Черная точка на щеке внутри. Черная точка во рту на щеке, как родинка
- Черная точка на щеке внутри. Черная точка во рту на щеке, как родинка
- Родинка во рту на щеке.
- Родинка на внутренней стороне щеки. Причины появления черных точек во рту и сопутствующие симптомы
- Черные точки на небе. Почему темнеют десны
- Черный прыщик во рту на щеке. Локализация и цвет сыпи
- Кровяные точки на внутренней стороне щеки. Отравления и аллергические реакции
Черная точка на щеке внутри. Черная точка во рту на щеке, как родинка

- Ищите язвы и воспаление на губах, языке, щеках и нижней части ротовой полости. Язвочки в ротовой полости встречаются часто и не являются безошибочным признаком рака. Хотя, когда ротовые язвы сочетаются с другими симптомами и их развитие происходит в определенной части, то это может свидетельствовать о наличии рака.
- Ищите язвы во рту, которые не заживают более двух или трех недель.
- Ищите во рту язвы, которые появляются в одном и том же месте снова и снова.
- Ищите во рту язвы, у которых неровные границы и которые кровоточат при легком касании.
- Проверьте на наличие изменения цвета ротовой полости или на наличие пятен во рту. Наблюдайте за изменением цвета на поверхности/боковых сторонах языка, губах, внутренних сторонах щек, которое не проходит более двух недель.
- Этот цвет может быть красным, белым, серым или темным.
- Вы также можете заметить бархатистые белые и красные пятна во рту.
- Определите наличие онемения или боли в различных частях ротовой полости. Вы можете ощущать онемение в какой-нибудь части ротовой полости, лица и области шеи как симптом рака.
- Вы также можете ощущать постоянную боль/чувствительность в определенной части ротовой полости.
- Если вы почувствовали какой-либо из этих двух симптомов с наличием или без припухлости/шишки, то срочно навестите доктора.
- Ищите огрубевшие, покрытые коркой пятна вокруг рта и губ. Эти покрытые коркой пятна могут быть твердыми на ощупь, иметь неровные границы и кровоточить без причины.
- Осмотрите свои зубы, чтобы увидеть изменения в их расположении. Внимательно обследуйте свои зубы, чтобы увидеть изменения в их расположении. Также, если зубы шатаются, то это тоже может свидетельствовать о раке ротовой полости.
- Если расположение зубов поменялось, то хорошим способом является ношение зубных протезов (если вы ими пользуетесь). Сложность в установке протезов– это хороший признак того, что ваши зубы сдвинулись.
- Нащупайте шишки или припухлости со стороны лица и шеи. Ищите аномальные шишки, припухлости или выпуклости со стороны лица или на шее. Слегка надавливайте на шею, чтобы определить боль, чувствительность или шишки. Визуально обследуйте кожу на наличие аномальных новообразований или родимых пятен. Оттяните свою нижнюю губу большим и указательным пальцами и проверьте на наличие шишек или неровных новообразований. То же самое проделайте с верхней губой. Положите указательный палец на внутреннюю сторону щеки и большой на внешнюю, затем проверьте на наличие боли, изменения текстуры, припухлости или шишек на щеках с помощью легкого перекатывания и нажатия на кожу пальцами.
Родинка во рту на щеке.
Часть 1
Обследование ротовой полости на наличие признаков рака1
Ищите язвы и воспаление на губах, языке, щеках и нижней части ротовой полости. Язвочки в ротовой полости встречаются часто и не являются безошибочным признаком рака. Хотя, когда ротовые язвы сочетаются с другими симптомами и их развитие происходит в определенной части, то это может свидетельствовать о наличии рака.
- Ищите язвы во рту, которые не заживают более двух или трех недель.
- Ищите во рту язвы, которые появляются в одном и том же месте снова и снова.
- Ищите во рту язвы, у которых неровные границы и которые кровоточат при легком касании.
