Нити мицелия на коже причины. Нити мицелия
Нити мицелия на коже причины. Нити мицелия
Нити мицелия иногда выявляются в мазках или соскобах с кожи, ногтей, половых органов.
Они могут появляться при различных инфекционных заболеваниях, вызванных грибками.
Если выявлены нити мицелия на коже, это признак грибкового её поражения.
У разных грибков мицелий выглядит по-разному.
После микроскопического исследования обычно доктор может определить, какой вид или хотя бы род грибов вызвал воспаление.

Мицелий обнаруживается чаще всего при дерматофитии.
Также может выявляться псевдомицелий.
Его вероятные причины – кандидоз и отрубевидный лишай.
Все эти заболевания имеют грибковое происхождение.
Возможная локализация поражений:
- стопы;
- волосистая часть головы;
- кожные складки;
- половые органы и
- ротовая полость;
- ногти;
- гладкая кожа туловища и конечностей.
Нити мицелия у ребенка на голове
Как у детей, так и у взрослых дерматофиты могут поражать кожу головы.
Это заболевание называют стригущим лишаем.
Характерные признаки:
- очаги облысения;
- нагноение;
- образование узлов;
- шелушение.
Без лечения возможна рубцовая алопеция.
Волосы в зоне локализации рубцов больше не вырастут никогда.
Возбудителем в 90% случаев является Trichophyton tonsurans.
Болеют в основном дети 6-10 лет.
У взрослых патология развивается редко.
Заражаются дети от:
- больных людей;
- животных;
- через загрязненные спорами грибков предметы.

Все грибы, которые могут вызывать заболевание, делятся на эктотриксы и эндотриксы.
Первые поражают мозговое и корковое вещество волосяного стержня.
Гифы попадают в кутикулу, она разрушается.
Эндотриксы кутикулу не повреждают.
Болезнь может сопровождаться себорейным дерматитом.
Осложнения:
- керион – тяжелое воспаление волосяных фолликулов с образованием узлов;
- фавус или парша – на голове появляется твердая корка, болезнь сопровождается рубцеванием.
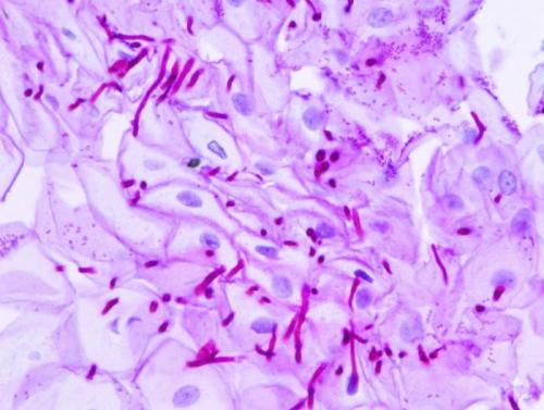
Мицелий при трихофитии выглядит как сплетение тонких нитей.
Они представляют собой гифы.
Внутри них визуализируются перегородки.
Они называются септами.
Лучше всего мицелий выявляется при обработке раствором КОН с концентрацией от 10 до 30%.
Показан также осмотр под лампой Вуда.
В случае поражения волосистой части головы грибками Microsporum или Trichophyton свечение будет зеленым.
Диагноз может быть подтвержден с помощью культурального метода.
Дерматофиты высеивают на питательные среды.
Для этого используют кожные чешуйки или волосы.
Нити мицелия в мазке, как лечить. Что означает мицелий в мазке у мужчин?

При различных воспалительных заболеваниях мочеполовой сферы у сильного пола следует сделать анализ, который позволит выявить возбудителя патологии. Для исследования достаточно мазка с пораженного органа. Анализ на Кандиды у мужчин следует сдавать при подозрении на кандидозный баланит, цистит и уретрит.
Важно! Нити мицелия в мазке всегда означают наличие грибковой инфекции. В норме их быть не должно, поэтому проводится соответствующая противогрибковая терапия.
Если говорить про мицелий, что это такое в мазке, то это вегетативное грибное тело, то есть колонии грибов. Обнаружить в мазке грибы можно с помощью следующих исследований:
- Нити мицелия выявляют при изучении материала под микроскопом с использованием окрашивания образца. Такой анализ дает 80-процентную точность.
- Грибы Кандида обнаруживаются и без окрашивания исследуемого материала. Но эта методика менее точная (до 70 процентов).
- Также с целью исследования материал помещают в среду, которая является благоприятной для роста грибов. Когда колонии грибов достаточно разрастутся (примерно через 5-7 дней) можно с высокой точностью выявить в мазке грибы (определить их разновидность и чувствительность к тем или иным противогрибковым препаратам).
- Самый точный метод выявления грибов в исследуемом материале – это ПЦР.
Диагноз не ставится только на основании результатов исследования мазка. Врач назначает анализы крови и мочи, которые позволяют выявить эндогенные факторы грибкового заболевания.

Мицелий у человека на ногтях. Пути заражения

Заразиться можно при посещении общественных мест с повышенной влажностью – бассейнов, душевых
При заражении грибком нити мицелия могут попасть на кожу двумя способами – путем контакта с инфицированным человеком, либо из окружающей среды (грунт, вода, испражнения животных).
Когда на кожу попадает грибок, мицелий начинает прорастать достаточно быстро, но только в том случае, если существуют условия, благоприятные для размножения патогенной микрофлоры. К таким условиям в первую очередь относится снижение иммунитета.
Пути попадания мицелия грибка на ногти и кожу зависят от типа грибковой инфекции. Самые распространенные грибки – это дрожжевые. Заражение ими происходит в следующих случаях:
- половой контакт с зараженным человеком;
- посещение мест с повышенной влажностью;
- несоблюдение личной гигиены.
Заражение половым путем характерно для грибков, поражающих гениталии. Речь идет о молочнице или кандидозе, которые вызывают грибки рода Кандида. Это заболевание характеризуется сильным зудом слизистой и появлением специфических выделений. Особенность молочницы – быстрый переход из острой формы в хроническую, которая отличается высокой устойчивостью к действию препаратов.
Мицелий дрожжевого грибка ногтей на ногах можно получить при посещении общественных мест с повышенной влажностью. Речь идет о бассейнах, душевых, саунах, тренажерных залах. Мицелий грибка на ногтях размножается достаточно медленно, поэтому первые симптомы онихомикоза могут проявиться спустя пару месяцев после заражения.
Активизация условно-патогенных грибков происходит при несоблюдении личной гигиены. Некоторые виды грибка являются частью нормальной микрофлоры человека и активизируется только при создании благоприятных условий для распространения мицелия, например, при повышенной потливости и несоблюдении личной гигиены.
Мицелий грибка может попасть в организм при контакте с птицами, бродячими котами и собаками. Некоторые виды грибка проникают в организм из грунта, например, при употреблении немытых овощей.
Поверхностные микозы развиваются при попадании спор на кожу в результате прямого контакта с зараженным человеком. Заразиться грибком можно даже путем обычного рукопожатия. Тем не менее заболевание начнет развиваться не у каждого, ведь крепкий иммунитет полностью здорового человека может самостоятельно победить инфекцию.
Причины попадания мицелия грибка на ногтевые пластины могут быть разнообразными. Известны случаи заражения при использовании чужих полотенец, маникюрных принадлежностей, ношения чужой обуви.
Споры и мицелий криптококков и аспергилл длительное время сохраняют жизнеспособность в пыли, поэтому могут попадать на кожу при вдыхании пыли.
Источник: https://shkola-krasoty.com/novosti/kak-lechit-niti-miceliya-puti-zarazheniya





Написать комментарий