Строение пальца человека. Особенности строения
Строение пальца человека. Особенности строения
Большой палец не только визуально выделяется от других, но и имеет отличия по функциональности и строению. Он может одновременно взаимодействовать со всеми элементами кисти или противостоять им. Такие особенности объясняются костное строение большого пальца руки, которое включает пять основных элементов:
- Ладьевидная кость. Занимает ключевое положение, в кисти всего восемь таких костей, но отличающихся по форме и назначению. Подвержена переломам.
- Кость-трапеция. Форма практически полностью соответствует названию, относится к дистальному ряду, сочленяется с ладьевидной по вогнутой поверхности.
- Первая пястная. Нумерация соответствует конечности, всего их пять, соединена с трапециевидной.
- Первая фаланга и вторая фаланга большого пальца. Представлены в виде трубчатых костей, разделяются на тело, проксимальный и дистальный конец.
Помните!
Общее костное строение имеет оптимальные размеры, для противопоставления кисти, а также совместной работы.Взаимосвязи с костными элементами и координация движения обеспечивается четырьмя крупными суставами: трапецие-ладьевидным, который способствует движению кости-трапеции, трапецие-пястным, пястно-фаланговыми межфаланговым. Этих связей достаточно для функционирования. Мышечные волокна обеспечивают различные движения большого пальца, выделяют следующие группы:
- Длинный сгибатель. Участвует в сгибании всего пальца, а также ногтевой фаланги.
- Длинная отводящая мышца. Ткани помогают проводить движения всей кистью и отдельно большим элементом.
- Короткий разгибатель. Способствует разгибанию и некоторому отводу фаланги.
- Длинный разгибатель. Помогает разогнуть конечность и немного отвести в сторону.
- Короткая мышца. Отводит большой палец, противопоставляет, способствует сгибанию фаланги.
- Короткий сгибатель. Сгибает фалангу, приводит палец.
- Мышца, помогающая противопоставлять большой палец кисти.
- Мышца, помогающая приводить большой палец к кисти.
Все мышцы в комплексе позволяют осуществлять двигательную активность любой сложности.
Важно!
Кровоснабжение осуществляется лучевой и локтевой артерией. Совместно они образуют дуги, от которых направлены сосуды непосредственно к каждому пальцу.Иннервация организована лучевым нервом, а также локтевым и срединным. Строение большого пальца левой руки также, как и право предполагает нервные ответвления, располагающиеся в том числе между связками и вдоль них.
Строение большого пальца руки. Суставы и связки
Связочный аппарат скрепляет все косточки кисти вместе и представлен связками :
- межсуставными,
- коллатеральными,
- ладонными,
- тыльными.
Строение ладони и большого пальца устроено так, что связки и сухожилия ладонной стороны развиты сильнее, чем тыльные . Тыльные соединяют кости запястья между собой и с пястными костями, удерживают суставы в физиологической норме во время движения, защищают от травм, придают упругость, гибкость кисти руки.
Межкостные связки расположены между отдельными костями на латеральной, медиальной, тыльной и ладонной поверхностях запястья . Большее число связок прикреплено к головчатой кости. Боковая лучевая и локтевая, тыльная и ладонная лучезапястная, а также межзапястные связки удерживают лучезапястный сустав от чрезмерных движений.
Особая связка — удерживатель сгибателей, расположенная на лучевой и локтевой стороне ладонной поверхности , закрывает канал запястья, через который проходят сухожилия сгибателей пальцев, сосуды и срединный нерв.
Связки кисти руки расположены в разном направлении — дугообразно, поперечно и радиально, создают толстый фиброзный слой . Прочность и эластичность связкам обеспечивают плотные волокна соединительной ткани. При повышенном физическом усилии связки кисти могут подвергнуться растяжению, но разрывы происходят редко.
Суставы кисти :
- Среднезапястный сустав — соединяет верхний и нижний ряды косточек запястья, формируя отдельную капсулу. Поверхность сустава имеет неправильную форму. Полулунная кость имеет важное значение оси в этой структуре — вокруг нее совершаются ограниченные движения, стабильность обеспечивают связки.
- Лучезапястный сустав — имеет форму эллипса, образован лучевой костью и мелкими косточками первого проксимального ряда запястья — трехгранной, полулунной и ладьевидной, которые со стороны запястья покрыты сплошной гиалиновой пластиной, образуя единую суставную поверхность. Сустав укреплен со всех сторон связками, обеспечивает круговое вращение, сгибание и разгибание кисти.
- Запястно-пястные суставы — соединяют дистальный ряд костей запястья с основаниями пястных костей, имеют плоскую форму. Малоподвижны из-за хорошо развитых связок. Сустав большого пальца имеет седловидную форму — образован основанием первой пястной и многоугольной костью, совершает отведение, приведение, противопоставление, круговое и обратное движение. Большой палец противопоставлен всем остальным, благодаря этому возрастает объем хватательных движений кисти.
- Пястно-фаланговые суставы — образованы головками пястных костей и основаниями фаланг пальцев, имеют шаровидную форму и три перпендикулярных друг другу оси вращения, вокруг которых выполняется разгибание и сгибание, отведение и приведение, а также круговые движения. Суставы укреплены коллатеральными связками, расположенными по бокам, и удерживают фаланги пальцев. Ладонные связки, переплетаясь с волокнами глубокой поперечной связки, препятствуют расхождению в разные стороны головок пястных костей.
- Межфаланговые суставы — шаровидной формы с разгибательной и сгибательной функцией, соединяют косточки пальцев между собой, помогая удерживать предметы. На четвертых пальцах руки по два сустава, большой палец имеет один межфаланговый сустав, противопоставлен остальным, служит для прижимания к ладони и надежного удержания предметов, головка фаланги имеет блоковидную форму, посередине — вогнутость, основание следующей фаланги имеет две неглубокие, покрытые гиалиновым хрящом поверхности с центральным гребнем посередине.
Строение кисти правой руки. Анатомия кисти. Строение костей кисти.

