Колено на ощупь горячее. Основные причины болей в коленях
- Колено на ощупь горячее. Основные причины болей в коленях
- Болит колено опухло горячее. Почему опух коленный сустав?
- Боль в колене сбоку. Болит колено с внутренней стороны
- Боль в колене, как иголкой. Возможные причины болей в колене
- Болит колено лечение. Боль в коленном суставе: причины, лечение, почему болят колени, что с этим делать, как и чем их лечить
- Опухло колено, но не болит. Почему опухло колено
Колено на ощупь горячее. Основные причины болей в коленях

Многие годы пытаетесь вылечить СУСТАВЫ?
Глава Института лечения суставов: «Вы будете поражены, насколько просто можно вылечить суставы принимая каждый день средство за 147 рублей …
Читать далее »
Как правило, боль – это симптом поражения самих суставов, но так бывает не всегда. Вот основные причины, из-за которых часто возникают болевые ощущения:
НАШИ ЧИТАТЕЛИ РЕКОМЕНДУЮТ!
Для лечения суставов наши читатели успешно используют Sustalaif . Видя, такую популярность этого средства мы решили предложить его и вашему вниманию.
Подробнее здесь…
- Артроз коленного сустава (гонартроз) – дегенеративный процесс разрушения суставных тканей, при длительном течении вызывает деформацию, лишает сустав подвижности.
- Артрит коленного сустава (гонартрит, гонит) – воспалительное заболевание. Может быть как самостоятельной патологией, так и симптомом или осложнением других болезней.
- Менископатия – повреждение мениска. Проявляется как резкая боль, возникшая после травмы (иногда совсем незначительной – одно неловкое движение). Если не лечить – проблема переходит в хроническую форму и может стать причиной деформирующего артроза коленного сустава.
- Сосудистые боли – не являются суставной патологией, но с такой проблемой на прием к ортопедам попадает до 10% пациентов. Дискомфорт возникает из-за нарушения кровообращения в суставах и может сопровождать человека всю жизнь.
- Воспаление сухожилий коленного сустава (периартрит) – проявляется дискомфортом в области внутренней стороны колена, усиливающемся при подъеме и спуске по лестнице. Чаще всего болеют женщины старше 40 лет, страдающие лишним весом.
- “Отраженные” боли при артрозе тазобедренного сустава (коксартрозе). В данном случае сами колени не страдают, объем движений в них не снижается, на рентгеновских снимках не видно никаких изменений. Подобные симптомы развиваются у 3 – 4% больных, страдающих коксартрозом.
Болит колено опухло горячее. Почему опух коленный сустав?
Причин, почему заболел и распух коленный сустав, достаточно много. Здесь перечислены лишь основные из них.
Травма коленного сустава
Наиболее частая причина повреждения коленного сустава – его травмирование во время занятий спортом и физкультурой. Это особенно характерно для хоккеистов, фигуристов и футболистов. Механизм травмы заключается в том, что тело вращается по инерции при фиксированной стопе. При этом в коленном суставе бедренная кость движется вокруг своей оси, а большеберцовая кость остается на месте. В результате происходит растяжение и даже разрыв связок с соответствующей клинической картиной:
- Резкая боль в колене как спереди, так и сзади.
- Нарастающий отек, пациент замечает, что коленный сустав опух.
- Затруднение или невозможность сгибаний в коленном суставе, поскольку они сопровождаются сильной болью.
- Может быть изменение цвета кожи от бледно-розового до багрово-синюшного (при повреждении кровеносных сосудов и возникновении подкожной гематомы).
Разумеется, спортивная травма – не единственная причина повреждений коленного сустава под действием внешних факторов. Удар в область колена (например, при падении) может закончиться переломом надколенника и разрывом сухожилий, что потребует более серьезного обследования и лечения.
Гонартроз
Под термином « гонартроз » подразумевается дегенеративно-дистрофический процесс в тканях коленного сустава. Суставной хрящ истончается, обызвествляются связки, снижается прочность костной ткани, по краям костей образуются остеофиты (острые выросты). Как правило, гонартроз развивается у пожилых лиц, в особенности у женщин в период менопаузы.
