После падения хруст и боль в плече при движениях. Дегенеративные поражения сустава
- После падения хруст и боль в плече при движениях. Дегенеративные поражения сустава
- Почему хрустит плечо и болит. В чем причина неприятного хруста?
- Упал на плечо больно поднимать руку вверх. Что нужно знать о ушибе плеча
- Хруст в плечевом суставе при поднятии руки. Плечелопаточный периартрит
- Боль и хруст в плече при поднятии руки. Симптомы возможных заболеваний
- Хруст в плечевом суставе при вращении. Причины хруста в плечах
- Хрустит плечо при вращении без боли. Лечение
- Что делать, если болит плечо и рука не поднимается. Травмы плеча
- Хрустит плечо при вращении, что делать. Остеоартроз
После падения хруст и боль в плече при движениях. Дегенеративные поражения сустава
Артроз плечевого сустава характеризуется хроническими разлитыми болями с преимущественной локализацией в глубине сустава. Вначале боли периодические, неинтенсивные, тупые, ноющие, тянущие, появляются в начале движений, после значительной нагрузки. В последующем болевые ощущения становятся более длительными, иногда – жгучими, дергающими, опоясывающими. Сохраняются в покое, возникают по ночам, сопровождаются хрустом, сочетаются с нарастающим ограничением подвижности.
При артрозе ключично-акромиального сочленения боль ощущается над плечевым суставом, в дистальной части надплечья. Болевые ощущения хронические, имеют ту же динамику, что при артрозе плечевого сустава, но отличаются четкой локализацией и более поверхностным расположением, усиливаются при надавливании на акромиальный конец ключицы, приведении согнутого плеча к корпусу.
Синовиальный хондроматоз возникает после травм либо без внешних причин, характеризуется волнообразной тупой болью умеренной интенсивности, нередко усиливающейся по ночам. Возможны кратковременные сильные стреляющие боли и внезапные ограничения движений вследствие блокады сустава хондромными телами.
Асептический некроз головки плеча (болезнь Хасса) встречается редко, на начальном этапе проявляется непостоянными тупыми тянущими или давящими болями при движениях. Примерно в течение года длительность и интенсивность болей постепенно нарастают, потом болевые ощущения появляются в покое, функция конечности ограничивается.
Почему хрустит плечо и болит. В чем причина неприятного хруста?
Хрустящее плечо говорит о проблемах в лопаточно-грудном сочленении. Они возникают из-за повторяющихся физических нагрузок, когда человеку нужно часто поднимать руки вверх. При патологиях в грудной клетке и возникает боль. Также хруст часто присутствует у людей с искривленным позвоночником.
Основные причины хруста так или иначе связаны с различными болезнями опорно-двигательного аппарата. Вот основные из них:
- Периартрит – воспаление сухожилий и капсулы плечевого сустава. В этом случае человек испытывает сильную боль. У большинства больных сопровождается хруст в плече при движении. Особенно часто хрустят плечи у людей с травмами или у спортсменов.
- Сколиоз – искривление позвоночника. Такая патология часто сопровождает боли и хруст в плечах и шее. Из-за того, что позвоночник находится в неправильном положении возникает сильная нагрузка на связки и мышцы всей спины.
- Артроз – хроническое заболевание, при котором наблюдается деградация хряща и потеря гладкости поверхностью сустава. Из-за этого возникает сильная боль и характерный хруст. Сначала они не доставляют проблем, но затем становятся более заметными.
- Артрит – заболевание, связанное с воспалением сустава разной этиологии. При нем часто возникают щелчки. Как правило, артрит появляется с возрастом – после 50 лет.
- Остеохондроз – хроническое заболевание, которым подвержены люди разного возраста, ведущие малоактивный образ жизни. Болезнь сопровождается болями в шейном отделе и плечах. Из-за неестественного положения последних в суставах возникает хруст.
Источник: https://shkola-krasoty.com/stati/vse-o-boli-i-hruste-v-pleche-simptomy-artroza-plechevogo-sustava
Упал на плечо больно поднимать руку вверх. Что нужно знать о ушибе плеча

Ушиб плеча наиболее часто получают вследствие неудачного приземления при падении либо сильного удара твердым предметом. Также ушибить плечо можно при неправильном использовании спортивного снаряжения в тренажерном зале.
Также эту травму можно получить при падении, в результате удара либо во время занятий спортом.
Признаками, по которым можно распознать такую травму, является сильная боль в плече в спокойном состоянии, усиливающаяся при резких движениях корпусом или пострадавшей верхней конечностью.
