоз был не активным, без повышения цитолитических ферментов (АЛТ. АСТ) - только по УЗИ.
Причем на одном и том же аппарате, с одинаковым показателем яркости экрана.
Так что, ей богу, гастроэнтеролог – это выход.
Только, пожалуйста, не ругайте предыдущего врача. Я например делаю на очень недоброжелательрые отзывы "стойку" в мозгах, так как, работая с гастро пациентами прекрасно знаю особенности их психотипа.
Если же потребность помочь самостоятельно все-таки перевесит - ну тогда действительно это эссенциале по обычной стандартной схеме, 6-8 капсул в день в зависимости от весадлительно, не менее 3-х месяцев. Потом контроль УЗИ.
Ожирение печени от алкоголя. Описание болезни
Наверняка многим удобнее определить наличие лишнего жирка на теле, нежели во внутренних органах. Это не удивительно – не каждый человек может заметить то, что печень начала буквально «заплывать» жиром, при этом, ухудшив собственную работу.

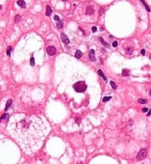
Клетки поражённого органа
Конечно, алкогольное ожирение не относится к смертельным заболеваниям, однако лечить его все-таки стоит сразу после обнаружения первых признаков, поскольку в противном случае болезнь может вызвать сильное усугубление здоровья.
Ожирение печени алкоголика или, по-научному, гепатоз, представляет собой патологию, в результате которой происходит трансформация нормальной и здоровой ткани печени в жировую, при этом, сильно поменяв структуру и состояние органа. Данное заболевание можно отнести к рефлексивной реакции организма на отрицательное действие ряда факторов, главным из которых считается токсическое свойство, вызванное распитием спиртосодержащей продукции. Поэтому частый прием спиртного ведет к быстрому обрастанию печени жиром, лечение которой будет трудным и долгим. Важно: помимо печени, при распитии алкоголя происходит поражение жиром и других органов, к примеру, поджелудочной железы.
Патогенез в органе развивается из-за содержания в нем большого количества триглицеридов в гепатоцитовых клетках, что вынуждает нормальные и здоровые клетки заменяться на жировые.
Если человек постоянно пьет спиртное, повреждения печени и ожирение разовьется у алкоголика уже через 5-8 месяцев (в основном это зависит от общего состояния организма). Особенно быстро алкогольный гепатоз развивается при ежедневном приеме алкоголя, когда концентрация этанола в токе крови достаточно высокая. А если она еще будет постоянно присутствовать у пьяницы, это вызовет скорейшее поражение органа.
Долгое отсутствие лечения ожирения алкоголем несет необратимые последствия для человека. К примеру, это может быть фиброз или цирроз печени . Доктора советуют начинать лечение ожирения при накоплении в органе жира, составляющего 9-12% об общей его массы. В противном случае болезнь вызывает неприятные для здоровья последствия.





Комментарии(1)
Я думаю, если это действительно ожирение печени, тут поможет только врач и лекарственные средства. Но в целом в совокупности и гепатрин рекомендую. Он восстанавливает клетки печени за счёт эссенциальных фосфолипидов в составе....вообще качество самое лучшее.
Написать комментарий