Как вылечить ожирение печени. Чем грозит ожирение печени
- Как вылечить ожирение печени. Чем грозит ожирение печени
- Ожирение печени лечение народными средствами. Чем поможет зеленая аптека?
- Ожирение печени форум.
- Может ли тыква спасти печень от ожирения. Лечение ожирения печени с помощью питания
- Ожирение печени от алкоголя. Описание болезни
- Как вывести жир из печени. Тыквенный способ спасения печени
Как вылечить ожирение печени. Чем грозит ожирение печени
Ожирение печени, адипоз или жировая дистрофия выявляется излишними жировыми отложениями в железе. Под воздействием негативных факторов печеночные ткани начинают постепенно замещаться жировыми.
Жировой гепатоз развивается на фоне злоупотребления спиртными напитками, интоксикации, сахарного диабета, нарушения липидного обмена, нерационального питания. Перед тем как лечить жировую дистрофию печени, нужно выявить причину гепатоза и исключить влияние вредного фактора. Отсутствие своевременного лечения проводит к тому, что липидные клетки постепенно захватывают все больше площади органа. Патология на начальной фазе проявляется нарушением работы печени. Заболевание имеет прогрессирующий характер и со временем нарушения функционирования печени становятся более выраженными.

Причины жирового гепатоза могут быть разными. Заболеванию подвержены мужчины, женщины и дети. Для лечения патологии требуется выявить первопричину проблемы.
Жировой гепатоз печени квалифицируют по степени тяжести:
- начальная стадия. Характеризуется незначительными вкраплениями жира только в отдельные клетки печени;
- первая стадия. В отдельных зонах органа аккумулируются крупные отложения жировой ткани;
- вторая фаза. Выявляется поражением почти всех клеток печени;
- третья фаза. Характеризуется диффузным ожирением, которое сопровождается образованием кист со скоплениями жира внутри.
Ожирение печени при отсутствии терапии вызывает серьезные осложнения. Пациенты, не соблюдающие диету и продолжающие использовать спиртные напитки, подвергаются большому риску. Жир, скопленный в гепатоцитах, окисляется, что провоцирует воспалительный процесс – гепатит. Гепатит может перейти в хроническую форму. Воспалительный процесс сопровождается замещением печеночной ткани соединительной, что ведет к циррозу.
При наличии жировых клеток нормальное функционирование печени нарушается даже при стеатозе не тяжелого характера. Если своевременно вылечить ожирение печени, в большинстве случаев гарантируется обратимость процесса. Важно знать, что ожирение печени — очень опасная патология, требующая долгого и грамотного лечения.
Ожирение печени лечение народными средствами. Чем поможет зеленая аптека?
Так как болезнь носит хронический характер, то лечение ожирения печени проводится в домашних условиях и доктора рекомендуют подключать натуральные средства растительного происхождения. Среди них выделяется расторопша. Это растение, которое широко используется при изготовлении лекарств от печеночных патологий.
Лечение ожирения печени препаратами из семян расторопши позволяет добиться очень хороших результатов. Чтобы восстановить ее функции, рекомендуется 1-3 р. в день принимать по 1 ч. л. молотых семян за 30 мин. перед едой, запивая их водой. Терапию нужно проводить месяц, затем сделать перерыв на 2 недели, а потом курс следует повторить.
Не менее эффективен отвар из молотых семян. Для его приготовления надо 1 ст. л. порошка из семян расторопши варить в 500 мл воды на самом слабом огне, пока ее объем не уменьшится в два раза. Подождите, когда состав остынет, отожмите сырье, долейте кипяченой воды до первоначального уровня. Пейте по 1 ст. л. каждый час на протяжении дня. Лечиться нужно месяц, затем следует прекратить прием отвара на пару недель, и все повторить.
Если обнаружено жировое перерождение гепатоцитов, то полезно начать пить чай из расторопши. Сделать его довольно просто: 1 ч. л. молотых семян заварите 200 мл кипятка. Пусть постоит 10 мин. Пейте после процеживания утром на голодный желудок и за 30 мин. до того, как начать обедать и ужинать.