2
Проверьте на наличие изменения цвета ротовой полости или на наличие пятен во рту. Наблюдайте за изменением цвета на поверхности/боковых сторонах языка, губах, внутренних сторонах щек, которое не проходит более двух недель.
- Этот цвет может быть красным, белым, серым или темным.
- Вы также можете заметить бархатистые белые и красные пятна во рту.
3
Определите наличие онемения или боли в различных частях ротовой полости. Вы можете ощущать онемение в какой-нибудь части ротовой полости, лица и области шеи как симптом рака.
- Вы также можете ощущать постоянную боль/чувствительность в определенной части ротовой полости.
- Если вы почувствовали какой-либо из этих двух симптомов с наличием или без припухлости/шишки, то срочно навестите доктора.
4
Ищите огрубевшие, покрытые коркой пятна вокруг рта и губ. Эти покрытые коркой пятна могут быть твердыми на ощупь, иметь неровные границы и кровоточить без причины.
5
Осмотрите свои зубы, чтобы увидеть изменения в их расположении. Внимательно обследуйте свои зубы, чтобы увидеть изменения в их расположении. Также, если зубы шатаются, то это тоже может свидетельствовать о раке ротовой полости.
- Если расположение зубов поменялось, то хорошим способом является ношение зубных протезов (если вы ими пользуетесь). Сложность в установке протезов– это хороший признак того, что ваши зубы сдвинулись.
Родинка на внутренней стороне щеки. Причины появления черных точек во рту и сопутствующие симптомы
Язык в организме человека не только выполняет важную функцию, но и считается диагностическим пунктом. Его внешнее состояние может рассказать врачу о многом. Наверное вы заметили, что при обследовании терапевт просит показать язык. Это неслучайно, ведь с него он может считать не только информацию о нарушении микрофлоры, но и обнаружить сбой в работе органов ЖКТ, мочеполовой системы, оценить состояние иммунитета и рассказать о ваших пищевых предпочтениях. Всякого рода новообразования – это повод для посещения клиники. Что могут обозначать черные точки и чем вызвано их образование на слизистой рта?
Если они образовались на языке или внутренней стороне щеки, то это может свидетельствовать о банальном прикусывании во время жевания пищи. Иногда это симптом серьезного заболевания, которое требует немедленного вмешательства специалиста. В норме темная точка после прикусывания исчезает через несколько дней. Когда этого не происходит, и она начинает увеличиваться в размере, или же около нее образовались новые пятнышки, то тянуть с визитом к стоматологу не стоит. После осмотра ротовой полости он определит характер новообразования и при необходимости порекомендует консультацию у терапевта, гастроэнтеролога или онколога. Часто стимулирующим фактором образования черных точек на поверхности языка или на щеке может выступать аллергическая реакция на стоматологический материал, который применяет врач в ходе лечения.
Инфекционные заболевания полости рта
Стоматит относится к инфекционным заболеваниям, и чаще всего провоцирующим фактором его развития выступает несоблюдение правил гигиены и неправильный уход за зубами. В некоторых случаях заболевание может вызвать ангина или нарушение работы органов желудочно-кишечного тракта. В медицине различают два основных вида заболевания: острый герпетический и афтозный стоматит. Как правило, заболевание исчезает без вмешательства специалистов, но в некоторых случаях его течение проходит достаточно тяжело. Афтозный стоматит излечивается спустя 1-2 недели, не оставляя после себя рубцов на слизистой. Инфекционными заболеваниями ротовой полости считаются:
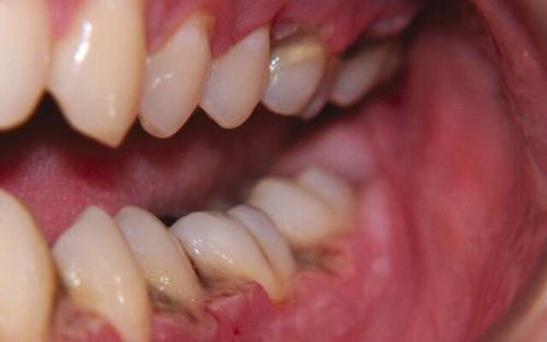
- Гингвит – воспалительный процесс десен, вызванный изменением формулы крови, авитаминозом или сахарным диабетом. Провоцирующим фактором гингвита выступает прием оральных контрацептивов. Наблюдается покраснение десен, образование кровоточивости и воспаление зубодесневых карманов.