Заболевание проявляется следующими симптомами:
- боль и отек в области коленного сустава.
- затруднения при сгибании ноги в колене и при ходьбе.
- чувство скованности в коленях.
- ощущение «щелчка» и «хруста» при движениях.
Значимым фактором риска развития гонартроза является ожирение. Избыточная масса тела повышает нагрузку на коленный сустав, что приводит к его более быстрому «износу».
Аутоиммунные заболевания
При системных заболеваниях соединительной ткани, таких как ревматоидный артрит, ревматизм, системная красная волчанка и другие, может развиваться воспаление коленного сустава, или артрит. Это состояние тяжелее, чем артроз, требует длительного наблюдения у ревматолога и долгосрочного лечения гормональными препаратами, чтобы остановить патологический процесс. Кроме того, не исключен процесс, когда артроз сопровождается артритом.
Инфекционные заболевания
Нередко поражение коленного сустава наблюдается при инфекционных заболеваниях. Теоретически любая заразная болезнь может привести к такому осложнению, особенно вирусная.
Однако при некоторой патологии изменения со стороны суставов, в том числе и коленного, выходят на первый план:
- Псевдотуберкулез, протекающий с желудочно-кишечными расстройствами, сыпью и артритами.
- Бруцеллез, профессиональное заболевание ветеринаров и лиц, общающихся с крупным рогатым скотом. Проявляется длительной лихорадкой, множественным поражением суставов, изменениями психики и бесплодием.
- Боррелиоз – болезнь, вызываемая бактериями и передаваемая с укусом клеща. Имеет чрезвычайно богатую клиническую картину с поражением головного мозга, кожи, сердца и суставов.
- Синдром Рейтера – одно из проявлений хламидийной инфекции, встречающееся преимущественно у мужчин. Характеризуется сочетанным поражением крупных суставов, патологией со стороны глаз и уретритом (воспалением мочеиспускательного канала).
- Костно-суставной туберкулез, при котором возможно развитие гонита – изолированного поражения коленного сустава с его прогрессирующим разрушением.
Бурсит
Иногда встречается бурсит , или воспаление околосуставной сумки, которых у коленного сустава достаточно много как спереди, так и сзади. Заболевание проявляется болью в области колена, его отеком, а также трудностями при движениях.
Источник: https://zdorovaya-eda.com/produkty/koleno-teploe-i-bolit-goryachee-koleno
Боль в колене сбоку. Болит колено с внутренней стороны
Стреляющая, ноющая боль в колене иногда посещает даже самых здоровых людей. Неприятные ощущения с внутренней стороны указывают на возникновение заболеваний мениска, хрящевых тканей или повреждение сухожилий. Подвержено таким болям большинство людей, начиная от профессиональных спортсменов, заканчивая надомными работниками.
Симптомы боли в колене сбоку с внутренней стороны
Человек может испытывать болевые ощущения с внутренней стороны колена разного характера. Тип и серьезность повреждения влияет напрямую на интенсивность болей. Часто человек начинает жаловаться на приходящий дискомфорт в коленном суставе после интенсивных тренировок. Неприятные чувства более активно проявляются ночью. Иногда эти ощущения приходят непосредственно при выполнении упражнений. Через некоторое время боль с внутренней стороны станет сильной и будет беспокоить постоянно. Источник неприятных ощущений может быть следующим:

- Повреждение связок . Непосредственно в сам момент повреждения будет слышен хруст или щелчок (треск), далее последует резкая, острая боль с внутренней стороны колена.
- Тендинит коленного сустава или повреждение сухожилия. Люди, которые занимаются бегом, велосипедисты, лыжники подвержены такому виду травм. Происходит воспаление, раздражение сухожилия, что провоцирует боль в коленном суставе спереди и внутренней стороны во время прыжков, бега, подъема по лестнице, приседания на корточки. Максимально неприятные ощущения будут при вращении колена. При окончательном разрыве сухожилия человек теряет способность ходить.
- Повреждение мениска . При постепенном разрушении волокон боль будет умеренная, может возникнуть опухоль в течение 2 суток. При истончении тканей во время движения может появляться сильная боль внутри колена (под коленной чашечкой). Проблема лечится только хирургическим путем.