Народные методы против гепатоза:

- каждый день перед завтраком пейте 1/2 ст. свежевыжатого морковного сока ;
- ежедневно съедайте по 1 ч. л. кедровых орешков;
- трижды в сутки за 30 мин. до еды принимайте отвар цикория, приготовленный таким способом: 0,5 ч. л. измельченного сухого корня этого растения залейте 250 мл кипятка, проварите 15 мин. (разовая доза — 100 мл);
- употребляйте настой шиповника: 50 г плодов заварите 0,5 л кипятка (в термосе), выдержите 12 часов, принимайте до 4 р. в сутки по 1 ст.;
- отвар из шалфея: 1 ст. л. травы залейте 300 мл крутого кипятка, оставьте на полчаса, положите 1 ч. л. меда, дайте настояться еще 30 мин., эту порцию нужно выпить утром на пустой желудок;
- съедайте в день 5-6 абрикосовых косточек.
При любых заболеваниях печени, включая ее ожирение, лечение народными средствами предполагает использование овса. Рецептов множество. Можно взять 1 ст. неочищенных семян, высыпать их в 1 л кипящей воды. Прикрыть крышкой. Оставить на 30 минут. Пить этот настой следует 3 р. в день по половине стакана.
Лечебный состав из овса готовят и на молоке. Нужно взять 1 ст. овса, залить его литром молока, поставить на слабый огонь, нагреть до кипения. Проварите еще четверть часа, охладите, процедите. Выпейте отвар в течение дня в три приема равными порциями.
Важно! Наиболее полезны запаренные зерна без термообработки!
Ожирение печени форум.
Алекса, обычно слова « жировой гепатоз» или «стеатоз» печени идут в диагнозе в самом конце, после основного диагноза, как довесок.
Так что может быть все-таки диагноз был?
Действительно, универсальным препаратом для лечения стеатоза является эссенциале, еще используют фосфоглив – если нужна иммуномодуляция, либо иногда прицельно назначают вариант «эссенциале форте». По потребности, исходя из липидного спектра крови – добавляют препараты типа «Цитрат бетаина бофур», то есть бетаиновые компоненты. Если позволяет сердечно-сосудистая система и лабораторные показатели печени – дают пролонгированные формы никотиновой кислоты, либо просто ее прокалывают…
Знаете, я еще могу продолжить писать – ведь зачастую гепатоз может усугубляться приемом некоторых жизненноважных лекарств и человек вынужден чем-то жертвовать – в данном случае это печень; иногда он вылазит совместно с нарушениями обмена холестерина, иногда на фоне желчных камней, болезней поджелудочной железы…
Однако, я еще раз повторюсь, лечение длительное, контроль, если изначально стеатоз был не активным, без повышения цитолитических ферментов (АЛТ. АСТ) - только по УЗИ.
Причем на одном и том же аппарате, с одинаковым показателем яркости экрана.
Так что, ей богу, гастроэнтеролог – это выход.
Только, пожалуйста, не ругайте предыдущего врача. Я например делаю на очень недоброжелательрые отзывы "стойку" в мозгах, так как, работая с гастро пациентами прекрасно знаю особенности их психотипа.
Если же потребность помочь самостоятельно все-таки перевесит - ну тогда действительно это эссенциале по обычной стандартной схеме, 6-8 капсул в день в зависимости от весадлительно, не менее 3-х месяцев. Потом контроль УЗИ.
Источник: https://shkola-krasoty.com/stati/ozhirenie-pecheni-kak-vylechit-chem-pomozhet-zelenaya-apteka
Может ли тыква спасти печень от ожирения. Лечение ожирения печени с помощью питания

Самым мощным средством восстановления главного «фильтра» организма является расторопша, а точнее семена растения и порошок из них — шрот. Это природное средство стоит того, чтобы выделить его отдельно среди остальных.
Вот ещё 12 продуктов, которые необходимо включить в свой рацион питания:
Зелень
Доказано, что брокколи помогает предотвратить скопление жира в печени у мышей. Ешьте больше зелени, такой как шпинат, брюссельская капуста, которые также помогут с общей потерей веса.
