Нити мицелия на коже. Нити мицелия
- Нити мицелия на коже. Нити мицелия
- Нити мицелия в кале. Что такое нити псевдомицелия?
- Нити мицелия на языке. Клиническая картина распространения грибка на языке
- Нити мицелия заразны. Как лечить нити мицелия
- Мицелий у человека на ногтях. Причины возникновения патологии
- Нити мицелия в мазке, как лечить. Что означает мицелий в мазке у мужчин?
Нити мицелия на коже. Нити мицелия
Нити мицелия иногда выявляются в мазках или соскобах с кожи, ногтей, половых органов.
Они могут появляться при различных инфекционных заболеваниях, вызванных грибками.
Если выявлены нити мицелия на коже, это признак грибкового её поражения.
У разных грибков мицелий выглядит по-разному.
После микроскопического исследования обычно доктор может определить, какой вид или хотя бы род грибов вызвал воспаление.

Мицелий обнаруживается чаще всего при дерматофитии.
Также может выявляться псевдомицелий.
Его вероятные причины – кандидоз и отрубевидный лишай.
Все эти заболевания имеют грибковое происхождение.
Возможная локализация поражений:
- стопы;
- волосистая часть головы;
- кожные складки;
- половые органы и
- ротовая полость;
- ногти;
- гладкая кожа туловища и конечностей.
Нити мицелия у ребенка на голове
Как у детей, так и у взрослых дерматофиты могут поражать кожу головы.
Это заболевание называют стригущим лишаем.
Характерные признаки:
- очаги облысения;
- нагноение;
- образование узлов;
- шелушение.
Без лечения возможна рубцовая алопеция.
Волосы в зоне локализации рубцов больше не вырастут никогда.
Возбудителем в 90% случаев является Trichophyton tonsurans.
Болеют в основном дети 6-10 лет.
У взрослых патология развивается редко.
Заражаются дети от:
- больных людей;
- животных;
- через загрязненные спорами грибков предметы.

Все грибы, которые могут вызывать заболевание, делятся на эктотриксы и эндотриксы.
Первые поражают мозговое и корковое вещество волосяного стержня.
Гифы попадают в кутикулу, она разрушается.
Эндотриксы кутикулу не повреждают.
Болезнь может сопровождаться себорейным дерматитом.
Осложнения:
- керион – тяжелое воспаление волосяных фолликулов с образованием узлов;
- фавус или парша – на голове появляется твердая корка, болезнь сопровождается рубцеванием.
Мицелий при трихофитии выглядит как сплетение тонких нитей.
Они представляют собой гифы.
Внутри них визуализируются перегородки.
Они называются септами.
Лучше всего мицелий выявляется при обработке раствором КОН с концентрацией от 10 до 30%.
Показан также осмотр под лампой Вуда.
В случае поражения волосистой части головы грибками Microsporum или Trichophyton свечение будет зеленым.
Диагноз может быть подтвержден с помощью культурального метода.
Дерматофиты высеивают на питательные среды.
Для этого используют кожные чешуйки или волосы.
Нити мицелия в кале. Что такое нити псевдомицелия?
Нити псевдомицелия в кале свидетельствуют о грибковом поражении кишечника (кандидозе), к развитию которого приводит появление на всей протяженности кишечника или в отдельных его отделах грибов рода Candida. Вернее сказать, эти микроорганизмы всегда присутствуют в организме человека, но активизироваться начинают только при появлении благоприятных условий. Именно факторы патогенности ("опасности") грибковой инфекции оказывают прямое влияние на особенности протекания недуга. Если вам знакома "молочница", развитие которой провоцируют все те же грибковые микроорганизмы, то просто знайте, что они же являются и возбудителями кандидоза (молочницы) кишечника .
Нити псевдомицелия, которые нашли в вашем кале, появились в результате прикрепления клеток гриба Кандида к эпителиоцитам и последующей их трансформации в нитевидную форму. Основная опасность нитей псевдомицелия заключается в их способности внедряться в ткани слизистой оболочки кишечника, а за счет секреции фосфолипаза и аспартилпротеиназа вызывать некроз тканей организма.