- Бурсит . Некоторые повреждения колена провоцируют воспалительный процесс в сумке с синовиальной жидкостью, которая обеспечивает связкам и сухожилиям скольжение в местах соединения. Патология этой области приводит к сильной боли, когда человек встает на колени, присаживается на корточки.
- Артрит септический. Иногда происходит заражение сустава из-за чего у человека болит колено с внутренней стороны, может возникнуть опухоль, не дающая согнуть ногу, краснота. Гнойный (септический) артрит сопровождается лихорадкой.
- Считался исключительно возрастным заболеванием, но сейчас его могут обнаружить даже в коленке ребенка. Затрагивает связки, что выливается в постоянное чувство дискомфорта, скованности движений (особенно утром). Происходит деформация коленных суставов. В большинстве случаев одновременно поражаются левое и правое колено.
- Грыжа подколенной ямки, или киста Бейкера . Сопровождается сильной ноющей, тянущей болью с внутренней стороны колена. Оно может опухнуть: возникает отек вследствие воспалительного процесса.
- Периартрит коленного сустава . Чаще возникает у женщин, вызывает воспалительный процесс околосуставных тканей. Характеризуется резкой болью во время приседаний, ноющей болью при изменении положения, в состоянии покоя.
Боль в колене, как иголкой. Возможные причины болей в колене
Все состояния организма, приводящие к болевому синдрому в коленях, могут быть взаимосвязаны или являются следствием друг друга.
Существует несколько групп заболеваний, вызывающих боль в левом или в правом колене:
Особенности строения сустава, воспалительные или дегенеративные болезни:
- Гонартроз. Составляет около половины всех случаев болей в коленях, развивается медленно (в течение многих лет). В начале течения артроза человека беспокоят боли при подъеме по лестнице, при длительной ходьбе или другой нагрузке, вставании из положения сидя на корточках. Боль в покое, как правило, отсутствует. Заболевание сопровождается хрустом в колене, чувством сжатия сустава, снижением его подвижности и прогрессирует с возрастом. Со временем ткани гиалиновых хрящей изнашиваются, расстояние между костями уменьшается, вследствие чего происходит разрастание костных остеофитов, сдавливание нервов и сосудов.
- Менископатии, кисты менисков. Как правило, боли появляются в одном коленном суставе. Болезни менисков развиваются после застарелой травмы или хронического повреждения колена, протекая по хроническому типу. Во время обострений боли носят сильный, резкий, пульсирующий характер и могут быть довольно сильными. Менископатии и кисты мениска не опасны деформацией костей сустава, но могут провоцировать воспалительные явления в синовиальных сумках или постепенное присоединение гонартроза.
- Артрит. Изолированное воспалительное поражение коленного сустава – довольно редкое явление, чаще наблюдающееся среди молодых пациентов. В большинстве случаев разные виды артрита колена (псориатический, ревматоидный, инфекционный, ювенильный, реактивный) становятся первым этапом в развитии полиартрита нескольких суставных групп. Характерная особенность этой разновидности болезней – опухание и покраснение сустава, усиление боли ночью, при смене погоды, в покое.
- Нарушения кровообращения коленного сустава. Могут появляться у подростков в период быстрого роста. Со временем интенсивность «сосудистых» болей снижается. Такие ощущения, как правило, не распространяются на всю зону сустава, а имеют конкретную точку локализации, усиливаются при переохлаждении или после нагрузок, устраняются после легкого массажа колен.
- Периартриты, тендиниты (воспаления сухожилий). Периодическая боль появляется при подъеме вверх по лестнице, ношении тяжестей. Обычно неприятные ощущения наблюдаются под коленом или с задней стороны конечности в области колена. Со временем развивается тугоподвижность сустава, повышение чувствительности зоны к пальпации.
- Бурсит коленного сустава. Воспаление одной или нескольких суставных сумок приводит к покраснению колена, отеку и снижению двигательной активности.
- Синовит. Воспалительные процессы в синовиальной оболочке – нередкое осложнение артритов, бурситов или гонартроза. Синовит может быть асептическим и гнойным и сопровождаться жгущей болью, припухлостью сустава.