Тофу
В университете Иллинойса исследования на крысах показали, что соевый белок, который содержится в таких продуктах, как тофу, может уменьшить жировые накопления в печени.
Рыба
Жирные рыбы, такие как лосось, сардины, тунец, форель, с высоким содержанием Омега-3 жирных кислот. Омега-3 жирные кислоты помогают улучшить состояние печени и снимают воспаление. Особенно рекомендуется филе палтуса, которое содержит небольшое количество жира.
Овсянка
Углеводы из цельного зерна, такого как овсянка, дают организму энергию. Содержащаяся в нём клетчатка наполняет вас силами и помогает поддерживать свой вес. Особенно полезен в данном случае овсяный кисель.
Грецкие орехи для улучшения здоровья печени
Эти орехи с высоким содержанием Омега-3 жирных кислот. Исследования показывают, что у людей с ожирением печени, которые едят орехи, улучшилось состояние этого органа.
Семена подсолнечника как антиоксиданты
Эти семена с высоким содержанием витамина Е являются антиоксидантами, которые помогают защитить печень от дальнейшего повреждения.
Авокадо поможет защитить печень
Авокадо с высоким содержанием здоровых жиров, как показывают исследования, содержит химические вещества, которые могут замедлить повреждение печени. Данный фрукт также богат клетчаткой, которая помогает контролировать вес. Попробуйте освежающий салат из авокадо и грибов от ожирения печени.
Молоко и другие нежирные молочные продукты
Молочные продукты с высоким содержанием белка защищают печень от дальнейшего повреждения, доказано в исследованиях 2011 года на крысах.
Тыква
Тыкву для лечения и восстановления функций печени применяют в любом возрасте. Используют мякоть в любом виде — вареную, печеную, в салатах, смузи и витаминных коктейлях (лучше в сыром виде), а также семена.
Оливковое масло
Это полезное масло содержит большое количество Омега-3 жирных кислот. Оно полезнее для приготовления пищи, чем маргарин и масло. Ученые установили, что оливковое масло помогает снизить уровень печеночных ферментов и контролировать вес.
Чеснок помогает снизить вес
Этот продукт не только добавляет вкус к еде, но и, как показывают исследования, порошок из чеснока помогает снизить массу тела и жира у людей с заболеванием печени.
Зеленый чай для меньшего усвоения жиров
Данные исследований подтверждают, что зеленый чай помогает препятствовать всасыванию жиров, но эти результаты ещё не окончательные. Ученый изучают, может ли зеленый чай снизить отложение жира в печени и улучшить её функции. Но данный напиток также имеет много преимуществ, начиная от снижения уровня холестерина и заканчивая помощью со сном.
Ожирение печени от алкоголя. Описание болезни
Наверняка многим удобнее определить наличие лишнего жирка на теле, нежели во внутренних органах. Это не удивительно – не каждый человек может заметить то, что печень начала буквально «заплывать» жиром, при этом, ухудшив собственную работу.

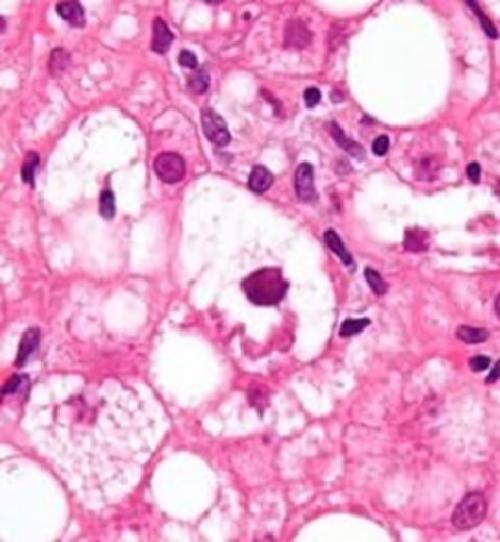
Клетки поражённого органа
Конечно, алкогольное ожирение не относится к смертельным заболеваниям, однако лечить его все-таки стоит сразу после обнаружения первых признаков, поскольку в противном случае болезнь может вызвать сильное усугубление здоровья.