Сразу же после падения или удара лучше обратиться за врачебной помощью, поскольку ушиб плеча важно дифференцировать от ушиба плечевого сустава, а также вывиха, перелома и иных повреждений мягких или костных тканей.
Неправильное лечение может привести к развитию различных по степени тяжести осложнений и увеличивать срок реабилитации пострадавшего, поэтому даже в легких случаях лучше проконсультироваться с врачом!
Симптомы ушиба плеча
Основными проявлениями ушиба выступают болевые ощущения в травмированной области, присутствующие в спокойном состоянии и усиливающиеся при резких движениях. В тяжелых случаях могут возникать отеки, опухоли и гематомы.
Ушиб области плеча отличают от ушиба плечевого сустава. При первом травмируются только мягкие ткани, нарушения функции сустава не отмечаются. Второй получают в ходе прямого воздействия на сустав, к примеру, при падении на вытянутую руку.
В обоих случаях лечение не имеет особых отличий, однако по ощущениям травма плечевого сустава может сопровождаться более интенсивной болью.
По выраженности проявлений, условно выделяют следующие степени тяжести ушибов:
Первая
Легкие синяки, ссадины и царапины, незначительный дискомфорт при движении рукой. Нет необходимости в специализированном лечении, симптомы в среднем проходят через 3–4 суток
Вторая
Гематомы, сильная боль в поврежденной области, усиливающаяся при движении, может появляться отек и подниматься температура тела
Третья
Кроме сильной боли отмечаются гематомы, возможен вывих плечевого сустава, повреждение сухожилий, связок
Четвертая
Сильная отечность травмированной области, которая может распространяться на окружающие ткани, полное отсутствие чувствительности в плече
Первая помощь
Первое, что следует сделать при ушибе плеча при падении либо в результате удара – осмотреть поврежденную руку. Если обнаруживаются ссадины и царапины – их следует быстро обработать антисептическим раствором во избежание дальнейшего заражения.
Далее нужно попробовать пошевелить пальцами, кистью и рукой. Если двигательная активность вызывает боль, но остается возможной – можно зафиксировать руку при помощи косынки, полотенца, шарфа и т. д. Для этого необходимо согнуть в локте руку под прямым углом и закрепить ее в таком положении подручным материалом на шее.
Если ушибленное место сильно болит, можно использоваться обезболивающие средства нестероидного ряда – "Кетонал", "Нимесулид" и иные. В первые 6–12 часов после падения рекомендуется прикладывать холодные компрессы к месту ушиба.
Пострадавшему даже при легкой травме в дальнейшем важно обратиться за консультацией к врачу - травматологу. В тяжелых случаях первую помощь должен оказывать квалифицированный врач.
Диагностика
В ходе диагностики проводится первичный осмотр пациента и фиксируются симптомы. Также на этом этапе пострадавшего подробно опрашивают о происшествии, в результате которого была получена травма, и отмечают, имеются ли у него сопутствующие патологии.
Чтобы избежать развития осложнений, важно своевременно обратиться за врачебной помощью.
Далее проводят внешний осмотр с пальпацией травмированной области – проверяют, нет ли осколков костей, деформации сустава, гематом, царапин или потери чувствительности.
Если подозревают тяжелое повреждение мышц, суставов, костей или связок, больного направляют на дополнительные инструментальные исследования, к числу которых относятся:
Симптомы ушиба плеча
Основными проявлениями ушиба плеча являются болевые ощущения в травмированной области, присутствующие в спокойном состоянии и усиливающиеся при резких движениях. В тяжелых случаях могут возникать отеки, опухоли и гематомы.Отличия от ушиба плечевого сустава
Ушиб области плеча отличают от ушиба плечевого сустава. При первом травмируются только мягкие ткани, нарушения функции сустава не отмечаются. Второй получают в ходе прямого воздействия на сустав, к примеру, при падении на вытянутую руку.Лечение
Лечение ушиба плеча не имеет особых отличий, однако по ощущениям травма плечевого сустава может сопровождаться более интенсивной болью.Первая помощь
Первое, что следует сделать при ушибе плеча при падении либо в результате удара – осмотреть поврежденную руку. Если обнаруживаются ссадины и царапины – их следует быстро обработать антисептическим раствором во избежание дальнейшего заражения. Далее нужно попробовать пошевелить пальцами, кистью и рукой. Если двигательная активность вызывает боль, но остается возможной – можно зафиксировать руку при помощи косынки, полотенца, шарфа и т.д. Для этого необходимо согнуть в локте руку под прямым углом и закрепить ее в таком положении подручным материалом на шее. Если ушибленное место сильно болит, можно использовать обезболивающие средства нестероидного ряда – "Кетонал", "Нимесулид" и иные. В первые 6-12 часов после падения рекомендуется прикладывать холодные компрессы к месту ушиба.- магнитно-резонансная томография;
- компьютерная томография;
- ультразвуковое исследование;
- ангиография;
- артроскопия;
- артрография;
- рентген.