- Периодонтит – основной провокатор выпадения зубов у людей в преклонном возрасте. Такое инфекционное заболевание может быть связано с сахарным диабетом, авитаминозом, изменением формулы крови и приемом оральных контрацептивов. Наблюдается болезненное припухание десен, шатание здоровых зубов, повышенная температура и озноб.
- Язвенный стоматит Венсана – образование язв или эрозий в области десен. Толчком к его развитию может служить перенесенное стрессовое состояние, несбалансированное питание и вредные привычки, в частности — курение. Проявляется заболевание кровоточивостью язвочек. У больного наблюдается затрудненное дыхание, увеличиваются подчелюстные лимфоузлы, повышается температура тела, затрудняется процесс глотания.
- Глоссит – возбудителем заболевания выступает стрептококковая инфекция. Его развитие стимулируют травмы или раздражения языка в результате плохо подогнанного протеза, злоупотребления алкогольными напитками и табачными изделиями, острого края зуба, прикусывания, а также нехватки витамина В в организме, заболеваний кожи.
Черные точки на небе. Почему темнеют десны
Темные пятна могут появляться на любом участке десны. Они бывают большие и маленькие, точечные и протяженные.
Причины появления черных пятен на деснах:
- Курение (самая распространенная причина).
- Кариозное поражение зуба.
- Зубной камень.
- Гингивит, пародонтит с кровоточивостью.
- Воспаление слизистой оболочки рта (стоматит).
- Физическая травма челюсти, десны.
- Пломбировка зуба амальгамой.
- Синдром Пейтца-Егерса.
- Болезнь Аддисона.
Синдром Пейтца-Егерса и болезнь Аддисона — заболевания очень редкие. Об их наличии у человека известно с раннего детства. Одним из симптомов патологий является появление черных точек или пятнышек на небе, деснах, языке, губах.
Такое заболевание как стоматит может появляться по ряду причин, среди которых нарушения работы внутренних органов. Разбираться с причинами потемнения десен должен специалист.
Курение и темные десны
Постоянное действие никотина и смол оказывает пагубное влияние на весь организм, а на ротовую полость особенно. Почти все курильщики имеют следующие симптомы:
- черные пятна на деснах;
- изменение оттенка зубной эмали (смена на желтый или серый цвет);
- неприятный запах из ротовой полости ;
- привкус горечи во рту.
Чтобы избавиться от темных пятен на деснах, нужно прекратить курить, желательно навсегда. Бороться с вредной привычкой всегда трудно. Сегодня бросить курить можно с помощью специальных пластырей и спреев.

Десна курильщика всегда темные и с различными заболеваниями
Когда причина нарушения будет ликвидирована, можно приступать к удалению черных пятен. Обычно десны лечат лазерной коррекцией. Небольшие участки потемнения можно убрать с помощью народных средств.
Если удалять темные пятна , не устранив причину (не бросив курить), достичь надежного результата не получится. Со временем почернение снова появится.
Стоматит как причина почернения десны
Стоматит – это воспаление слизистой оболочки ротовой полости. Возникновение стоматита связывают с реакцией иммунной системы на неопознанные молекулы. Причиной воспаления могут выступать:
- Гастрит (воспаление желудка).
- Дуоденит (воспаление двенадцатиперстной кишки).
- Колит (воспаление толстой кишки).
- Глистная инвазия.
- Язвы и покраснение слизистой появляются при несоблюдении правил гигиены ротовой полости.