- Хондропатия надколенника. Болезнь, при которой протекают дегенеративные изменения хряща надколенника, связанные с его некротизированием. Причиной подобного состояния становится давняя травма или хронические повреждения надколенника (например, в силу особенности профессии). Боли усиливаются при любой активности колена, отчетливо слышны хруст, щелчки, треск в области сустава. Опора на колено становится практически невозможной.
- Хондроматоз. При этой болезни формируется множество хрящевых узелков в оболочке суставной сумки. Хондроматоз приводит к ограничению активности сустава, его обезображиванию, сильным болям вследствие защемления тканей.
- Остеохондрит коленной чашечки. В этом случае гиалиновый хрящ отслаивается от суставных поверхностей. Интенсивность болей в колене на начальном этапе низка. При развитии болезни присоединяются воспалительные явления, усиление болей; полное отделение тканей хряща приводит к блокаде сустава.
- Опухоли костей (злокачественные и доброкачественные). Причина неприятных ощущений в суставе в этом случае – разрастание образования и сдавливание им мягких тканей.
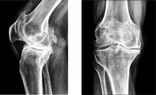
Болит колено лечение. Боль в коленном суставе: причины, лечение, почему болят колени, что с этим делать, как и чем их лечить
На изображении справа заметно сращение суставной щели.
Коленный сустав является одним из самых крупных и сложных. Ежедневно он подвергается огромной нагрузке, поэтому неудивительно, что периодически он перестает функционировать нормально.Если, причем боль практически постоянная, то необходимо обязательно. Такое патологическое состояние может быть сигналом о развитии одного из, деформирующего сустав. Естественно, необходимо научиться различать ситуации, когда визит к врачу очень нужен. Но отсутствиеили самостоятельная терапия может привести к осложнениям.
Строение коленного сустава
Важно знать! Врачи в шоке: "Эффективное и доступное средство от боли в суставах существует…"…
Чтобы лучше понять, почему болят колени, нужно разобраться с их анатомией. Итак, сочленение состоит из бедренной, большой берцовой кости и коленной чашечки. Две самые большие кости имеют по два выступа: внутренний и наружный мыщелки.

Все поверхности, которые соприкасаются друг с другом, покрыты гиалиновым хрящом. Благодаря ему обеспечивается подвижность коленного сустава, его амортизационные свойства. Вокруг этого соединения костей находится своеобразная капсула, изнутри выстланная синовиальным слоем. Она наполнена, благодаря которой производится питание сочленения, обеспечивается его подвижность.
Коленный сустав состоит не только из костей. Все его элементы объединяются крестообразными и коллатеральными связками, бедренными мышцами, сухожилиями. Коленная чашечка крепится к другим элементам посредством собственной связки. Для того чтобы колено двигалось, необходимо 6 синовиальных сумок. Питание и иннервация представленного сустава осуществляется посредством нервов и кровеносных сосудов, которые размещены в мягких тканях, окружающих сустав.
Боль в коленном суставе: причины появления
Если колено стало болеть, появился отек, подвижность ограничена, а дискомфорт является достаточно сильным, необходимо срочно обратиться к врачу. Если деструктивный процесс уже начался, то полностью вылечить колено будет невозможно. Однако остановить или замедлить его прогрессирование удастся.
Итак, можно выделить такие причины боли в коленном суставе:
- гонартроз . Он встречается практически в 50% всех случаев поражения сочленения. Патология развивается очень долго. Среди симптомов этой болезни можно выделить такие: колено не болит в состоянии покоя, однако человеку становится трудно, долго ходить,. Во время движения больной слышит, у него снижается подвижность. Со временем, вследствие изнашивания хряща, расстояние между костными поверхностями уменьшается. При этом появляются, нервы и сосуды сдавливаются, а само колено деформируется;

Гонартроз коленного сустава на рентгене.

Опухло колено, но не болит. Почему опухло колено
Колено опухло: причины и лечение
Человеческие колени каждый день подвергаются невероятной нагрузке. Ничего удивительного нет в том, что они периодически болят. Чем старше человек, тем боль в этих местах сильнее. Со временем суставы теряют свою эластичность и вызывают дискомфортные ощущения.