Ожирение печени алкоголика или, по-научному, гепатоз, представляет собой патологию, в результате которой происходит трансформация нормальной и здоровой ткани печени в жировую, при этом, сильно поменяв структуру и состояние органа. Данное заболевание можно отнести к рефлексивной реакции организма на отрицательное действие ряда факторов, главным из которых считается токсическое свойство, вызванное распитием спиртосодержащей продукции. Поэтому частый прием спиртного ведет к быстрому обрастанию печени жиром, лечение которой будет трудным и долгим. Важно: помимо печени, при распитии алкоголя происходит поражение жиром и других органов, к примеру, поджелудочной железы.
Патогенез в органе развивается из-за содержания в нем большого количества триглицеридов в гепатоцитовых клетках, что вынуждает нормальные и здоровые клетки заменяться на жировые.
Если человек постоянно пьет спиртное, повреждения печени и ожирение разовьется у алкоголика уже через 5-8 месяцев (в основном это зависит от общего состояния организма). Особенно быстро алкогольный гепатоз развивается при ежедневном приеме алкоголя, когда концентрация этанола в токе крови достаточно высокая. А если она еще будет постоянно присутствовать у пьяницы, это вызовет скорейшее поражение органа.
Долгое отсутствие лечения ожирения алкоголем несет необратимые последствия для человека. К примеру, это может быть фиброз или цирроз печени . Доктора советуют начинать лечение ожирения при накоплении в органе жира, составляющего 9-12% об общей его массы. В противном случае болезнь вызывает неприятные для здоровья последствия.
Как вывести жир из печени. Тыквенный способ спасения печени
Жировой гепатоз печени, лечение народными средствами которого показывает весьма хорошие результаты, вполне можно одолеть при помощи спелой тыквы. Способ весьма распространенный, доступный и, по отзывам излечившихся, достаточно действенный. У плода следует срезать верхушку и удалить семена. В образовавшуюся полость нужно залить жидкий мед, после чего тыкву накрыть срезанной частью и поместить на 2 недели в теплое сухое место. По истечении данного периода обогащенный тыквенным ароматом мед перелить в любую посуду. Суточная дозировка – по 1 ст. ложке в три приема. Длительность тыквенно-медовой терапии - 3-4 недели.
Спасти больную печень можно, если съедать в день по 5 абрикосовых косточек, имеющих в своем составе витамин В15, активизирующий желчеотделение и помогающий в борьбе с жировыми отложениями. Также В15 содержат тыква, дыня, арбуз, рисовые отруби, пивные дрожжи, поэтому не стоит игнорировать данные продукты в своем рационе. Также будут полезны для восстановления работы печени 15-30 граммов сушеных фруктов ежедневно.
Лечение жирового гепатоза печени народными средствами показывает отличные результаты при использовании шиповника. 50 граммов высушенных ягод требуется заварить в полулитре кипятка и оставить настояться на 10 часов. Целебный настой выпивать по целому стакану на протяжении дня от 3 до 4 раз.
Отзывы людей, лечившихся от жирового гепатоза печени, указывают на хороший эффект зеленого чая в лечении данной болезни. Содержащий в своем составе большое число антиоксидантов напиток способен выводить из печени жиры и токсины. 3-4 кружки зеленого чая в день обеспечат печень надежной защитой от вредных веществ.
Справиться с гепатозом помогут 100 мл свежего морковного сока, выпиваемые натощак каждое утро.
Лечение жирового гепатоза печени народными средствами в домашних условиях показывает хороший результат при применении хвои, характеризующейся противовоспалительным и антимикробным эффектом. 2 литра воды следует соединить по 1 кг хвойных игл молодых сосен и сахарного песка. Хорошенько перемешать. Емкость с настоем накрыть крышкой и определить в темное место на неделю. Процедить. Целебное средство пить перед едой по 1 стакану.





Написать комментарий