Язвы и пятна на слизистой при стоматите имею белесый или желтоватый цвет . Но при наличии кровотечение или глубоком воспалении они могут становиться бурыми или черными. Лечится стоматит с помощью местных средств . Дополнительные меры для удаления темных пятен не нужны.

Грибок десен вызывает их почернение
Кариес и темные десны
С кариесом знаком каждый житель планеты Земля. Это вялотекущее разрушение твердых тканей зуба, которое вызывают неблагоприятные внешние и внутренние факторы.
Кариес деминерализует эмаль, постепенно в дентине образуется отверстие. Если не вылечить болезнь своевременно, патологический процесс достигнет пульпы и периодонта. Это опасное состояние , которое грозит потерей зуба. Кариес также может протекать скрыто. Разрушение происходит в глубине зуба, внешне изменения заметить трудно.
Запущенный кариес отражается на состоянии десны. У основания зуба она чернеет, может появиться небольшая припухлость.

Некроз зуба и его корня в десне — черное пятно
Травма челюстей и десен
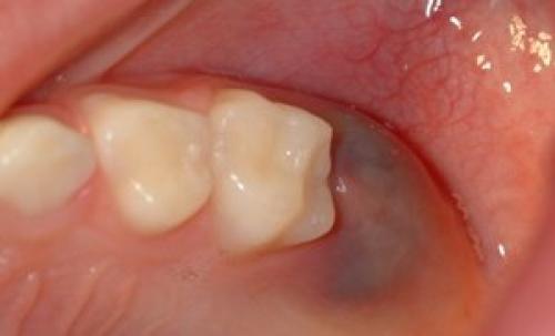
Черное пятно на десне может оказаться гематомой, следствием сильного физического действия:
- удар по лицу, по челюсти;
- выбитый зуб;
- чрезмерное давление на десну ортопедических конструкций, слишком твердой пищи;
- удаление зуба с осложнением.
Физическая травма приводит к разрыву мелких сосудов , кровь вытекает в тканевое пространство. На десне образуется лиловый или черный синяк, иногда шишка. Постепенно высвобожденный гемоглобин разлагается, пятно меняет цвет на коричневый и желтоватый. О травме человеку должно быть известно, чтобы избежать нежелательных последствий , нужно обратиться за консультацией к специалисту.

Киста десны после пломбирования — темное пятно
Последствием серьезной травмы десны может быть инфекция, воспаление и даже некроз тканей. Поэтому запускать проблему нельзя.
Пятна от амальгамовых пломб
Амальгама – это сплав серебра и ртути, применяется как пломбировочный материал . Сегодня амальгаму используют для пломбировки зуба очень редко, разработаны более продвинутые материалы.
Если зуб был запломбирован амальгамой, десна вокруг него может потемнеть. Материал при длительном контакте со слизистой, окрашивает ее. Интенсивность и размер темного пятна зависит от особенностей лечения зуба. Горячие напитки и пища усиливают потемнение.
Пятна от амальгамы не должны вызывать беспокойства, это только эстетические проблемы . Если они появились, нужно обратиться за стоматологической помощью.
Черный прыщик во рту на щеке. Локализация и цвет сыпи
Доктор на осмотре обращает внимание на месторасположение язв внутри рта и их оттенок. Высыпания появляются с внутренней стороны губ, на слизистой оболочке щек, языке или горле. Как видно на фото, они могут быть красного, розового, белого или коричневого цвета. Красные прыщики во рту (на языке, щеке, небе) чаще всего являются признаком инфекционного заболевания у взрослого или ребенка. Человека сопровождают сильные боли при употреблении пищи или разговоре. Белые (бывают слегка желтоватыми) точки – проявление стоматита или вирусной болезни. Коричневые или черные шишки говорят о серьезной патологии, которая перешла в запущенную стадию и вызвала отмирание тканей.
Мнение эксперта
Сакания Луиза Руслановна
Врач-дерматовенеролог, врач-косметолог, трихолог
Задать вопрос экспертуПрыщ на губе внутри рта может подсказать о травме слизистой оболочки острыми предметами, ожоге, несоблюдении гигиены или инфекции. Наиболее часто такие высыпания имеют белый или желтый цвет. При переходе в тяжелую стадию поражают большую площадь и становятся красными. Приносят боль как при пальпации, так и при приеме пищи.