Хруст в плечевом суставе при поднятии руки. Плечелопаточный периартрит
Если болит и щёлкает плечевой сустав при поднятии руки, то при первичном осмотре травматолог сразу начинает подозревать плечелопаточный периартрит. Эта патология поражает связки, мышцы, сухожилия, синовиальные сумки. В соединительнотканных структурах происходят дегенеративно-дистрофические изменения, провоцирующие реактивный воспалительный процесс. Периартрит может возникать при микротравмировании, например, из-за разовых или регулярных чрезмерных физических нагрузок. Патологию нередко рассматривают, как осложнение шейного остеохондроза, спондилёза, выпячивания межпозвонкового сустава. Для острой формы плечелопаточного периартрита характерны следующие симптомы:
- хруст, щелчки, потрескивание при отведении, подъёме руки;
- боли, усиливающиеся в ночное время и при движении;
- увеличение размеров больного плеча по сравнению со здоровым из-за формирования воспалительного отёка;
- покраснение кожи над суставом;
- иррадиирущий характер боли.
Хорошая новость — сустав при этом не поражен, а только мягкие ткани.На начальных стадиях, пока деструкцией не затронута большая часть тканей, патология хорошо поддается лечению, а прогноз на полное выздоровление — благоприятный. В терапии используются препараты из различных клинико-фармакологических групп. Это НПВС (Кетопрофен, Диклофенак, Нимесулид), миорелаксанты (Сирдалуд, Мидокалм, Баклосан), средства для улучшения кровообращения в плече (Пентоксифиллин, Никотиновая кислота, Эуфиллин). Для устранения острых болей проводятся блокады с новокаином и (или) глюкокортикостероидами. Практически всегда применяются компрессы с димексидом, способствующие рассасыванию отёков.
Боль и хруст в плече при поднятии руки. Симптомы возможных заболеваний
Травмы — ушибы, переломы — определить проще всего. Кроме того, что им предшествует повреждение (например, падение), у них достаточно характерная боль: резкая, усиливающаяся при движении. В случае перелома рука вовсе теряет способность двигаться.
При остеохондрозе боль сначала ноющая и слабая, но при отсутствии лечения — усилится. Она может распространиться на всю руку, начнётся онемение и покалывание пальцев.
Артрит — это воспаление сустава. Часто он наблюдается на обоих плечах одновременно, но может развиться и с одной стороны. Больной участок отекает, становится малоподвижным. Боль резкая, почти нестерпимая.
Артроз обычно наблюдается у пожилых людей. Разрушается хрящ, что приводит к нарушению строения всего сустава, воспалению синовиальной жидкости и ослаблению связок. Боли в плечевом суставе усиливаются при поднятии тяжестей или активном движении. Также больной чувствует дискомфорт при давлении на ключицу или лопатку.
Тендинит — воспаление сухожилий — возникает при чрезмерной нагрузке на конечность. Например, при постоянных занятиях спортом. Боль может быть как ноющая, так и резкая. Главный признак — внезапность каждого приступа. Также снижается подвижность руки.
Воспаление капсулы сустава — капсулит — очень редкое заболевание. При нём сильная ноющая боль ощущается не только в плече, но и в шее и верхней части спины. Ощущения настолько острые, что руку невозможно поднять или завести назад.
При неврите плечевого нерва больной испытывает острую внезапную боль, которая проходит через всё плечо. Его можно спутать с артритом или тендинитом, однако сами суставы при этом полностью здоровы: проблема именно в воспалённом нерве.
Постоянная боль, которая не проходит в течение нескольких недель — признак бурсита . Это воспаление околосуставной сумки — опасный процесс, который без лечения может перейти в хроническую форму.
При инфекциях боли напоминают артрит: начинает воспаляться и разрушаться сустав. И не стоит забывать, что в плечо может отдавать боль от внутренних органов: при ишемической болезни сердца, панкреатите, воспалении лёгких.