Поскольку грибок Кандида распространен и в быту, и в природе, нет ничего удивительного в том, что любой может рано или поздно заразиться. В преимущественном большинстве случаев вспышки кандидоза кишечника появляются в странах с влажным и теплым климатом, т.к. это идеальные условия для жизнедеятельности гриба. Чаще всего кандидозом кишечника страдают дети младшего возраста и пожилые люди. По половым признакам заболевание никак не различают, ведь и мужчины, и женщины имеют в данном случае одинаковые условия для заражения. Однако заболевших всегда объединяет одна общая черта – сниженный иммунитет. Защитные функции организма выполняются слабо, поэтому влияние негативных факторов внешней среды усиливается, а как результат – и бурная жизнедеятельность грибковых микроорганизмов.
Если в кале нити мицелия обнаружены в большом количестве, это говорит о достаточно высокой концентрации патогенных грибов в кишечнике. Следовательно, ваш ослабленный организм и недостаточное количество полезных бактерий, которые никак не борются с грибками рода Кандида, являются идеальными условиями для развития активной жизнедеятельности "вредных" микроорганизмов.
Нити мицелия на языке. Клиническая картина распространения грибка на языке
Грибковое поражение слизистой оболочки рта и языка называют Кандидоз или молочница. Инфекционное заболевание встречается не только у новорожденных младенцев, но и у взрослых людей, под влиянием некоторых факторов, которые рассмотрим. Как правило, грибок на языке встречается довольно часто, его легкую форму можно встретить у курильщиков, людей с проблемами пищеварения и диабетиков.
Условия и симптомы возникновения
Микотическое поражение ротовой полости, как правило, вызывает грибок Кандида, относящийся к дрожжевым грибам-сапрофитам.
Увеличение численности его спор возникает при условиях:
- эндокринных заболеваний;
- длительной терапии антибиотиками, приводящей к дисбактериозу и нарушению кишечной флоры;
- нарушения правил личной гигиены;
- ослабленного иммунитета в результате хронических заболеваний, некорректного лечения, младенческого возраста, гормональных нарушений.
Грибок на языке возникает как самостоятельное явление при заядлом курении:
- язык курильщика покрывается светло-коричневой пленкой;
- налетом крупиц, устилающих слизистую языка.
Налет плохо удаляется при соскабливании, на месте соскоба часто возникают кровоточащие ранки.
У взрослого человека грибок языка может протекать без симптомов жжения и зуда длительное время, превращая заболевание в хроническую форму.
Симптомы при грибке языка:
- зуд поверхности языка;
- чувствительность к острым, соленым и кислым продуктам;
- небольшая пастозность;
- возникновение ярко-красных пятен, белого налета, пленки;
- образование трещин на языке.
Дрожжевой грибок на языке у ребенка, как правило, возникает параллельно с молочницей ротовой полости.
У детей Кандидоз проходит с образованием творожистого налета на:
- слизистой щек;
- слизистой неба;
- слизистой языка.
На первых порах налет удаляется несложно, но спустя несколько дней на поверхности языка образуется пленка белесого цвета, устилающая слизистые ротовой полости.
Симптомы грибка у детей:
- образование белых крупинок;
- возникновение творожистых масс на языке;
- трещины в уголках рта;
- искажение вкусовых ощущений;
- образование плотной пленки;
- кровоточивость слизистой.
Факторы
Причины возникновения грибка могут скрываться в не вылеченных до конца заболеваниях желудочно-кишечного тракта, дисбактериоза.
Факторы, провоцирующие инфицирование:
- занесение патогена при стоматологическом осмотре или манипуляциях;
- небрежное отношение к гигиене ротовой полости;
- частое курение;
- пренебрежение личной гигиеной;
- употребление в пищу не вымытых овощей или фруктов;
- ВИЧ-инфекция;
- эндокринологические заболевания;
Основная причина, вызывающая развитие грибковой флоры в организме – нарушение иммунной системы, контролирующей развитие и рост сапрофитов.
Второй вариант развития грибковых инфекций – занесение патогена при механическом повреждении кожного покрова, слизистой.
В случае грибкового заболевания ротовой полости, повреждения могут возникнуть при:
- лечении зубов;
- удалении гланд.
Диагностика

Для того, чтобы вылечить микоз, проводят диагностику, включающую взятие анализов.