Поражение слизистой оболочки на щеках вызвано болезнями стоматологического характера и травмами, а также нарушениями в работе внутренних органов. Зачастую язвочки образовываются у пациентов с гастритом или другими патологиями желудочно-кишечного тракта. Оттенок может быть белым или красным, форма – круглая, размер различный, иногда доходит до образования больших бляшек.
Красная сыпь в горле – симптом вирусной или бактериальной инфекции. Водяной прыщ может вызвать болезненные ощущения при глотании, повышение температуры и слабость. Все это является причиной для посещения врача.
Кровяные точки на внутренней стороне щеки. Отравления и аллергические реакции
Это две самые распространённые причины, почему возникает сыпь во рту. Но виновником такого явления может стать и менингит. Для него характерен сильный парез капилляров, из-за чего могут появиться белые, чёрные или алые пятна на разных участках тела, включая слизистую рта. Если такие пятна прижать пальцем, то они побледнеют, а потом и вовсе пропадут, но сразу появятся снова.
В наше время в пищевой промышленности появилось множество новых добавок, в том числе и синтетических. Поэтому в клиники стали чаще попадать люди с раздражением внутренней части ротовой полости, происхождение которого сложно выяснить. Помимо сыпи подобные отравления часто сопровождаются болью в животе. Если на данную пищевую добавку возникла аллергия, то у больного проявляется кожный зуд, отекают руки, ноги, рот и лицо. В подобных случаях красная сыпь во рту может быть спровоцирована возникшим отёком органов дыхания. Кроме того, у пациента наблюдается заложенность носа и затруднённое дыхание.

Симптомы пищевой аллергии сходны с признаками ожога пищевода и дыхательных путей. Покраснение слизистой может проявляться после перорального употребления (питья) различных жидкостей неизвестного состава. Этот случай характерен для маленьких детей.
Пятна красного или розового цвета, покрывающие щёки, язык или губы, часто возникают по причине гингивита. Такие симптомы могут свидетельствовать о микроскопических травмах в полости рта, вызванных синдромом иммунодефицита человека, туберкулёзом, развитием онкологического заболевания или возрастными изменениями организма. При этом рот может заполниться плоскими красными пятнами или язвами розового оттенка.
Воспаление внутренней части щёк может возникнуть по причине их закусывания. Это может как происходить случайно, так и быть привычкой человека. Чаще это наблюдается у детей. Воспалительные процессы щёк могут привести к возникновению отёка, повышению температуры тела, болевым ощущениям при прикасании к поражённому участку щеки. Обычно у ребёнка выявить такие симптомы сложнее, чем у взрослого.
Красные точки на языке могут быть вызваны следующими факторами:
- Аллергической реакцией.
- Употреблением пищи, ингредиенты которой могли физически или химически травмировать ткани языка.
- Недостаточной гигиеничностью ротовой полости, наличием вредных привычек.
- Зубными заболеваниями.
- Стрессовыми ситуациями, переутомлениями.
К отдельной категории относят заболевания, которые вызывают изменения поверхности языка. К таким патологиям можно отнести мононуклеоз. Эта болезнь провоцирует появление на языке красноватых точек. Кроме того, повышается температура тела до 40 °С, а также появляются признаки сильной интоксикации.
Похожие симптомы возникают при экссудативной эритеме. Но в этом случае язык покрывают пузырьки, наполненные серозной жидкостью. После вскрытия этих пузырьков на их месте образуются язвы. Со временем проявления болезни могут поражать и губы.
Ткани языка могут менять свой оттенок при заражении сифилисом (красный шанкр) или при саркоме Капоши. Если у пациента возникла анемия, то проявляются ярко-алые точки на языке и дёснах.






Написать комментарий