Хруст в плечевом суставе при вращении. Причины хруста в плечах
Хруст в плечах при тренировках может быть вызван различными причинами. Во время упражнений в плечевом суставе могут возникать трещины или хруст в результате трения суставных поверхностей друг о друга. Это явление часто связано с наличием воздушных пузырей или жидкости в суставной капсуле.
Одной из причин хруста в плечах является нарушение структуры и функции сухожилий и связок, которые окружают плечевой сустав. Неправильное положение или дисфункция этих структур может привести к появлению трещин и хруста при движении.
Другой причиной хруста в плечах может быть нарушение баланса мышц плечевого пояса. Если определенные группы мышц слишком слабы или слишком напряжены, это может привести к неправильному распределению нагрузки и повышенному трению плечевого сустава. В результате этого могут возникать трещины и хруст в плечах.
Также хруст в плечах может быть вызван избыточным нагружением сустава, особенно при выполнении упражнений с неправильной техникой или слишком большим весом. Если плечевой сустав испытывает излишнюю нагрузку, это может привести к повреждению суставных поверхностей и появлению хруста.
Для избавления от хруста в плечах важно обратиться к специалисту, чтобы определить точную причину этого явления. Физиотерапевт или спортивный тренер смогут провести анализ вашей техники тренировок, оценить состояние мышц и суставов и разработать индивидуальную программу упражнений для укрепления плечевого пояса и предотвращения хруста.
Хрустит плечо при вращении без боли. Лечение
Лечение зависит от диагноза. В любом случае оно бывает консервативным и хирургическим. Чаще при хрусте в плече используется консервативная тактика. Если доминирующим симптомом является хруст, а не сильная боль, невозможность совершения определенных движений или деформация сустава, значит болезнь нетяжелая. С высокой вероятностью улучшить состояние плеча удастся с помощью препаратов и немедикаментозных методов.
Варианты лечения:
- обезболивающие средства;
- внутрисуставные инъекции анестетиков, глюкокортикоидов, гиалуроната, обогащенной тромбоцитами плазмы;
- ортезирование, кинезиотейпирование;
- физиотерапия;
- ударно-волновая терапия;
- массаж;
- функциональный покой;
- лечебная физкультура.
Иногда требуется хирургическое лечение. В Клинике доктора Глазкова все операции проводятся артроскопическим методом. Это малоинвазивная методика, при которой плечевой сустав не вскрывают. Внутрь через крошечные разрезы длиной несколько миллиметров вводят тонкие длинные инструменты с миниатюрной видеокамерой и освещением. Врач выполняет необходимые манипуляции без погружения рук в рану, и контролирует свои действия, отслеживая изображение на экране монитора, которое транслируется изнутри сустава в режиме реального времени.
В ходе операции врач может удалить свободные хрящевые тела, которые являются источником боли и хруста, выполнить шлифовку хряща, удалить воспаленную синовиальную оболочку, стабилизировать плечо, высвободить сухожилие из-под давления, выполнить реконструкцию сухожилий.
Что делать, если болит плечо и рука не поднимается. Травмы плеча
Как правило, любая травма сопровождается болью. При подъеме тяжелых предметов возможно растяжение и разрывы связок плеча, что приводит к нарастающей боли. Движения рукой резко ограничены, убрать руку за спину или ее поднять становится весьма затруднительно. В области плеча присутствует покраснение и отек.
При падении или сильном ударе возможен ушиб сустава, характеризующийся умеренными ноющими болями в плече, которые нарастают по мере движения рукой
Несмотря на ограниченность движений рукой при ушибах, они вполне возможны, хотя и с ограниченной амплитудой. Ушибленная область отечная с присутствующими на коже явными кровоподтеками.
При болях в области плеча или руки, а также ограниченности движений в суставе, необходимо обратиться к травматологу, хирургу и ортопеду, которые проведут тщательное диагностическое обследование для выяснения причины такого состояния и назначат адекватную терапию, в соответствии с симптоматикой заболевания и характером боли.
Боль может быть:
- сильная – провоцируется травмами плеча, защемлением нервных корешков (при позвоночных грыжах), а также острыми воспалениями мышечных сухожилий;
- ноющая – локализация боли в левом плече может указывать на серьезные нарушения в работе сердца (ишемия, стенокардия, инфаркт и т.д.);
- острая – наиболее часто указывает на повреждение сустава при подъеме тяжестей;
- резкая – является показателем развития инфекционного процесса, протекающего в нервных окончаниях сустава, а также вследствие чрезмерных нагрузок;
- постоянная – указывает на серьезный ушиб сустава, иногда с повреждением плеча;
- пульсирующая – возникает при перенапряжении мышц, утративших свой тонус в результате травмирования;
- тупая – наиболее часто возникает при тендинитах;
- жгучая – характерны при воспалительных заболеваниях позвоночного столба, например, остеохондрозах;
- длительная – может указывать на серьезное повреждение костей сустава при ударе или вывихе.
