УЗИ тазобедренного сустава методика. УЗИ тазобедренных суставов у младенцев
- УЗИ тазобедренного сустава методика. УЗИ тазобедренных суставов у младенцев
- УЗИ органов малого таза. Что такое УЗИ органов малого таза?
- УЗИ голеностопного сустава. Что покажет УЗИ голеностопного сустава, как его проводят и когда назначают
- МРТ тазобедренного сустава. Что показывает МРТ тазобедренного сустава
- Видео анонс Лекция5 УЗД заболеваний тазобедренных суставов
УЗИ тазобедренного сустава методика. УЗИ тазобедренных суставов у младенцев
У новорожденного головка бедренной кости хрящевой плотности, что позволяет оценивать вертлужную впадину методом УЗИ. У детей старше 6 месяцев возможности ультразвука ограничены из-за окостенения краев впадины и частично головки.
Младенец лежит на спине или на боку. Бедро оценивают в нейтральном (15-20°) и согнутом (90°) положениях. Линейный датчик 7-15 МГц располагают в проекции большого вертела параллельно (1) или перпендикулярно (2) поясничному отделу позвоночника.

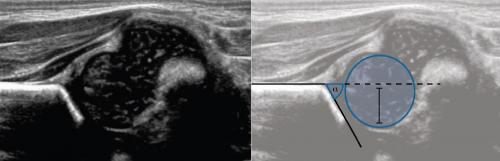
На первом этапе тазобедренный сустав сканируют в продольной плоскости. Проводят основные линии, измеряют костное покрытие головки, расстояние от лобковой кости до головки, ∠α и ∠β, а также определяют тип строения по Графу.
На втором этапе оценивают стабильность тазобедренного сустава сустава при пробе Барлоу-Ортолани. В нестабильном суставе костное покрытие головки уменьшается, а расстояние от лобковой кости до головки и ∠β увеличиваются.
На третьем этапе тазобедренный сустав сканируют в поперечной плоскости. В случаях нестабильности, подвывиха или вывиха определяют кпереди или кзади смещается головка при пробе Барлоу-Ортолани.
Продольное сканирование тазобедренных суставов
Датчик располагают в проекции большого вертела параллельно поясничному отделу позвоночника. Найдите самое глубокое место вертлужной впадины. Отрегулируйте наклон датчика, чтобы линия тела подвздошной кости лежала строго горизонтально (2).

Пока головка бедренной кости хрящевой плотности, имеется акустическое окно для исследования вертлужной впадины. При продольном сканировании документируют по два снимка: первый — обзорный, второй — с линиями и углами.

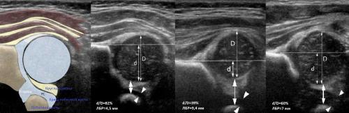
Проведите базовую линию по наружному контуру подвздошной кости и обозначьте головку бедренной кости, аппарат автоматически вычисляет степень костного покрытия головки. Костное покрытие головки в случаях предвывиха 40-50%, подвывиха

Когда головка смещается кнаружи, освободившееся пространство заполняет гиперэхогенная круглая связка и жир. При подвывихе и вывихе расстояние от лобковой кости до головки >6 мм, разница между бедрами >1,5 мм (3). Толстый хрящ лобковой кости считают вариантом нормы (4).

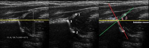
Линии костной (красная) и хрящевой (зеленая) крыши проходят через костный выступ, а так же начало Y-хряща и центр гиперэхогенного кончика суставной губы, соответственно. Степень развития костной крыши определяет ∠α, а хрящевой крыши ∠β.

Если край подвздошной кости округлый, костный выступ определяют в точке перехода дуги наружного контура вертлужной впадины в дугу наружного контура подвздошной кости. Обратите внимание, все линии проходят по наружному контуру костей.