Добрый день, уважаемые читатели. На уроках анатомии в медицинских университетах иногда пропускают (или просто слегка упоминают) строение кисти. Также на некоторых кафедрах вообще отсутствуют качественные препараты кисти человека.
Разумеется, такое положение дел не может меня радовать — как вы знаете, я являюсь большим поклонником фундаментальной медицины. Именно поэтому я решил разобрать строение костей кисти наглядно и детально, чтобы ни у кого не возникало путаницы в этой непростой теме.
Кстати говоря, кисть является самой подвижной частью человеческого тела. Развитие и усложнение анатомии кисти сыграло не последнюю роль в становлении homo sapiens как самого развитого вида живых существ на планете. Людям доступны сложнейшие хирургические манипуляции, виртуозная игра на музыкальных инструментах и создание настоящих шедевров изобразительного искусства.
Давайте узнаем, из чего состоит этот удивительный инструмент — человеческая кисть — и разберём строение костей кисти.
Классификация отделов кисти
Кисть человека (manus) делится на три отдела:
- Запястье (carpi) ;
- Пястная часть (metacarpi) ;
- Кости пальцев (ossa digitorum) , их часто называют «фаланги».
Кстати, именно от латинского слова «manus» произошли слова «мануальный» и «маникюр».
Я решил немного раскрасить этот скучный рентгеновский снимок. Красным цветом я выделил запястье, голубым — пясть, а зелёным — кости пальцев (фаланги).

Кости запястья (ossa carpi)
К костям запястья относят восемь маленьких плотных косточек, которые располагаются в два ряда — проксимальный и дистальный . Чтобы не запутаться в них, следует придерживаться принципам, которые я описывал в статье о том, как учить анатомию человека .
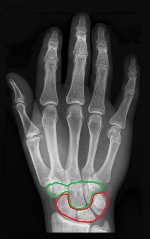
На этом рисунке я я выделил красным цветом проксимальный ряд костей запястья, а зелёным — дистальный.