Помимо вышеперечисленных случаев, боли в плече и невозможность приподнять руку наблюдаются при неправильном положении человека во время сна (рука под головой или телом). В этом случае происходит сдавливание нерва и, как результат, все вышеперечисленные симптомы.
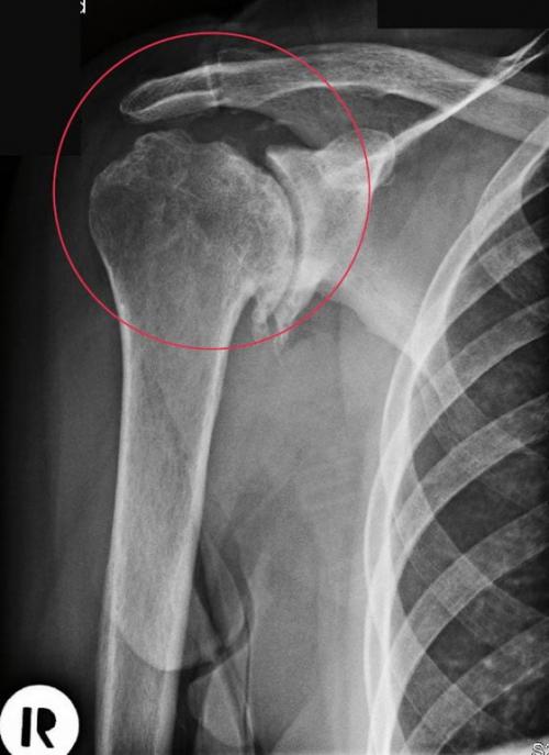
Хрустит плечо при вращении, что делать. Остеоартроз
Плечевой сустав щёлкает при остеоартрозе — дегенеративно-дистрофической патологии. Её развитие провоцируют эндокринные и метаболические нарушения, предшествующие травмы, интенсивные физические нагрузки и низкая двигательная активность. В сочленении начинают разрушаться хрящи, выстилающие поверхности костных головок. Это приводит к разрастанию краёв костных пластинок и формированию остеофитов (наростов) . Они давят на нервные окончания, расположенные поблизости мягкие ткани. Постепенно гиалиновые хрящи истончаются, утрачивают свои амортизационные свойства. Суставная щель частично ил полностью сращивается, плечо обездвиживается. Клиническая картина остеоартроза состоит из таких характерных признаков:
- боли, усиливающиеся при вращении плеча и практически исчезающие на конечной стадии патологии;
- утренняя припухлость сустава и скованность движений ;
- щелчки, возникающие при смещении костных головок на фоне истончения хрящевых тканей.

Обратите внимание на неровные края головки плечевой кости.
Если звуки появляются нечасто и пока не сопровождаются болью, то вполне возможно повернуть патологический процесс вспять. В терапевтические схемы врачи включают НПВС (Нурофен, Фастум, Вольтарен ) в виде мазей, гелей. Обязательно назначается курсовой прием хондропротекторов (Терафлекс, Структум, Артра) в течение нескольких месяцев, физиопроцедуры ( лазеротерапия , бальнеолечение, УВЧ-терапия), регулярные ежедневные занятия лечебной физкультурой.

Реальное фото пораженной хрящевой поверхности.
Боль, возникающая одновременно со щелчками, является информативным симптомом прогрессирования остеоартроза и повреждения значительной части гиалинового хряща. На этой стадии уже невозможно полностью восстановить разрушенные ткани, поэтому основной задачей терапии становится предотвращение распространения патологии. Для устранения болей применяются таблетки с НПВС (Нимесулид, Вольтарен, Ибупрофен), а при их неэффективности — глюкокортикостероиды (Кеналог, Гидрокортизон, Преднизолон). После достижения устойчивой ремиссии пациенту рекомендуется избегать нагрузок на плечевой сустав и заниматься лечебной физкультурой.





Комментарии(1)
Вполне возможно сустав повредили. Неплохо было бы с врачом проконсультироваться. У меня подобная ситуация была...гораздо легче стало, когда начала хонду дринк принимать, поэтому рекомендую. Здесь к тому же высокая дозировка говяжьего коллагена, 8.000 мг, для дополнительного питания суставов изнутри.
Написать комментарий