Типы тазобедренных суставов по Графу

Тип 1 : ∠α>60°, костное покрытие головки >50%
1а : ∠β
1b : 55°
Тип 2 : 43°
2a : 50°
2b : 50°
2c : 43°
2d : 43°77°. Костная часть крыши уплощена. Костный выступ закруглен или плоский. Хрящевая крыша расширена. Заключение: Тяжелая дисплазия т/б сустава (тип 2d), предвывих (близко к децентрации головки). Гипсовая повязка на 3 недели, затем стремена Павлика. Контроль УЗИ 1 раз в месяц.
Тип 3 : ∠α
3a : Костная крыша и костный выступ плоские. Хрящевая крыша заворачивается кверху, эхоструктура однородная. Стойкая децентрация головки бедра. Заключение: Тяжелая дисплазия т/б сустава (тип 3а), подвывих. Закрытая репозиция, затем гипсовая повязка на 3 недели, далее стремена Павлика. Контроль УЗИ 1 раз в месяц.
3b : Типе 3b встречается при запущенной форме хронического вывиха бедра. Хрящевая часть крыши поврежденная — небольших размеров, неправильной формы, неоднородная.
Тип 4 : ∠α
Костная крыша почти плоская. Головка полностью выходит за границы вертлужной впадины. Суставная губа вывернута или зажата между головкой и вертлужной впадиной. Заключение: Тяжелая дисплазия т/б суставов (тип 4), вывих. Закрытая или открытая репозиция, затем гипсовая повязка на 3 недели и стремена Павлика. Контроль УЗИ 1 раз в месяц.
УЗИ органов малого таза. Что такое УЗИ органов малого таза?
органов малого таза представляет собой инструментальный методразличных заболеваний, основанный на получении изображения органов малого таза на мониторе после прохождения через них ультразвуковых волн. Ультразвуковые волны имеют очень высокую частоту колебания, поэтому ухо человека не способно их слышать, но зато различная аппаратура, настроенная на соответствующие частоты, отлично принимает эти колебания. Далее воспринятые аппаратурой колебания переводятся в изображение на мониторе, по аналогии с тем, как волны переводятся в звук в радио.То есть суть ультразвуковых исследований любых органов, в том числе малого таза, следующая – специальный аппарат (УЗИ-сканер) испускает волны с высокой частотой колебаний, которые проходят через биологические ткани, где часть их поглощается, рассеивается или отражается обратно, после чего этот же прибор улавливает вернувшиеся обратно волны и переводит их в форму изображения на мониторе. В результате использования УЗИ-сканера врач может видеть на экране изображения изучаемых органов.По внешнему виду органов и окружающих тканей врач делает замеры длины, ширины и других размеров, оценивает структуру, состояние тканей, крупных кровеносных и лимфатических сосудов, наличие в них физиологических и патологических включений и т.д. И после такого детального анализа изображений органов в различных ракурсах делает заключение о наличии или отсутствии патологии. Если имеются какие-либо патологические изменения, то подробно описывается их характер и делается предположение, чем они могут быть обусловлены (какими патологическими процессами).Когда УЗИ-сканер по своим техническим характеристикам позволяет это делать, врач дополнительно может перевести его в режим допплер-сканирования и оценить кровоток в сосудах изучаемой области тела.При помощи УЗИ малого таза можно оценить состояние и наличие заболеваний органов, расположенных в пределах малого таза (половые и мочевыделительные органы). Так, по УЗИ определяют наличие воспалительного процесса, опухолей, диффузных изменений, деформаций, неправильного расположения и т.д.
УЗИ голеностопного сустава. Что покажет УЗИ голеностопного сустава, как его проводят и когда назначают
УЗИ голеностопных суставов делают для оценки состояния мягких тканей — мышц, связок, капсулы. Процедура помогает в диагностике переломов, вывихов, воспалительных заболеваний и опухолей. УЗИ — диагностическая процедура выбора для таких категорий пациентов, как маленькие дети и беременные женщины.

Показания к обследованию
Сделать УЗИ голеностопа рекомендуется при наличии признаков, указывающих на заболевание этой области:
- боль в суставе;
- затруднения при ходьбе;
- снижение объема движений;
- отек голеностопной области;
- хруст при движениях.
УЗИ мягких тканей и суставов стопы выявляет воспалительные заболевания, деформации, опухоли.
Иногда врачу нужно решить, что лучше сделать — УЗИ или МРТ голеностопного сустава. Выбор метода диагностики зависит от предполагаемого заболевания. МРТ делают, когда на ультразвуковом обследовании выявляются непонятные изменения голеностопного сустава, или их нет, но у пациента сохраняются жалобы.