Диагностика микоза языка:
- соскоб с языка, слизистой ротовой полости;
- анализ крови на сахар;
- биохимический анализ крови;
- соскоб фрагмента пленки с языка для микробиологического исследования.
Заболевания слизистых рта, языка, также, могут быть причиной дисбактериоза кишечника или не вылеченного микоза другого участка тела.
При небрежном соблюдении правил личной гигиены, возможно самозаражение через ротовую полость. Если при этом во рту, на языке или щеках есть механические повреждения, споры грибка заселяют ротовую полость, приводя к возникновению микоза.
Лечение

Терапия грибка если он на языке, включает:
- полоскания;
- антисептическую санацию полости рта;
- применение местных таблеток для рассасывания с фунгицидным действием.
Также меняется система питания и устанавливается более жесткий контроль гигиены тела и полости рта.
Лечение такого недуга как грибок языка при первых, не усугубленных формах микоза, может проводиться за счет применения местных средств:
- антисептической обработки;
- полосканий травами.
Народная медицина
Вполне возможно лечение
народными средствами, среди которых выделяют полоскания:
- отваром коры дуба;
- настойкой календулы;
- раствором пищевой соды;
Может применяться альтернативное лечение при помощи лимона, дольки которого рассасывают на языке после санации полости рта.
Кислая среда губительна для грибковых образований, поэтому чистый лимонный сок значительно подавляет размножение микотической флоры.
Нити мицелия заразны. Как лечить нити мицелия
Может создаться обманчивое впечатление, что грибковые заболевания малоопасны и часто ухудшается только косметическое состояние. Это далеко не так, в запущенных случаях возможно развитие серьезных осложнений. В связи с этим целесообразно проводить лечение микозов только под контролем врача соответствующей заболеванию специальности: дерматовенеролога, инфекциониста, стоматолога и т.д.
Медикаментозная терапия
Лечение нитей мицелия преимущественно осуществляется на этиологическом уровне, симптоматическая терапия направлена на снятие зуда, гиперемии, психического напряжения. При присоединении вторичной инфекции показано применение антибактериальных препаратов. Современная медицина располагает располагает большим числом противогрибковых средств:
- Полиены:
- Нистатин, Леворин – для лечения кандидоза;
- Амфотерицин, Натамицин – препараты широкого спектра действия.
- Аллиламины:
- Тербинафин – антимикотик для терапии онихомикозов, кожного грибка;
- Нафтифин – препарат для местного применения.
- Азолы. Все препараты, кроме Кетоконазола предназначены для локальной терапии.
- Клотримазол, Миконазол, Оксиконазол – лечение различных форм кандидоза, трихофитии, микроспории, эпидермофитии.
- Бифоназол, Кетоконазол. Обладают широким спектром антимикотической активности.
- Триазолы (Флуконазол, Итраконазол) . Противогрибковые средства нового поколения. Низкотоксичны.
- Морфолины: Аморолфин – препарат обширного спектра активности для наружного использования в виде лака, спрея, крема, мази.
- Пиримидины: Флуцитозин – лечение кандидозов, аспергиллезов, криптококкоза.
- Гризеофульвин – узкоспецифичен в отношении эпидермофитии.
- Полиоксины: Никкомицин Z – активен в отношении эндемичных грибков.
- Эхинокандины: Каспофунгин – антиспергиллезный препарат резерва.
Аппаратное лечение
Аппаратное лечение грибка ногтей осуществляется при помощи лазера. Физиотерапия особенно эффективна в рамках комбинированного лечения грибка, так как при отсутствии медикаментозной терапии сохраняется возможность недостаточной эрадикации возбудителя, что вызовет рецидив заболевания. Кроме того, к аппаратным методам можно отнести медицинский педикюр: мицелий грибка удаляется с ногтей механическим способом, после чего наносятся антимикозные средства в виде лаков.
Народные средства
Обращение к опыту народной медицины менее предпочтительно, чем лечение медикаментами. В любом случае рекомендуется консультация специалиста. Мицелий на коже и ногтях можно попытаться лечить при помощи:
- водных и спиртовых растворов прополиса: ванночки или компрессы.