А теперь давайте сориентируемся на настоящем рентгеновском снимке и попробуем на нём найти проксимальный и дистальный ряды костей запястья (цвета такие же):

Проксимальный ряд костей запястья:
- Ладьевидная кость (os scaphoideum) . Эта кость занимает самое латеральное (самое «лучевое») положение из всех костей проксимального ряда. Также ладьевидная кость является самой крупной костью проксимального ряда. Не перепутайте её с костью-трапецией из дистального ряда, о которой речь пойдёт чуть ниже. Чтобы не случилось такой путаницы, сначала научитесь различать проксимальный и дистальный ряды, а затем уже отдельные кости;
- Полулунная кость (os lunatum) . Дистальная поверхность этой кости очень вогнутая. Именно поэтому она выглядит как половина луны. Правда, это не особо заметно, когда вы рассматриваете всю кисть целиком. Намного лучше эта особенность строения различима, когда вы рассматриваете полулунную косточку отдельно. На препарате вы её можете найти сразу после ладьевидной кости — полулунная кость очень плотно примыкает к ней с медиальной стороны;
- Трехгранная кость (os triquertum) . Название трёхгранной кости также очень характерно — если вы рассмотрите эту кость отдельно, вы отчётливо увидите три грани. Трёхгранная кость занимает самое медиальное (самое «локтевое») положение из всех костей проксимального ряда;
- Гороховидная кость (os pisiforme) . Эта кость — самая маленькая из всех костей запястья. Она очень плотно сочленяется с трёхгранной костью, поэтому вы легко отыщите гороховидную кость, если найдёте самую медиальную кость проксимального ряда (то есть трёхгранную).
Когда вам требуется найти какую-либо кость запястья, первым делом, вы должны отличать проксимальный и дистальный ряды. Давайте сориентируемся на анатомическом планшете, когда кисть руки нам показана условными пальцами вниз.
Первым делом найдём лучевую и локтевую кости. По лучевой кости мы находим сторону, где располагается большой палец, а по локтевой — сторону, где находится мизинец.:

После этого нам нужно отыскать на планшете кости запястья. Это очень легко сделать — восемь маленьких, плотных косточек сильно отличаются от всех остальных костей:

Далее следует разграничить дистальный и проксимальный ряды костей запястья. Этому мы уже научились в прошлом разделе, поэтому проксимальный ряд можно найти без труда (не забываем, что перед нами ладонь, которая расположена условными пальцами вниз):

И теперь, когда у нас расставлены все ориентиры, мы можем сразу же найти, например, ладьевидную кость (os scaphoideum). Помним, что она:
- Располагается в проксимальном ряду;
- Занимает самое «лучевое» положение;
- Является самой крупной костью проксимального ряда;
- Похожа по форме на корабль-ладью.