Колено человека имеет сложную структуру:
- Мениски — представляют собой прокладку между двумя составляющими колена. Их главной задачей является распределение нагрузки.
- Мышцы — обеспечивают суставу подвижность, позволяют ходить.
- Кости (бедренная, большеберцовая, коленная) — являются основой колена. На каждой из них имеется суставные поверхности — мыщелки.
- Нервы — обеспечивают двигательную функцию и чувствительность.
- Сосуды — отвечают за кровообращение.
- Связки — скрепляют между собой две кости. Состоят из соединительной ткани, имеют очень плотную консистенцию.
Болевые ощущения не всегда говорят о болезни, а вот если колено опухло, то это уже явно не считается нормой и говорит о неполадках в организме. Данный симптом может возникать при травме, заболевании или проникновении инфекционных агентов.
Основные заболевания, которые могут вызвать опухоль и отек коленей:
- Венерические заболевания.
- Остеомиелит.
- Бурсит.
- Артрит.
- Ревматоидный артрит.
- Подагра.
- Остеопороз.
- Синовит.
- Опухоли костей.
- Туберкулез.
- Воспалительные заболевания.
Такое заболевание, как бурсит, обычно возникает вследствие травмы и проникновения внутрь инфекции. К основным симптомам относят:
- Внутри сустава при обследовании обнаруживается кровь.
- Дискомфорт.
- Повышенная температура тела.
- Скованность движений.
- Отечность.
Если колени опухли и болят, то это может быть началом бурсита. Для его диагностики берут специальную пункцию из сустава. В случае выявления заболевания из колена удаляется вся жидкость. После чего внутренняя часть промывается с помощью антисептиков. В сустав вводят специальные растворы:
В период лечения ограничивают двигательную активность и фиксируют колено с помощью специального приспособления.
Данное заболевание является застарелой формой растяжения, разрыва связок. Чаще возникает на одной ноге. Если колено опухло и болит, поднялась температура тела, присутствует скованность сустава, возможно, это синовит. Этот недуг может появляться не только вследствие травмы, а как реакция на другие воспалительные заболевания. Например, на туберкулез.
Если у человека периодически опухают колени, причины этого явления чаще всего кроются в артрите. Это воспалительное заболевание. Зачастую поражает не только коленные суставы, но и многие другие. Период обострения обычно до 10 дней. Если речь идет о ревматоидном артрите, тогда симметрично поражаются оба колена.
Симптомы артрита:
- Повышение температуры тела в районе поражения и общей.
- Боль и скованность в суставах.
- Слабость, потеря аппетита.
- Кожа над пораженным суставом краснеет.
- Постепенно больные суставы атрофируются.
Травмы коленей
Очень часто боль и отек коленей является самостоятельным заболеванием. Возникает в результате повреждения. Если колени опухли и болят, то это может говорить о развитии одного из следующих заболеваний:
- Повреждение мениска — разрыв мениска в какой-либо его части. Может вызывать сильную или умеренную боль. В основном лечится хирургическим способом. Если повреждение вызывает умеренный дискомфорт, может быть назначено медикаментозное лечение.
- «Свободное тело» — отколовшийся кусочек хряща или кости, который находится в коленной жидкости. Возникает вследствие травмы. Может длительное время себя никак не проявлять, пока не столкнется с коленным суставом.
- Смещение коленной чашечки — если внезапно разболелось и опухло колено, причины могут крыться в смещении коленной кости. Чаще всего это происходит само по себе, например, при неудачном повороте ноги. Для профилактики смещения выполняют ряд упражнений, направленных на укрепление мышц колена.
- Расширение коленного сустава — физическое повреждение, деформация сустава.
- Тендинит — повреждение сухожилия, которым прикрепляется мышца к кости. Обычно при таком заболевании боль ощущается не всегда, а при определенном положении ноги.
- Септический артрит — главным симптомом считается опухоль колена. Возникает в результате проникновения инфекции.








Написать комментарий