- лука и чеснока: пораженные участки кожи смазываются соком, на ногти накладываются примочки.
- обработки березовым дегтем.
Мицелий у человека на ногтях. Причины возникновения патологии
Преимущественное большинство грибков являют собой одноклеточные или многоклеточные гифы, вместе они образуют грибницу. Если наступают благоприятные условия, гифы начинают прорастать, образовывая нити. С течением времени поражаются все новые и новые участки тканей. Проблема характерна для пациентов любого возраста, занимает порядка 40% от всех случаев заболеваний кожных покровов и ногтей.
Нити мицелия проходят несколько этапов развития, инкубационный период длится до 7 дней. За это время инфекция разрастается, захватывает обширные участки, а старые нити распадаются на огромное количество мелких спор. Без своевременного адекватного лечения начинаются осложнения, возбудитель способен проникать в кровоток, провоцировать опасные нарушения работы внутренних органов.
Инфицирование любым видом поверхностных паразитов возможно при непосредственном контакте с больным человеком. Что касается грибка, благоприятным условием для возбудителя становится сочетание тепла и повышенной влажности. Нити мицелия на своем теле человек может обнаруживать после посещения сауны, бассейна или бани.
Причем не всегда заражение происходит при контакте с носителем грибка, инфекция передается через:
- предметы гигиены;
- обувь;
- полотенца.
Медицине известны случаи, когда грибковой патологией заражались при педикюре, маникюре.
Некоторые виды инфекции человек может вдохнуть в пыльном помещении, при контакте с зараженной почвой. В результате у пациента развиваются воспалительные процессы в костной ткани, органах дыхания.
Передача возможна и половым путем, у женщин мицелии провоцируют молочницу, мужчины же являются только переносчиками. В ряде случаев грибковая инфекция проникает через пищу, при этом патологический процесс развивается на слизистой ротовой полости.
Проблема больше характерна для маленьких детей.
Условно патогенные грибки присутствуют в организме каждого человека с самого рождения, их патологической активности способствует снижение иммунитета, ослабление организма.
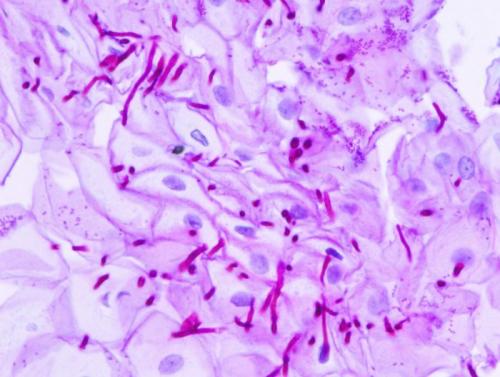
Нити мицелия в мазке, как лечить. Что означает мицелий в мазке у мужчин?

При различных воспалительных заболеваниях мочеполовой сферы у сильного пола следует сделать анализ, который позволит выявить возбудителя патологии. Для исследования достаточно мазка с пораженного органа. Анализ на Кандиды у мужчин следует сдавать при подозрении на кандидозный баланит, цистит и уретрит.
Важно! Нити мицелия в мазке всегда означают наличие грибковой инфекции. В норме их быть не должно, поэтому проводится соответствующая противогрибковая терапия.
Если говорить про мицелий, что это такое в мазке, то это вегетативное грибное тело, то есть колонии грибов. Обнаружить в мазке грибы можно с помощью следующих исследований:
- Нити мицелия выявляют при изучении материала под микроскопом с использованием окрашивания образца. Такой анализ дает 80-процентную точность.
- Грибы Кандида обнаруживаются и без окрашивания исследуемого материала. Но эта методика менее точная (до 70 процентов).
- Также с целью исследования материал помещают в среду, которая является благоприятной для роста грибов. Когда колонии грибов достаточно разрастутся (примерно через 5-7 дней) можно с высокой точностью выявить в мазке грибы (определить их разновидность и чувствительность к тем или иным противогрибковым препаратам).
- Самый точный метод выявления грибов в исследуемом материале – это ПЦР.
Диагноз не ставится только на основании результатов исследования мазка. Врач назначает анализы крови и мочи, которые позволяют выявить эндогенные факторы грибкового заболевания.






Написать комментарий