Фаланги большого пальца руки. Фаланги пальцев рук
Фаланги пальцев верхних конечностей человека состоят из трех частей - проксимальной, средней (основной) и дистальной (конечной). Дистальная часть фаланги обладает хорошо заметной ногтевой бугристостью. Все пальцы человеческой руки образованы тремя фалангами – ногтевой, средней и основной. Если говорить о большом пальце, то он состоит из двух фаланг. Наиболее длинные фаланги образуют средние, а самые толстые – большие пальцы.
Строение
Фаланги пальцев верхних конечностей являются короткими трубчатыми костями, которые имеют форму маленькой удлиненной косточки, в виде, цилиндра, обращенного выпуклой частью к тыльной стороне ладоней. Практически каждый конец фаланг имеет суставные поверхности, которые принимают участие в формировании межфаланговых суставов. Эти суставы обладают блоковидной формой. Они выполняют две функции – сгибание и разгибание пальцев. Межфаланговые суставы укреплены коллатеральными связками.
Заболевания способствующие деформации
Очень часто при хронических недугах внутренних органов фаланги пальцев верхних конечностей видоизменяются. Они, как правило, приобретают вид «барабанных палочек» (на концевых фалангах наблюдается шарообразное утолщение). Что касается ногтей, то они напоминают «часовые стрелки». Подобные видоизменения фаланг отмечаются при следующих заболеваниях:
- пороки сердца;
- муковисцидоз;
- болезни легких;
- инфекционный эндокардит;
- диффузный зоб;
- болезнь Крона;
- лимфома;
- цирроз печени;
- эзофагит;
- миелолейкоз.
Причины боли фаланг пальцев рук
Межфаланговые суставы (самые мелкие суставы человеческого организма) могут поражаться болезнями, которые нарушают их подвижность. Данные заболевания в большинстве случаев сопровождаются мучительными болевыми ощущениями. Основными причинами нарушения подвижности межфаланговых суставов считаются:
- деформирующий остеоартроз;
- подагрический артрит;
- ревматоидный артрит;
- псориатический артрит.
Если эти недуги не лечить, то через некоторое время они приведут к выраженной деформации больных суставов, полному расстройству их двигательной функции, а также, атрофии кистей рук и мышц пальцев. Клиническая картина вышеуказанных недугов очень похожа, но лечение их различно.
Перелом фаланги пальца
 Перелом фаланг пальцев рук, как правило, происходит в результате прямого удара. Если говорить о переломе ногтевой пластинки, то он практически всегда осколочный. Подобные переломы сопровождаются сильной болью в области повреждения, отеком и ограничением функции сломленного пальца.
Перелом фаланг пальцев рук, как правило, происходит в результате прямого удара. Если говорить о переломе ногтевой пластинки, то он практически всегда осколочный. Подобные переломы сопровождаются сильной болью в области повреждения, отеком и ограничением функции сломленного пальца.
Лечение переломов без смещения консервативное. В этом случае травматологи накладывают гипсовую повязку или алюминиевую шину на три недели, после чего назначают лечебный массаж, физкультуру и физиотерапевтические процедуры. При переломе со смещением выполняется репозиция (сопоставление костных обломков) под местной анестезией. Гипсовая повязка или металлическая шина накладывается на месяц.
Шишки на фалангах пальцев
Шишки на фалангах пальцев рук являются проявлениями множества болезней, главными из которых считаются:
- подагра;
- артрит;
- артроз;
- остеоартроз;
- отложение солей.
Появившиеся шишки на пальцах верхних конечностей сопровождаются нестерпимыми болями, которые усиливаются в ночное время. Помимо этого, отмечается характерное уплотнение, ведущее к неподвижности суставов, а также ограничению их гибкости.
Что касается лечения этих шишек, то оно заключается в медикаментозной терапии, лечебно-профилактической гимнастике, массаже, физиотерапевтических процедурах и аппликациях.
Анатомия кисти сухожилия. Анатомия сухожилий сгибателей
Сухожилия сгибателей делятся на поверхностные и глубокие. Сухожилия поверхностных сгибателей прикрепляются к средним фалангам, а сухожилия глубоких сгибателей – к дистальным (ногтевым). Все сухожилия расположены в каналах, в которых они скользят. Когда мышцы сокращаются, сухожилия тянут за собой соответствующие фаланги и происходит сгибание пальцев. Эти мышцы расположены на предплечье.

Сухожилия на тыльной стороне кисти и предплечья известны как сухожилия разгибателей.
Сухожилия сгибателей удерживаются в каналах кольцевидными связками. Это обусловливает плавное сгибание без натяжения кожи.

Поврежденные сухожилия на предплечье, на запястье, на ладони или на пальце характеризуются невозможностью сгибания.
Сухожилия можно очень легко повредить ввиду того, что они расположены очень близко к поверхности кожи. И довольно неглубокая рана кисти, скорее всего, будет с повреждением сухожилий сгибателей.
Сухожилия постоянно находятся под напряжением от своих мышц. Если сухожилие повреждено то сокращенная мышца тянет за собой проксимальный конец (который ближе к предплечью). Поврежденные концы расходятся далеко друг от друга, что делает невозможным самостоятельное их сращение.
Очень важно сшить концы сухожилия в первые несколько дней после травмы, иначе изменения оболочек и самих сухожилий будут необратимы и понадобится двух этапная пластика, которая может занять от 4 до 6 месяцев лечения.
Так как нервы, сосуды на кисти и предплечье находятся рядом с сухожилиями, неглубокое ранение может привести к их повреждению. Повреждение нерва приведет к онемение на одной или обеих сторонах пальца, но повреждение обеих пальцевых артерии приведет к более серьезным последствиям - резкой ишемии пальца (отсутствие кровоснабжения), что может стать причиной некроза пальца. Это требует, конечно, немедленной операции – реваскуляризации пальца (сшивание сосудов).
Источник: https://shkola-krasoty.com/novosti/anatomiya-falangi-palcev-ruk-osobennosti-stroeniya





Написать комментарий