Особенности подготовки
Чтобы сделать УЗИ голеностопных суставов, не нужно сложной подготовки. Человеку рекомендуют не нагружать ногу в течение трех дней до процедуры. В остальном можно соблюдать привычный образ жизни.
Техника проведения
УЗИ стопы обычно делается амбулаторно. Сначала пациенту усаживают на кушетку с вытянутыми ногами. На переднюю поверхность голеностопа врач наносит звукопроводящий гель, датчиком осматривает нужные отделы.
Затем пациент ложится на живот, а стопы свешивает за край кушетки. Таким же образом осматривается задняя голеностопная поверхность. Иногда требуется осмотреть боковую поверхность стопы.
На
Что показывает УЗИ голеностопного сустава
Ультразвуковое исследование голеностопного сустава оценивает общее состояние мышц и мягких тканей, определяет характер повреждения. Можно измерить величину патологических очагов, определить их расположение. С помощью УЗИ оценивается состояние крупных сосудов стопы.
Критерии нормы
Здоровый голеностопный сустав должен отвечать следующим критериям:
- правильная форма;
- отсутствие отеков;
- гладкие суставные хрящи;
- четкие контуры сухожилий;
- целостность суставной капсулы.
Плотные ткани на снимке выглядят белыми, так как они хорошо отражают ультразвук — мышцы, связки. Кости обладают очень большой плотностью и на снимке различить их нельзя. Менее плотные структуры ультразвук поглощают, поэтому выглядят черными — воздух или жидкость.
Описание заболеваний
В протокол исследования заносятся все изменения, которые врач обнаружил при осмотре голеностопной области. Каждое заболевание имеет особые отличительные признаки.
- Разрыв связок. Видно нарушение целостности ткани — на светлом фоне темная полоса. При неполном разрыве четкой полосы не видно, но отмечается затемнение участка повреждения.
- Отрыв связки. На снимке видно, как от пяточной кости отделяется округлое светлое образование, не прилежащее к другим костям.
- Тендинит, или воспаление сухожилий. При воспалении плотность ткани уменьшается, поэтому на УЗИ связки голеностопа выглядят более темными. Вокруг сустава образуется темное пятно — скопление жидкости.
- Бурсит. Воспаление суставной сумки пятки. Полость ее увеличена, содержимое представлено жидкостью — темным пятном на снимке.
- Гигрома. Ограниченное выпячивание суставной сумки, заполненное жидкостью. Представлено округлым образованием с толстой стенкой, темным содержимым.
- Опухоль. Представлена очагом с ровными или нечеткими границами. За счет высокой плотности имеет белый цвет.
- Артрит. Воспаление голеностопного хряща и прилежащих тканей. Содержимое сустава выглядит более темным, хрящ теряет четкость границ.
- Пяточная шпора. Это образование в сухожилии костного разрастания. При пяточной шпоре на УЗИ видно небольшое ярко-белое образование.
Повреждения костей с помощью ультразвука обнаружить нельзя. Но есть косвенные признаки, указывающие на перелом или вывих. Смещается расположение суставной капсулы, связок, появляется жидкость. Для точной диагностики костных повреждений дополнительно нужно делать рентгенографию.

Противопоказания
Ультразвуковое исследование голеностопной области можно делать любым категориям пациентов. Медицинских противопоказаний к этой процедуре нет. Однако ее проведение может затруднить неадекватное поведение пациента в результате опьянения или психоза.
Также сложности возникают, если кожа голеностопной области повреждена — воспаление или раны. Прежде, чем проводить обследование, эти состояния нужно устранить.
Стоимость обследования
В муниципальных учреждениях процедуру делают бесплатно при наличии показаний. В частных центрах стоимость зависит от региона проживания.
Таблица цен на УЗИ голеностопной области.
УЗИ голеностопа с точностью обнаруживает повреждения мягких тканей сустава. Рекомендуется сочетать его с другими методами обследования — рентгенографией, компьютерной томографией.
Оставляйте свое мнение в комментариях, делитесь статьей с друзьями в социальных сетях. Всего доброго и будьте здоровы.
МРТ тазобедренного сустава. Что показывает МРТ тазобедренного сустава
Тазобедренный сустав на снимках визуализируется во всех проекциях. Благодаря этому, по результатам обследования лечащий врач диагностирует воспалительный процесс, дегенеративные изменения, аутоиммунные нарушения.
В числе того, что можно увидеть у взрослых и детей на снимках МРТ тазобедренного сустава, стоит отметить:
синовит
бурсит
эностоз
коксартроз
остеоартроз
суставную дисплазию
ревматоидный артрит
кровоизлияния в сустав
некроз головки бедренной кости
изменения тазобедренного состава при прогрессировании болезни Рейтера и Бехтерева, системной красной волчанки
новообразования разной этиологии
У больных с эндопротезом МРТ выполняется как контроль лечения и оценка состояния окружающих тканей.
На расшифровку результатов врачу нашей клиники требуется около часа.

Специалист фиксирует в заключении все выявленные изменения. В описании радиолог укажет, находится ли сустав в порядке нормы или имеются показания для обращения к лечащему врачу, а также:
состояние подвздошно-бедренной, лобково-бедренной, седалищно-бедренной связок, связки головки бедренной кости
состояние подвздошно-гребешковой, седалищной, вертельной суставных сумок
состояние подвздошной, бедренной костей
состояние вертлужной впадины
скопление жидкости в синовиальной полости
утолщение капсулы
ширину суставной щели
особенности окружающих мышц и мягких тканей
В нашей клинике всегда может проконсультироваться с травматологом, ревматологом, хирургом и онкологом по необходимости. Именно они устанавливают диагноз, основываясь на результаты томографии.





Написать комментарий